When it comes to clear aligner treatment, accurate impressions matter. 3M™ ESPE™ Imprint™ 3 VPS Impression Material for clear aligners can help you achieve those accurate impressions, giving patients the final results they’re after.
When it comes to clear aligner treatment, accurate impressions matter. 3M™ ESPE™ Imprint™ 3 VPS Impression Material for clear aligners can help you achieve those accurate impressions, giving patients the final results they’re after.
As a dentist who provides orthodontic treatments with Align Technology’s Invisalign clear aligners, I know the importance of capturing a flawless impression.
The impression is crucial in these cases because it is used to create a digital impression, which then serves as the baseline to generate a custom series of clear aligners for the patient. In many cases, patients progress through more than 25 aligners, each one building upon the subtle changes of the last-and all of them built on the foundation of the initial impression.
For this reason, the impression material and technique used for clear aligner treatments is vital. The technology of the Invisalign scanner is only compatible with VPS impression materials, but dentists have many options within this category. In my eight years of experience providing this treatment, I have found 3M™ ESPE™ Imprint™ 3 VPS Impression Material to be an ideal solution.
This material makes it easy to capture an accurate impression on the first try, and clearly displays all of the fine details needed to create aligners-even for challenging cases. Additionally, using Imprint 3 VPS impression material allows me to simplify my inventory, because I can use the same impression material for crown and bridge cases as well.
The clinical properties of Imprint 3 VPS impression material help explain why it is so useful in clear aligner treatment. The material offers better memory than competitors, meaning it is less likely to distort upon removal.
It is more hydrophilic than most other VPS materials, allowing it to capture better detail in a moist environment. Finally, Imprint 3 VPS impression material is tougher than many other VPS materials. This helps it resist tearing during removal.
Basic technique
There are several techniques dentists can use to capture an accurate impression with Imprint 3 VPS impression material, but the one most consistently used in my office is the “four-handed technique.”
In this technique, the teeth are dried and light body impression material is traced around the gum line. At the same time, the assistant dispenses heavy body material into a tray, which is then seated over the light body material around the teeth. The tray is held in place for 4 minutes and then removed. Using these simple steps, I can consistently capture an ideal impression on the first take, in less than 10 minutes.
You also can use a “two-handed technique” in the event an assistant is not available. In this procedure, heavy body material is used to fill the tray halfway, and a layer of light body is dispensed on top of the heavy body (using only the mix tip and not the intraoral tip). The tray is then seated in the mouth, and the material reliably flows into every nook and cranny. This technique also makes great impressions, and is convenient for one person to perform independently.
In most Invisalign treatments, the patient progresses through a first set of aligners and then requires a small amount of refinement before the final result is achieved. In these cases a second impression is taken after the patient has completed wearing the first phase of aligners.
Therefore impressions are captured twice for the vast majority of patients. This underscores the importance of paying careful attention to technique and material selection for impressions. Not only will this make the experience more comfortable for your patients, it will contribute to a better final result as well.
The following summaries illustrate a few challenging clinical cases where we successfully treated patients using Invisalign. The foundation for each case was an accurate impression, made possible by Imprint 3 VPS impression material.
Case No. 1

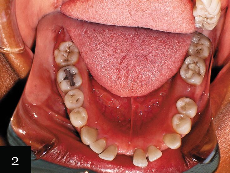
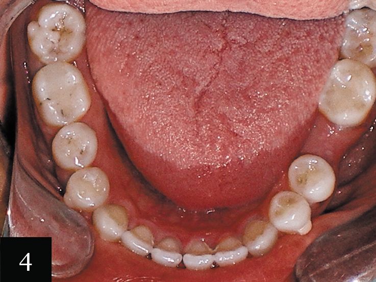
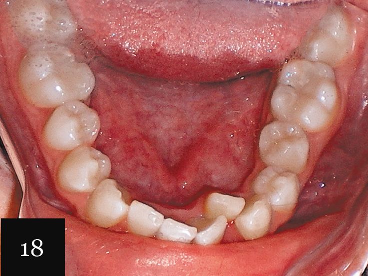
This patient was a 55-year-old woman with a large space in her lower arch (Fig. 1). Despite this space, the patient was not missing any teeth. Figure 2 shows the impression-taking challenge-capturing the distal edge of the molars while also capturing the forward angle of the front teeth.

