How one dentist used the Solea® laser to complete an anesthesia-free composite resin restoration.

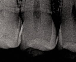
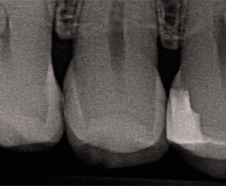
A 32 year-old female patient presented to the practice for her routine examination. The radiographs revealed primary lesions located interproximally (Fig. 1a). The patient was diagnosed with primary caries on tooth #5 DO (Fig. 1b). The clinical objective was to successfully remove caries and restore the tooth while delivering an optimal patient experience.


Fig. 1a Fig. 1b
The clinical challenge for this patient was keeping her calm because she had very minimal dental treatment in the past. The patient was apprehensive and required coaching throughout the procedure. The treatment was completed without anesthesia using Solea® in less than 10 minutes.
Read more: How to conduct noninvasive crown lengthening with Solea
A topical anesthetic was placed on the papila. A fender wedge was placed preoperatively to protect the adjacent tooth (Fig. 2).


Fig. 2 Fig. 3
The contact was broken bucco-lingually and gingivally with the fender wedge in place (Fig. 3). The fender wedge was removed in order to evaluate the prep (Fig. 4).
The tooth was prepared with Solea using a 1.25-mm spot size with the cutting speed at 40-50 percent. Solea’s cutting speed is regulated with a variable-speed foot pedal that allows adjustment of energy from 0-100 percent.
The outline of the prep was first traced at 50 percent speed, ensuring very slow hand motion and even ablation of the enamel coronal to the lesion.


Fig. 4 Fig. 5
After approximately 30 seconds, the speed was reduced to 45 percent to maintain a comfortable cutting speed.
After the dentin was exposed, the speed was further reduced to 35-40 percent.
The preparation was completed within two minutes using only the laser.
The tooth was restored using a sectional matrix system in about six minutes (Fig. 5).
Continue to page two to read more...
Tooth restored: a paladent ring system was used, and it was bonded with an Adhese® Universal VivaPen® (Ivoclar Vivadent). SDR flow+ (Dentsply Sirona) was used to fill the bottom 1-2 mm of box. TPH Spectra composite (Dentsply Sirona) was used to complete the restoration.
The final result was an esthetically-pleasing restored tooth (Figs. 6-7)


Fig. 6 Fig. 7
Results
Excluding the shot and the drill from routine procedures changes apprehensive patients’ perspective of dental visits. These patients are often easier to treat when the anxiety levels are reduced. The third criterion that often leads to increased anxiety is a long, drawn-out appointment. When the appointment takes a mere 10 minutes from start to finish, it’s over before the patient is even aware that it has started.
Related reading: The benefits of the Solea laser
Shorter appointment times also increase my practice productivity by enabling me to see more patients per day and perform more procedures in one visit. I used to hate seeing even a single Class II on the schedule. We would schedule 30 minutes for those to make them profitable; however, depending on when my hygiene checks fell at any given hour, I would start and stop twice during the procedure, and it occasionally took 40-50 minutes to complete. That means the patient occupied the chair three to four times longer than he or she does now. This type of appointment is no longer a burden to see on the schedule.
Because Class IIs and other types of simple restoratives are so efficient now, they’re the most profitable procedure that I do. I routinely complete $1,000-1,200 worth of fillings out of one chair per hour with Solea.
Solea advantage