Dr. Kevin Brown offers his view on using IPS Empress Direct from Ivoclar Vivadent to simplify direct composite restorations.
Dr. Kevin Brown offers his view on using IPS Empress Direct from Ivoclar Vivadent to simplify direct composite restorations.
This Bellevue, Wash., dentist has always loved delivering high-quality direct composite restorations to his patients. But it was only when he started using IPS Empress Direct that the process was simplified and the efficiency of his practice increased. Not only did the product make his job easier, but it continued to deliver everything he expected from a composite.
When did you first learn of IPS Empress Direct and begin using it?
I first learned of Empress Direct a year or so ago while thumbing through a Dental Products Report magazine and the full page advertisement caught my attention. I asked my supply representative to get me samples so I could test it out myself.
What are the product’s best benefits?
One of my passions is direct composite restorations in the anterior, so I have played with just about every composite brand out there and would typically use two or three brands of composite on one restoration, using the best qualities of each brand for each specific layer.
For me, the thing I like most about IPS Empress Direct is that all the qualities I look for (strength, fracture resistance, opacity, translucency, polishability and handling) came in one package. This simplified things for my assistant in keeping track of materials, and for me in organizing and separating the different brands of composite I had been using.
What are the results that you’ve achieved with this product?
From simple Class V restorations to more complex Class IV fractures and direct veneers, Empress Direct allows me to produce maximum esthetic results with confidence that it will last many years and can be done exceedingly conservatively on tooth reduction and on the patient’s budget.
Why would you recommend this product to a colleague?
IPS Empress Direct is an excellent composite that can be used in everyday posterior restorations while simultaneously delivering consistent, outstanding results in the most demanding and challenging anterior esthetic cases. Direct anterior composite restorations are difficult for every dentist, and patients have higher expectations than ever from their dentist to provide them with the best and to do so at a competitive fee. It is my experience that IPS Empress Direct can do it.
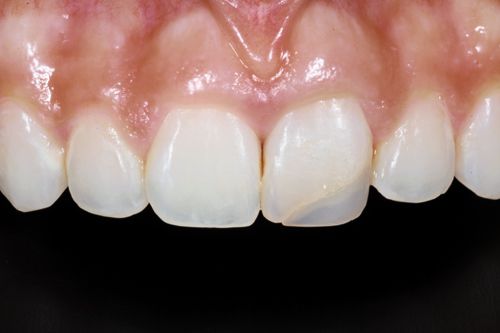
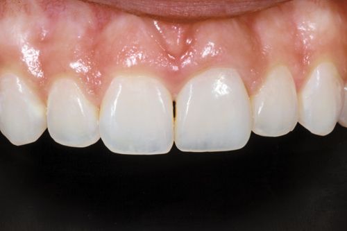
Before and after photos of an IPS Empress Direct case:

Before

After