VOCO America's Amaris® Gingiva is an optimal additional to this provisional restoration because of its excellent esthetics and handling.
VOCO America's Amaris® Gingiva is an optimal additional to this provisional restoration because of its excellent esthetics and handling.
Patients requiring extensive restorative treatment or full-mouth rehabilitation will inevitably necessitate more thoughtful and interactive treatment planning. Complex restorative cases differ from straightforward general dentistry. A great deal of restorative work is based on enhancing esthetics, which is derived less from what the treating dentist prefers than what the patient believes looks appropriate.
Because there is no such thing as a “one size fits all” smile, there is no such thing as a restorative method that will be effective in all clinical situations, or an esthetic objective that is ideal for all patients.
An effective method of presenting possible restorative outcomes to patients is provisional restorations. Provisional restorations are beneficial to patients in a number of ways, and serve as the visual communication device between the patient, the dentist and the laboratory.
Provisionals protect the exposed, prepared tooth surfaces from plaque buildup, caries risk, and sensitivity while definitive restorations are being fabricated. They facilitate intermediate function, phonetics, and esthetics, and allow the patient to feel any instability or discomfort during movement or rest that would ultimately become troublesome. Aside from the utilitarian benefits, there is also added psychological comfort for patients. They do not have to worry that their definitive restorations will look or feel strange because they have already worn the “blueprint” for days or weeks, having them adjusted as needed.
Provisional restorations are an essential tool for the dentist, providing them with crucial information regarding the functional and esthetic aspects of the proposed restoration. Occlusal relationships, such as the incisal edge position, can be verified for proper cant (angle) and equilibrated if necessary.
This is an important part of the occlusal relationship, and is also significant in the esthetics of a provisional restoration. It aids the dentist’s assessment of the patient’s smile line and determination of whether the maxillary teeth are properly aligned following the curvature of the lower lip, or if they should be adjusted.
Gingival esthetics comprise the “frame” of restorations and, therefore, are of particular importance. Provisional restorations provide an opportunity for dental professionals to assess the thickness, height and color of the esthetic gingival component of a proposed restoration. If any of these parameters are found to be dissatisfactory, they can be easily modified with gingival-colored composite material (Amaris Gingiva, VOCO America), which can later be replicated by the laboratory.
There are several different materials available to fabricate provisional restorations, either indirectly or directly. Some clinicians find the indirect technique to be more precise and less time consuming, but to truly capture a natural appearance and create a provisional restoration that can be quickly and proficiently modified, the direct technique is less costly and more effective.
Most provisional restorative materials are acrylic resins. These materials have sufficient strength, possess acceptable tooth-like color, and can be efficiently formed into provisionals in minutes chairside using diagnostic wax-ups.
Amaris® Gingiva is a light-cured and gingival-colored restorative composite containing 80 percent filler by volume in a methacrylate matrix. The material can be bonded to ceramics, composites, enamel, dentin, and metal substrates using the adhesive bonding technique and any light-cured bonding system following the manufacturer’s instructions. The non-slumping viscosity of the gingival shade facilitates simplified modeling with standard shaping tools. Immediately following contouring, the restoration can be finished and polished with cooling using fine or extra fine diamond polishers or diamond polishing discs.
Case Presentation
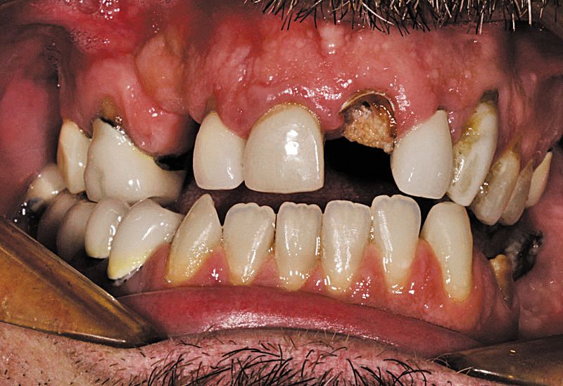
A 42-year-old male patient presented with badly decayed teeth, and several were missing in the anterior and posterior portions of the maxillary arch. He was having difficulty eating, and also wanted to improve the esthetic appearance of his smile. The patient’s main esthetic concern was his reverse smile line. The back teeth were longer than the front, and he felt this gave him a scowling appearance, as though his teeth frowned when he attempted to smile.
Removing all remaining teeth and using implants was suggested, but the patient decided against this option because he didn’t want to risk having to wear a removable prosthesis if the implants failed. It was clear the patient would either have to cosmetically restore the reverse smile line, or undergo long-term orthodontic therapy, which he also rejected. A treatment plan to use a round-house bridge fabricated from porcelain-fused-to-gold was chosen, and because all teeth needed to be splinted, the bridge would be monolithic. The patient’s remaining teeth would serve as abutments.
To salvage what was left of the remaining teeth, root canal therapy was performed on tooth No. 14, crown lengthening procedures on teeth Nos. 7, 8 and 9, followed by post build-ups on tooth Nos. 7 and 9. The teeth were then prepared for the round-house bridge. Figs. 1-5 illustrate the provisional process, while Figs. 6-15 show the modification with gingival composite.

Figure 1: An impression, centric relation bite record facebow were taken and sent to the laboratory.

Figure 2: The laboratory produced a putty stent from the diagnostic wax-up and returned it to the dentist.

Figure 3: The putty stent was loaded with provisional material in shade BL (bleach).