The impression was successfully captured on the first try, and the patient was treated with a series of 32 aligners over 16 months. The final result shows the closed space in the mandible and the dramatic esthetic improvement (Figs. 3 and 4).


Case No. 2

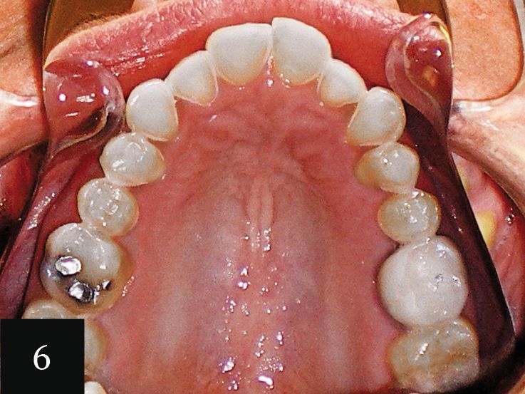
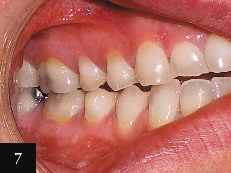
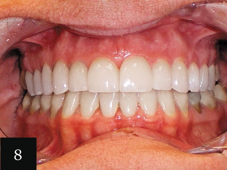
This case showcases a woman in her mid-30s who had an anterior open bite, as well as a history of bulimia (Figs. 5-6). The eating disorder led to severe wear, which can be seen on the upper arch. The gum line was also very irregular. The impression accurately captured the detail of the teeth and a series of 12 aligners was made.

Following this initial phase, an additional impression was taken for six more aligners. Finally, one more impression was taken with Imprint 3 VPS impression material to create crowns for tooth Nos. 3-14. This treatment significantly elevated the patient’s level of confidence in her smile (Figs. 7 and 8).


