In today’s dental market, there’s a choice of many different composites. Some composites are universal, some indicated for anterior restorations, and others are made strictly for direct posterior restorations.1
In today’s dental market, there’s a choice of many different composites. Some composites are universal, some indicated for anterior restorations, and others are made strictly for direct posterior restorations.1
Each composite category demonstrates advantages and disadvantages, and they often vary in terms of physical properties such as wear characteristics and compressive strength.
Traditionally, direct composite restorations have required the use of a layering technique to minimize the negative effects associated with polymerization shrinkage. This layering technique is intricate, time consuming and sometimes time sensitive, depending on the amount of working time provided by the material.
To address the layering requirements of posterior restorations, several manufacturers have developed new bulk fill materials (i.e. Venus® Bulk Fill, Heraeus; SonicFill, Kerr Corp.) to eliminate the disadvantages associated with conventional composites. The goal of these new bulk fill composites is to eliminate or minimize the layering requirements, enabling clinicians to fill a cavity preparation in a single increment up to 4 mm.
Conventional direct posterior composites have required placing and curing incremental layers of 2 mm or less.2,3
New bulk fill materials also are helping to reduce shrinkage stress and ensure a complete depth of cure without the need for a final “capping” layer. Recent composite research and development has addressed such issues as polymerization shrinkage and shrinkage stress.1
Polymerization shrinkage and shrinkage stress can result in negative consequences for the tooth/composite interface and, subsequently, affect the longevity of the posterior restoration.1 Polymerization shrinkage is considered the primary negative characteristic of composites.3 It can contribute to marginal leakage and, ultimately, post-operative sensitivity and secondary caries.2
Among the newest bulk fill materials is Tetric EvoCeram® Bulk Fill, a nanohybrid composite from Ivoclar Vivadent.
This bulk fill composite contains a new patented photo initiator. The initiator, Ivocerin, a dibenzoyl geranium derivative, facilitates the application and curing of posterior restorations in larger increments without compromising the composite’s optical properties.
In addition, Ivocerin acts as a polymerization booster permitting the material to polymerize more rapidly, allowing the material to cure in a 4 mm increment in just 10 seconds (power intensity of the curing light is >1,000mW/cm2).
This bulk fill composite also features a shrinkage stress reliever, which is an additional filler technology (e.g. pre-polymer) that is flexible and relieves shrinkage stress during polymerization.
This prevents the material from pulling away from cavity walls resulting in improved elasticity and marginal integrity of the restoration.
Tetric EvoCeram Bulk Fill also contains a light sensitivity filter, which increases the composite’s immunity to ambient operatory lighting. As a result, clinicians are provided with ample working time to place the composite and sculpt the final anatomy of the restoration.4
Available in three shades (e.g., IVA for slightly reddish teeth; IVB for slightly yellowish teeth; and IVW for white or deciduous teeth), it allows clinicians to select the most esthetic alternative. IVW was chosen for this patient.
Using Tetric EvoCeram Bulk Fill composite to fill a posterior cavity eliminates the need for several composite increments, reduces the chance of shrinkage induced failure,5-7 and eliminates the need for a final layer. As a result, direct posterior composites can be placed with greater efficiency, resulting in a more predictable restoration.
See the Case Presentation on the next page ...
Case presentation
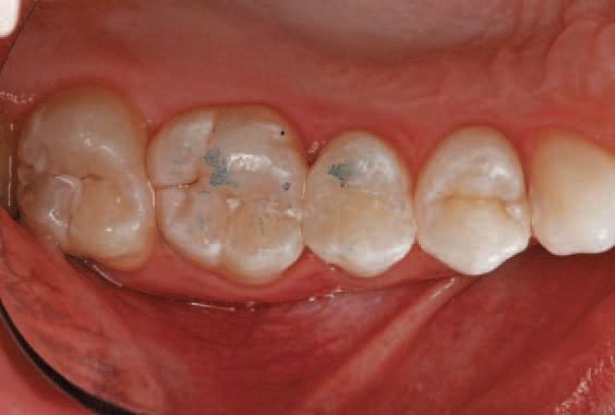
A 23-year-old female presented with caries on tooth No. 4 (Fig. 1 above). After the initial examination and consultation, the patient agreed to have the cavity filled with direct composite. The clinician recommended this nanohybrid composite to streamline the restorative procedure and provide a predictable and esthetic result.7-11
Step 1
After rubber dam was placed and the tooth prepared to isolate the gingival and interproximal areas from saliva or blood contamination (Fig. 2 above), all caries were removed and the tooth prepared for a direct composite restoration.
Step 2
A sectional matrix band was placed (Fig. 3 above). Fuji Lining LC glass ionomer was applied (Fig. 4 above). Total Etch 37% phosphoric acid gel (Ivoclar Vivadent) was applied to the prepared dentin for 10-15 seconds and the prepared enamel for 15-30 seconds. The etchant was rinsed with a vigorous water spray for 5 seconds and then air dried (Fig. 5).

