Why reviewers gave Hemaseal & Cide Desensitizer a 100 percent acceptance rating.

Nothing is more frustrating than completing a beautiful restoration and having a call back from a patient saying the tooth was sensitive. All that artistry for naught! If we’re going to pour our creative talents into esthetic procedures, we must make sure the patient is comfortable. After all, a sensitive yet beautiful restoration is a failure in our patients’ eyes.

Fifteen reviewers from Catapult Education were asked to test Hemaseal & Cide (Fig. 1) in their offices to see if the product fulfilled these four stated benefits:
Studies have shown these benefits to be accurate, but only the post-operative sensitivity could be effectively evaluated in our initial clinical evaluations. The reported results were unanimous; the group voted with 100 percent acceptance, a rare event.
More than 150 restorations were placed using this product and none reported post-operative sensitivity from patients. The majority have worked with other formulations that reduce sensitivity, including those containing glutaraldehyde, chlorhexidine, benzalkonium chloride and potassium oxalates.
There are several reasons for post-operative sensitivity, but the primary cause is opened, unsealed dentinal tubules created during the bonding process (Fig. 2). This allows fluid flow within the tubules, which causes pain. HEMA, which is present in Hemaseal & Cide, increases the ability of primers to infiltrate the dentinal tubules, allowing better sealing of the tubules. This occurs while increasing bond strengths.
Disinfection is important prior to the placement of a bonded restoration. Bacterial invasion can cause post-operative sensitivity, decreased bond strengths and secondary caries. Chlorhexidine is an effective broad spectrum antiseptic. Recent studies have demonstrated a wide inhibition zone around Hemaseal & Cide placed on agar plates inoculated with Porphyromonas gingivalis and Streptococcus mutans (Fig. 3). This was shown to be superior to several well-known glutaraldehyde containing desensitizers.


Fig. 2 Fig. 3
Long-term stability of dentin bonding agents has been a concern due to a number of factors. Matrix Metallo-proteases (MMPs) and Cathepsins (cysteine proteases), which are present within dentin, become activated when exposed to acids. They subsequently attack and dissolve collagen, which is the dentin component of the hybrid layer, resulting in diminished bond strengths. Studies have shown a loss of up to 30 percent within the first year. Chlorhexidine, which is present in Hemaseal & Cide, has been shown to be effective in initially preventing dentin bond degradation due to protease activation.
Microleakage affects the longevity of composite restorations. Recurrent decay is the primary cause for their failure, often resulting in replacement sooner than other traditional metallic direct restorations. Studies have shown that HEMA results in lower leakage scores because it helps to rehydrate collapsed collagen fibers that may have been overdried during the dentin bonding process (Fig. 4). HEMA aids in better infiltration of the opened dentinal tubules with the bonding agent and a stronger hybrid zone (Fig. 5).


Fig. 4 Fig. 5
Hemaseal & Cide can be used in a number of clinical situations to seal the dentinal tubules, wet the dentin surface and desensitize the tooth. It’s indicated for use under direct restorative materials such as composites, glass ionomers and amalgams. It can be used on crown preparations after shaping or before seating. It’s effective in reducing cervical sensitivity.
Continue reading on page two...
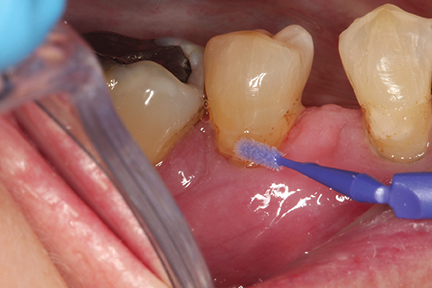
Hemaseal & Cide is simple to use. Place several drops into a dappen dish and apply to the dentin using a brush. Agitate into the surface for 10 to 15 seconds. Suction away excess with high-volume evacuation or wick away with a brush leaving the surface slightly wet. Care should be taken to avoid splashing excess liquid onto the gingiva, as reddening may occur. Also, be aware there have been reported allergies in a few individuals.
When using under composites with the total-etch technique, the dentin should be etched, rinsed and then the Hemaseal & Cide applied (Fig. 6). This is followed by placement of the dentin bonding agent and the composite (Fig. 7). With the self-etch technique, the desensitizer is placed prior to dentin bonding agent placement.


Fig. 6 Fig. 7
With glass ionomers, the Hemaseal & Cide is placed after the dentin conditioner has been applied and washed. If no conditioner is used, place immediately prior to glass ionomer placement. Under amalgam restorations, Hemaseal & Cide is placed following tooth preparation immediately prior to amalgam placement. Suction or wick away excess, but leave the surface slightly moist.
Following crown preparation and/or prior to crown placement, Hemaseal & Cide is placed following tooth rinsing and excess moisture removal. If placed at the crown preparation appointment prior to seating the provisional, you’ll notice a significant reduction of sensitivity at the crown seating appointment, and you’ll often be able to seat the crown without anesthetic (Figs. 8-9). This is especially useful on lower molars since an inferior alveolar nerve block can often be avoided.


Fig. 8 Fig. 9
To use Hemaseal & Cide as a desensitizer, first treat the area with EDTA for 15 seconds and blot away the excess. Apply desensitizer for 15 to 20 seconds. For best long-term results, apply a dentin bonding agent and light cure (Fig. 10).

Fig. 10
In summary, evaluators give Hemaseal & Cide the Catapult Vote of Confidence. It’s a simple, effective way to reduce sensitivity and enhance the lifetime of restorations, and it costs significantly less than other popular desensitizers. We recommend you try it to keep patients comfortably smiling and recommending you to friends.
