Learn how 3M ESPE's Scotchbond Universal Adhesive offers options
Learn how 3M ESPE's Scotchbond Universal Adhesive offers options
No dentist wants to stock more products or learn more techniques than necessary. For many years, however, adhesion technology made it necessary for dentists to keep multiple systems in the operatory, and to learn the numerous steps that went with each system.
Whether using a self-etch, total-etch or selective-etch technique, dentists had to carefully weigh the needs of each case in regard to desired bond strength and the risk for post-operative sensitivity. Over etching dentin or failing to keep dentin moist after etching could result in significant sensitivity and unhappy patients.
Fortunately, new universal adhesive technology has now entered the marketplace and offers dentists more convenience and increased efficiency. For example, 3M™ ESPE™ Scotchbond™ Universal Adhesive can not only be used in self-etch, total-etch or selective-etch modes; direct and indirect procedures; and on dentin or enamel; it can also streamline cementation when used with 3M™ ESPE™ RelyX™ Ultimate Adhesive Resin Cement, which has an integrated dark cure activator, eliminating the need for a separate activator.
The adhesive’s chemistry allows it to work effectively for each type of etching situation:
Self-etching: Phosphorylated monomers in an aqueous solution make this adhesive acidic enough to bond to dentin and cut enamel without a separate phosphoric acid etching step. This enables the most simple adhesive technique and also protects dentin from post-operative sensitivity.
Selective-etching: When applying etchant just to enamel, dentists know they must prevent the etchant from touching dentin or risk sensitivity later, unless the dentin is kept moist. Scotchbond Universal adhesive addresses this issue with a balance of Vitrebond™ Copolymer, HEMA and water.
This combination lets the adhesive provide high and consistent bonds to etched dentin surfaces, even if the dentin surface is accidentally over dried.
Total-etching: In the total-etch technique, etchant is used on both dentin and enamel, then rinsed away, completely removing the smear layer. Traditionally, when using fifth generation adhesives, it was very important to keep the dentin moist during this technique. The chemistry of Scotchbond Universal adhesive helps dentists sidestep this technique sensitivity and achieve high bond strengths.
As mentioned, Scotchbond Universal adhesive’s properties make it possible for dentists to use it with both direct and indirect procedures. The product also bonds methacrylate-based restoratives, cement and sealant materials to dentin, enamel, glass ionomer and various indirect restorative substrates (metals, glass ceramics, alumina and zirconia) without an extra primer step.
The cases shown here demonstrate the use of this adhesive for both direct and indirect purposes, in each etching mode.
Case 1: Self-etch
Step 1: The patient presented with recurrent decay under an existing crown on tooth No. 30. The tooth was prepared for a lithium disilicate crown and a provisional restoration was placed.
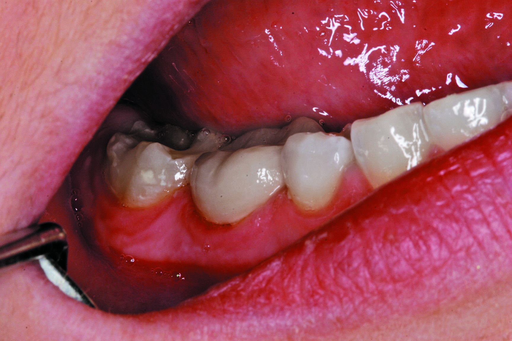
Step 2: At the delivery appointment, an Isolite was placed, the provisional was removed and temporary cement was cleaned away (Fig. 1). Anesthesia was not necessary for this procedure.

Figure 1: Crown preparation on tooth No. 30
Step 3: Scotchbond Universal adhesive was used in self-etch mode; the adhesive was scrubbed onto the prep for 20 seconds. The tooth was then lightly air dried (Fig. 2).

Figure 2: The prep after application of adhesive and air drying
Scotchbond Universal adhesive also was applied to intaglio surface of the restoration after it was etched with hydrofluoric acid. RelyX Ultimate cement was dispensed into the crown and the crown was seated onto the preparation (Fig. 3).

Figure 3: Excess cement was light-cured to reach a gel state, then removed
Step 4: A brief light cure was performed to get the cement into a gel state. Excess cement was then easily removed and final polishing was performed (Fig. 4).

Figure 4: The final result
Case 2: Selective-etch and total-etch
Step 1: The patient presented with decay on tooth Nos. 29 and 30. Decay was removed and the teeth were prepared for composite restorations.
Step 2: Because of the amounts of dentin on the molar and enamel on the bicuspid, it was determined to perform a selective etch on No. 30 and a total etch on No. 29. 3M™ ESPE™ Scotchbond™ Universal Etchant was applied to the enamel periphery of No. 30 and the entire prepared area on No. 29 (Fig. 5). The etchant was left in place for 15 seconds, then rinsed thoroughly with water. The teeth were then gently dried.

Figure 5: Scotchbond Universal etchant was applied and allowed to sit for 15 seconds
Step 3: Adhesive was then applied to both teeth and scrubbed for 20 seconds. After a five second air-drying step, the teeth were cured with an LED light (Fig. 6).

Figure 6: Adhesive was applied and polymerized
Step 4: 3M™ ESPE™ Filtek™ Supreme Ultra Universal Restorative in shade B3 was applied and light cured in incremental layers (Fig. 7).

Figure 7: A single shade of Filtek Supreme Ultra Universal Restorative was used for the restorations
Step 5: The restorations were then adjusted and polished (Fig. 8).

Figure 8: The completed restorations after contouring and polishing
Closing thought
These cases show the same adhesive being used in three different ways, illustrating its versatile properties. The fact the adhesive works with RelyX Ultimate cement, as well as the fact that it needs no additional primer for many substrates, also highlights the versatility it provides in the operatory.
In the past, dentists have had to switch adhesive products, sometimes within the same case, to get the properties they wanted for each tooth. Now, it is possible to take advantage of a simplified process to work with maximum efficiency and effectiveness.
3M™ ESPE™ Scotchbond™ Universal Adhesive Features

Other products featured in this article...
3M™ ESPE™ RelyX™ Ultimate Adhesive Resin Cement

Vitrebond™ Light Cure Glass Ionomer Liner/Base

Scotchbond™ Etchant

Filtek™ Supreme Ultra Universal Restorative
