There are many situations in fixed prosthetics where long-term provisional restorations are a necessary part of the treatment plan. Conventional provisional materials cannot always be used for this purpose. In this article, some clinical situations will be discussed where a new process called “Snap-On Smile” can be used successfully as a long-term provisional restoration that can successfully transition patients to their definitive restorations comfortably and predictably.
There are many situations in fixed prosthetics where long-term provisional restorations are a necessary part of the treatment plan.
Conventional provisional materials cannot always be used for this purpose. In this article, some clinical situations will be discussed where a new process called “Snap-On Smile” can be used successfully as a long-term provisional restoration that can successfully transition patients to their definitive restorations comfortably and predictably.
Case No. 1
For patients getting implant restorations, the four to six months they wait for osseointegration to occur, and then the time after to complete the restorative process, can be challenging from a functional and esthetic point of view.
Most of the time, the patient wears a “flipper partial” that does not fit very well, and like an orthodontic retainer, partially covers the palate. Patients usually cannot eat with the flipper partials in place, and rarely are they an esthetic match for the adjacent teeth. With DenMat’s Snap-On Smile, these objections are overcome and patients can have an esthetic appliance they can wear while eating.
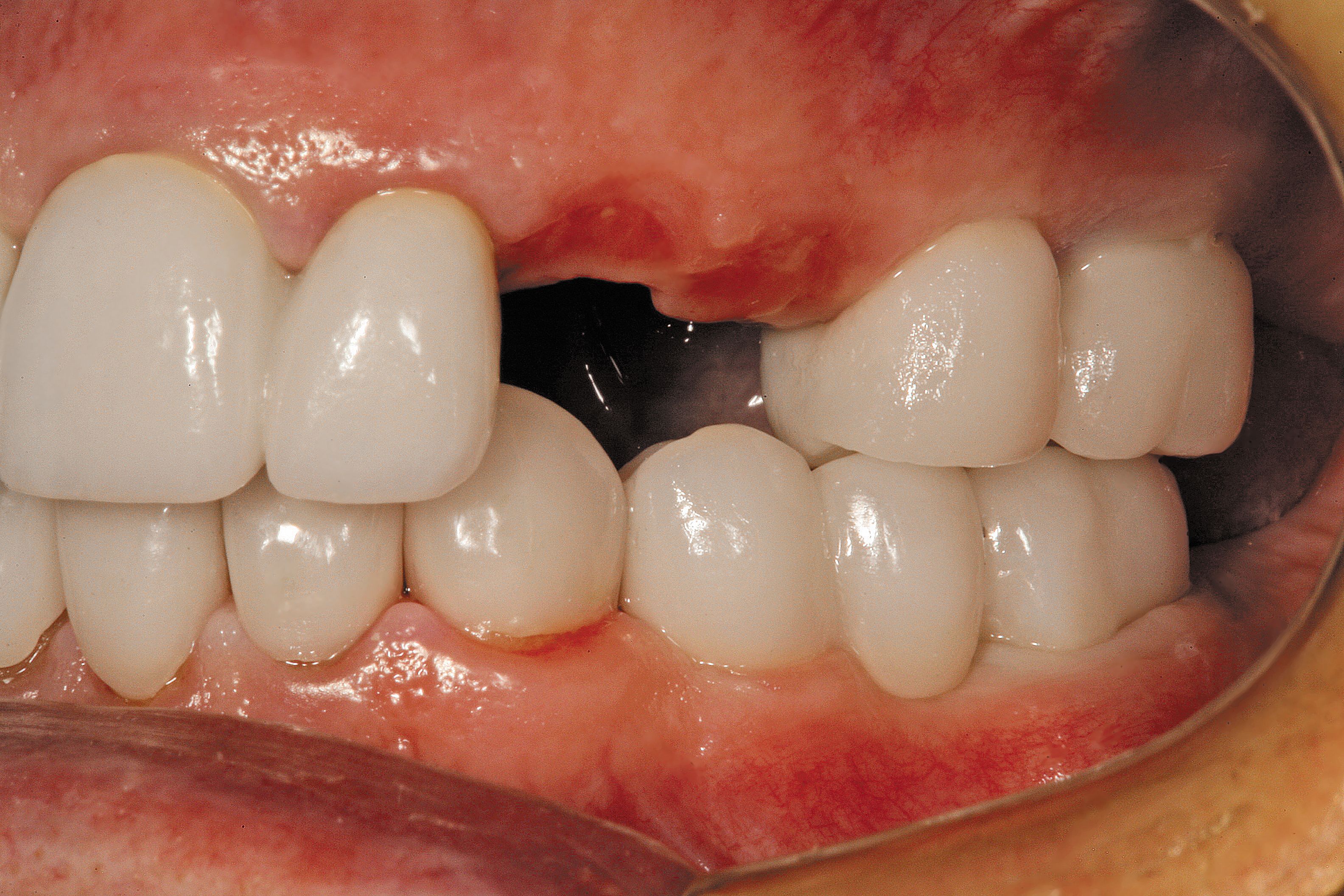
The patient in Fig. 1 was having implants placed for tooth Nos. 11 and 12, the last step of full mouth rehabilitation.

Fig. 1
The canine–premolar area is a difficult position to deal with for interim esthetics and function. When the patient was in provisional restorations for the rehabilitation, the tooth No. 11-12 area was provisionalized with a bis-acrylic splinted bridge. At the final ceramic try-in, an impression was taken with the definitive restorations in place so a Snap-On Smile quadrant provisional restoration could be fabricated and placed at final delivery.
The impression needs to be a detailed crown and bridge impression using light bodied injectable and heavy tray materials.
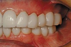
The individual units are placed on the preparations with a drop of temporary cement in the occlusal or incisal areas for stability during the impression process. The Snap-On Smile implant provisional for this case extended from tooth Nos. 10 to 14 (Fig. 2).

Fig. 2

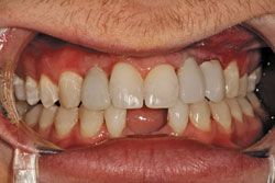
Fig. 3
With this provisional, the patient may function with it in place, yet remove it when necessary (Fig. 3). The material’s resilience allows for a “snap fit” around the heights of contour of the teeth without fracture or breakage. Snap-On Smile gives patients the confidence they deserve while waiting for their implant restorations to be completed. Snap-On Smile is both strong and stain-resistant and will retain its original appearance for years.
Case No. 2
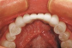
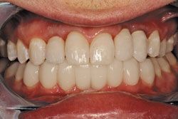
The patient in Fig. 4 had implants restored for missing teeth in the maxillary anterior area. His treatment plan included a mandible anterior bridge to restore congenitally missing central incisors. But because of budgetary constraints and an impeding wedding, the patient did not plan to have the mandibular restoration completed right away, and wasn’t sure when he’d be able to.
Without preparing the abutment teeth, the only provisional option would again be a “flipper partial,” which is even more difficult to wear on the lower arch. For that reason, Snap-On Smile was the obvious choice for an interim functional and esthetic appliance (Figs. 5 and 6).

Fig. 4

Fig. 5

Fig. 6
Closing thought
Snap-On Smile offers an excellent option over “flipper partials” for cases requiring long-term provisional restorations, whatever the reason. The esthetics, strength and stability this appliance offers make it the obvious choice for clinical situations that require a long-term interim appliance that patients can really live with.