This carbon dioxide all-tissue dental laser allows for quicker procedural completion and greater patient satisfaction

Case summary
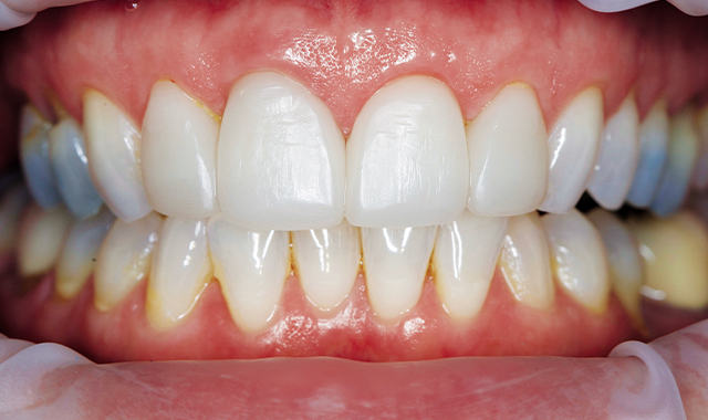
A 60-year-old female patient presented to the practice with complaints about the appearance of her front crown. After full consultation, it was determined that she wasn’t only dissatisfied with the color and contour of the existing crown but also the overall gingival architecture that framed her smile (Fig. 1).

Fig. 1
The patient had defective restorations on the MFL composite of tooth #10 and the PFM on tooth #8. There were also poor contours and asymmetry of the gingival zenith of tooth #9; however, she didn’t want to undergo an invasive gum surgery.
Read more: How to improve patient outcomes with dental lasers
Treatment plan
Because the patient requested a noninvasive procedure, the clinical objective was to obtain an esthetic restoration and gingival architecture on tooth #9 while utilizing a noninvasive closed crown lengthening surgical approach. This was to be achieved using the Solea® 9.3μm CO2 all-tissue dental laser (Convergent Dental.)
Note: The full coverage restoration on tooth #8 and partial coverage on teeth #7, 9 and 10 were prepped immediately following the crown lengthening.
Technique used
To start, a gingivectomy was performed with Solea on tooth #9 in order to ablate the gingiva to the desired height. The 1mm spot size was utilized with cutting speed between 20 and 40 percent and 20 percent mist to remove the excess tissue.
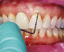
The bone was then sounded with a periodontal probe to determine the amount of crestal bone necessary to reduce while maintaining adequate biologic width for the final restorations and soft tissue (Fig. 2).

Fig. 2
The alveolar bone reduction was completed by directing the laser beam down the long axis of the tooth (slightly toward the facial) using the 0.5mm spot size with cutting speed between 20 and 40 percent and 100 percent mist. Sulcus depth was checked periodically to verify how much bone had been removed.
Once adequate probing depth had been achieved, the teeth were then prepped and temporized. One carpule of four percent articaine with 1:100 epinephrine was utilized during the treatment as all four teeth were immediately prepped at the same time.
Continue to page 2 to read more...
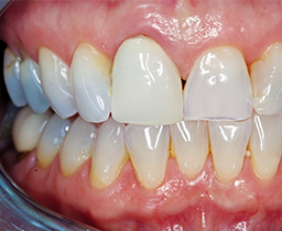
Results
Solea’s precision enabled complete control of the tissue with outstanding clinical results. The procedure was finished quickly and there was almost no bleeding (Fig. 3).
With Solea, the crown lengthening and tooth preparations could be completed in a single visit. This allowed for proper tissue healing around temporaries, fewer appointments for the patient and less chair time for the clinic.
Related reading: How to perform closed crown lengthening with an all-tissue CO2 laser
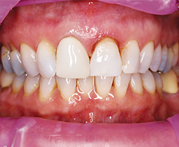
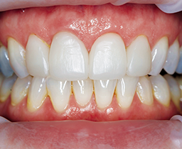
The patient noted absolutely no post-op discomfort. She said the final restoration and process exceeded her expectations (Fig. 4).


Fig. 3 Fig. 4
Solea® advantage
With traditional methods (e.g., a scalpel and sutures) the entire surgical procedure would’ve been a separate 60-minute visit, compared to less than 10 minutes with Solea.
This case highlights Solea’s exceptionally clean surgical cutting with predictable, rapid healing and minimal bleeding.
The dentist was able to perform this procedure in-house rather than refer it out.
The patient was thrilled not only with the esthetic outcome, but also the speed and lack of the more invasive “traditional surgical approach” needed to complete the procedure.