Case No. 3

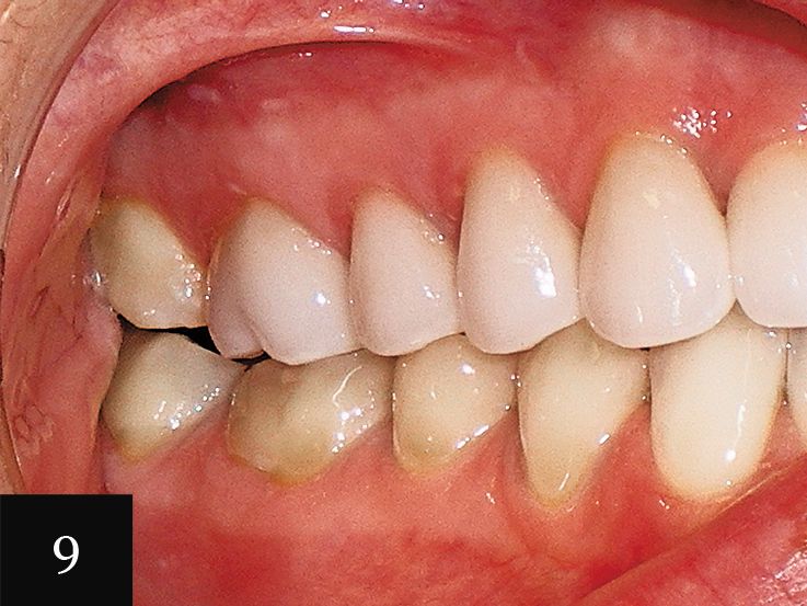
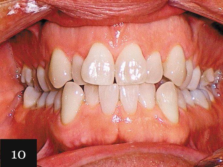
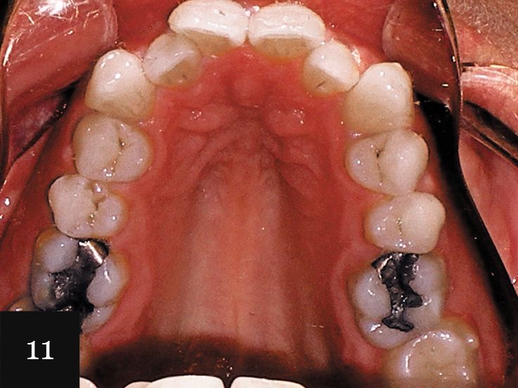
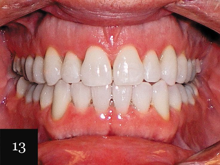
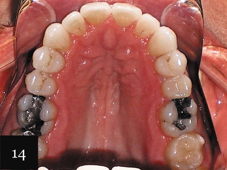
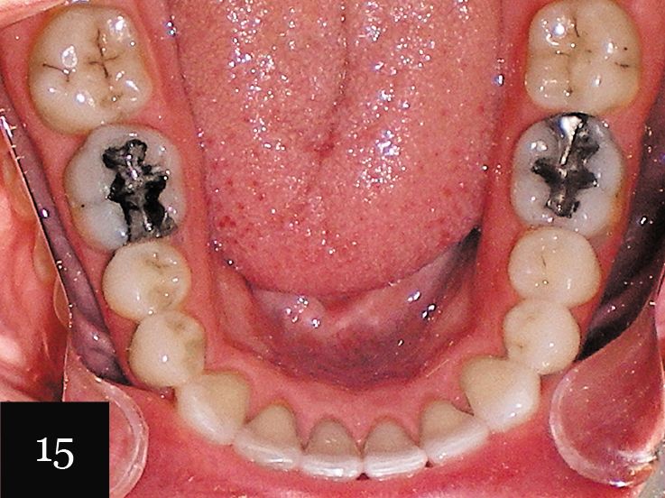
This treatment was performed on a male patient in his early 40s (Fig. 9). The patient had an omega-shaped upper arch, as seen in Fig. 10.

An impression was taken that successfully captured the complex crowding and narrow omega arch (Fig. 11), and the patient was treated with 28 aligners over 14 months. This case also illustrates use of the clear aligners as whitening trays, with the final result showing a smile that is not only straight, but also much brighter (Figs. 12-14).




Case No. 4

This case was performed on a patient in her late teens who presented with a very deep bite and severe crowding, as seen in Figs. 15-17.

The patient had consulted with multiple dentists who informed her that the lower lateral incisor would have to be extracted and that she was not a candidate for Invisalign. However, with an accurate impression we were indeed able to successfully treat this case with Invisalign, first using a series of 27 aligners, and then following up with an additional impression and eight more aligners for refinement (Figs. 18-20).




Case No. 5

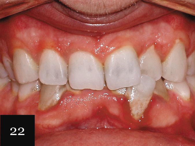
This case demonstrates the outcome of treatment on a young male patient with an anterior crossbite, deep overbite, severe crowding and periodontal disease (Figs. 21 and 22).

Again, these complex details were well captured using the Imprint 3 VPS impression material, and the patient was treated first with a series of 20 aligners, followed by a second impression and an additional 10 aligners. The hygiene issues were addressed as well, and the final result shows what we were able to achieve without resorting to periodontal surgery or grafting (Figs. 23 and 24).


Closing thought
In each of these cases, more invasive “quick fix” treatments may have been possible, but Invisalign presented these patients with an opportunity to conservatively achieve outstanding esthetic and functional results.
After treating hundreds of Invisalign cases with Imprint 3 VPS impression material, I have seen firsthand its reliability and consistency in helping to achieve dramatic makeovers with clear aligners. These capabilities allow dentists to create beautiful smiles and healthy occlusion that will serve patients well for decades.