How one prosthodontist achieves optimal results with Smile Lite MDP.

Photography can be a great way to help treatment plan, document your progress and record your results. But photography can also be intimidating. DSLR cameras, and their host of confusing buttons and settings, can befuddle anyone. Happily, however, great results are as close as the nearest smartphone.
Miles Cone, DMD, a prosthodontist from Portland, Maine, uses photography to help achieve the quality, esthetic results he demands. It’s something every dentist can add to his or her armamentarium to elevate results, he says.
Photography in the dental industry

“Get a camera. It will take your skills to a whole new level,” Dr. Cone says. “When you start seeing your margins and your composite and all that stuff in 30 megapixels on a 4K television monitor, you really realize how not good you are,” he says, jokingly. “It really pushes you to be better, to make sure everything is clean and tidy and neat. It’s just a different level.”
While Dr. Cone uses DSLR cameras to document his most impressive cases, he acknowledges the fear factor in that equipment.
“DSLRs are intimidating for most people,” he says. “They see it and think, ‘Oh my gosh, there are so many buttons. Which lens do I use?’ Aside from that, the cost involved - it can cost $3,000, $4,000, $5,000 to get all this stuff.”
Dr. Cone operates a high-end esthetic practice with people coming from all over New England. By design, his is a small practice. He only sees three or four patients each day. He doesn’t have a hygienist. It’s just him and his wife. His camerawork is well-enough received that manufacturers buy his photos. Additionally, he gives lectures about his work, but, interestingly, lecture attendees weren’t asking questions about the dentistry.
Trending article: Managing the fear factor
“The question I would get, nine times out 10, was not ‘What kind of burs are you using?’ or ‘What impression material do you use?’ ‘What technique do you do for your dentures?’” he says. “The question I always got was ‘How do you take your photos?’ That’s all I wanted to know. How do you get your pictures like that?’”
As a result, Dr. Cone has expanded his lecture subjects to include photography.
Smile Lite MDP
Clinicians interested in photography need not be scared away by DSLR cameras. A suitable option is as close as a smartphone. The quality of those photos can be enhanced through the use of Smile Line’s Smile Lite MDP.
Intraoral shade analysis.

A key component in getting the best photographs is lighting. Professional photographers spend thousands of dollars on equipment to give them the best lighting. Happily, however, the MDP ameliorates that issue by just sliding on the smartphone and providing a portable, easy-to-use lighting rig.
The MDP is also useful for times when Dr. Cone is out of the office but needs to be consulted. Dr. Cone’s wife serves as the office manager and his assistant, and she can take the picture and send it to him.
“People call all of the time and say, ‘I smashed my front tooth.’ Or we get a lot of people coming in on cruise ships and they are in Portland for a week, and then they fell and knocked their tooth out,” he says. “This is where the MDP comes in extremely handy for my practice. My wife can give the patient retractors and say, ‘I’m going to take a photo of this. My husband is at a lecture tonight, and he will be back first thing in the morning.’ I might take one look at it and say, ‘You know what? This is hopeless. You need to go see the oral surgeon.’ Or I might say, ‘Come back in tomorrow, we might do little bit of bonding.’ She can take that photo and send it to me instantly because there’s no memory card to take out, the lighting is already set up, it’s already like a little mini, all-in-one photo. She doesn’t have to mess around with the overhead lights, the soft boxes, the flashes. It’s really just a couple of buttons.”
Related reading: The benefits of digital photography in case presentation
Smile Lite MDP is also useful when consulting with another doctor.
“Let’s say somebody comes in and they have a lesion on their lip,” Dr. Cone says. “Or a little abscess at the apex of where the root would be and there’s a fistula that I can see, clinically. I just want to get this over to the endodontist or the oral surgeon. I can just get a quick photo using the MDP and hit ‘send’ on my phone. I can just say, ‘Hey, Dr. Smith, check this out and tell me what you think.’ And then they can tell me, on the fly, ‘This is what’s going on. Get them over here now.’"
Continue to page two to read more...
The right tool for the job
Dr. Cone uses both the MDP and a DSLR, but there are appropriate times for each. For instance, not every case requires the power of a high-end camera, or the DSLR becomes more hassle than it’s worth.
“If someone comes in and they are 15 minutes late, and I only have 15 minutes before my next patient, and I don’t want to be running behind, that’s when I’ll reach for my MDP,” Dr. Cone says. “A couple quick lateral views, a couple occlusal views, an anterior view, and it’s just done. I don’t need to mess around with my brackets and my external flash and changing the batteries in and out.”
In addition, his DSLR can be off-putting to some patients.
“It’s intimidating for them to come in to our office for the first time,” he says. “I can see them visibly uncomfortable when they see this. After a couple of visits, they kind of get into it, and then they’re hamming it up for the camera. There are so many things and I just want to put them at ease. The MDP is diminutive compared to this gigantic thing.”
More from the author: 4 tips for creating a strong bond
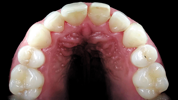
Intraoral mirror photograph of occlusal surface (maxillary arch).

It doesn’t happen very often, but some patients are simply uncomfortable having their picture taken.
“Some people have a real issue with having photos taken because they don’t know what you’re doing with these pictures. They have no idea,” Dr. Cone says. “So, a really nice thing I can do is say, ‘Hey, give me your cell phone. I’m going to attach it to these lights. I’m going to take a picture. Here’s the number. This is the dental office, the lab technician. You have complete control over the picture. I don’t have it.’ Now, there are no privacy issues. That’s a very small percentage of my patients-maybe 1 or 2 percent of the patients I see - but I couldn’t do that with the DSLR camera. It just wouldn’t fly, and it beats having a ceramist drive all the way up to Maine from Boston when I could just take a photo.”
Photography, Dr. Cone says, can help any practitioner improve his or her work. And while the MDP will help get great pictures, it can also serve as a good foot in the door for those doctors interested in getting more out of photography.
“The more and more I got into photography, the more I realized that there’s a lifetime of information there,” Dr. Cone says. “That’s the nice thing about photography. There’s always more. There’s not ever a destination. You can always keep improving, and half of the challenge is finding some way to outdo your last image. Photography, in that way, has helped me with what I do, clinically.”