Figure 4: The loaded stent was seated in the mouth and left in place until the material was set.

Figure 5: The putty stent was removed, and the provisional restorations made from the diagnostic wax-up were complete.

Figure 6: The provisional was removed and a periodontal probe was used to measure from the incisal edge to where the gingival margin would be, approximately 10 mm to 11 mm.

Figure 7: Ameris Gingiva was applied.

Figure 8: Using plastic instruments, micro brushes, paint brushes, and explorers, the composite was contoured into a gingival margin on tooth Nos. 7-10.

Figure 9: the provisional was placed in the patient's mouth for esthetic and functional evaluation of the first modification, and photographs were taken.

Figure 10: The patient confirmed approval, the provisional was removed again, and composite was added to the canines, bicuspids and four anterior teeth.

Figure 11: A smile photograph was taken to confirm that all missing gingival tissue was hidden, particularly in the areas around tooth Nos. 12-13, and No. 14 where the natural gingival tissue was missing.

Figure 12: The modified provisional was returned to the patient's mouth and the esthetics were evaluated.

Figure 13: Various burs were used to refine the provisional's surface and interproximal areas.

Figure 14: The edges of the gingival composite portion of the provisional were rounded to inhibit food entrapment and thinned to blend with the natural gingiva.

Figure 15: The provisional was glazed and polished, then recemented.
Evaluation
The patient was numb at the time the provisionals were placed, so he was not able to evaluate the restoration during the appointment. He wore the provisional home to verify the fit and ensure it was acceptable.
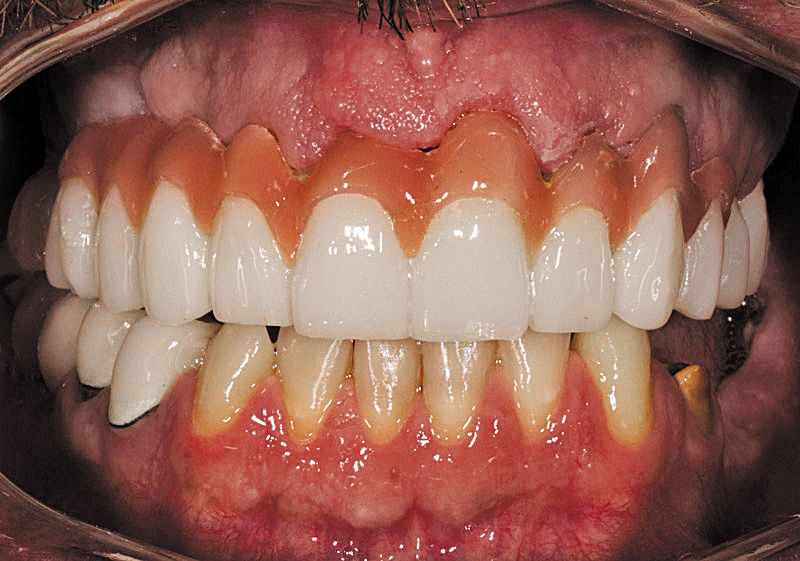
The patient returned a week later for evaluation of the function and esthetics of the provisionals. Based on the diagnostic wax-up, the anterior teeth were made considerably longer to match the back teeth and correct the reverse smile line.
Because of a large amount of gingival tissue loss, bony destruction, and various other factors-including jaw shape-the provisionals appeared extremely long in his face. Typical incisors measure between 9 mm and 11 mm. The average length of the provisionals was 14 mm to 16 mm when measured with a periodontal probe.
To improve the overall esthetics of the provisionals, the teeth had to be shortened and the gingival component improved with the addition of Amaris Gingiva to correct the smile proportions. The incisal edges and posterior teeth were shortened slightly, the length was verified, and the occlusion was acceptable.
Conclusion
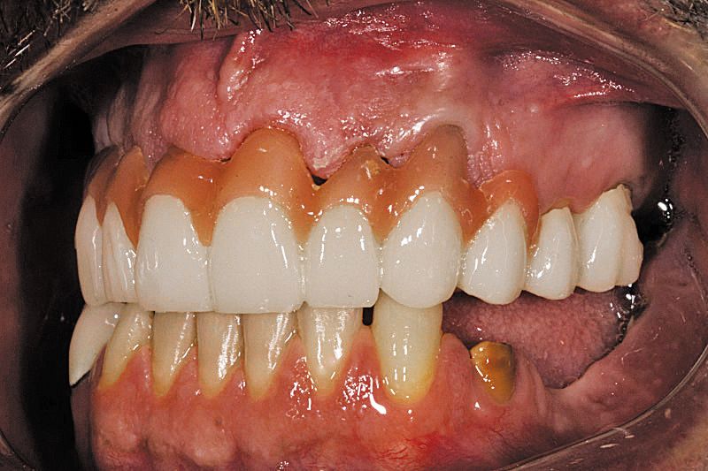
Amaris Gingiva was the ideal addition to this provisional restoration because of its optimal esthetics and superior handling. Its ability to block out underlying structures was a great characteristic for this challenging provisional modification, and it was easily applied and contoured to completely change and enhance the esthetics of the proposed treatment. The fully modified provisional completely transformed the patient’s appearance and demonstrated for the patient, dentist and laboratory how a gingival component could and should be integrated into the definitive porcelain restoration.
Amaris Gingiva Features

VOCO America
888-658-2584