Step 3
Gluma desensitizer was applied as a re-wetting agent (Fig. 6). ExciTE F adhesive bonding agent (Ivoclar Vivadent) was applied for 10 seconds onto the dentin and enamel (Fig. 7) using an VivaPen applicator pen (Ivoclar Vivadent). The adhesive was then air dried to evaporate any remaining solvent. The adhesive was then light cured for 10 seconds.


Step 4
A 4 mm increment of Tetric EvoCeram Bulk Fill composite was placed into the preparation (Fig. 8).

Step 5

Using an Optrasculpt composite placement instrument (Ivoclar Vivadent), the bulk fill composite was packed, contoured and sculpted to the preparation walls. The final anatomy was created (Fig. 9). The restoration was cured to a complete depth of cure in 10 seconds.
Step 6
Occlusion and articulation were verified using articulation paper (Fig. 10).

Continue the Case Presentation on the next page ...
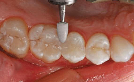
Step 7
Final finishing and polishing were completed using appropriate finishers. A series of

Astropol finishing and polishing points (Ivoclar Vivadent) were used to complete the restoration. Gray finishing points were used to smooth the surface (Fig. 11).
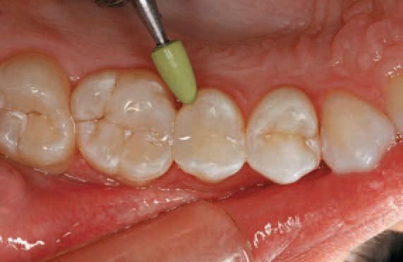
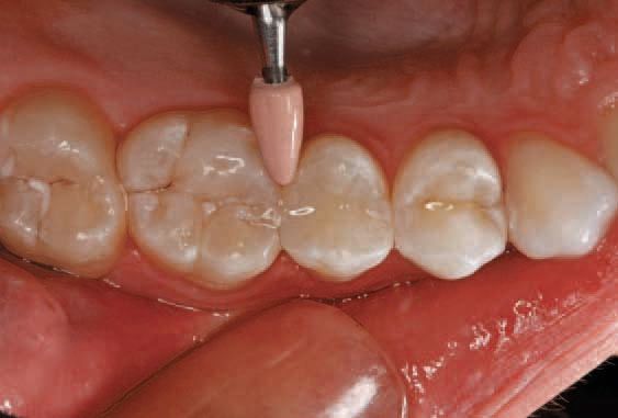
Green polishing points were used to polish the surface (Fig. 12). Pink polishing points were used to achieve a high gloss (Fig. 13). Because the optical properties of this material are designed specifically to match the refractive index of the fillers and polymer matrix, the restoration appeared imperceptible from the surrounding tooth structure because of the enamel-like translucency of 15%.



Closing thought
Bulk fill composites allow clinicians to provide patients with fast and easy direct posterior restorations, without compromising marginal integrity, esthetics or long-term predictability. Additionally, the innovative light-intiator, Ivocerin of Tetric EvoCeram Bulk Fill composite allows clinicians to confidently place posterior restorations, without concern for time sensitivity, the need for intricate layering, or using time consuming techniques.
References on the next page ...
References
	1. Ferracane JL. Resin composite--state of the
	art. Dent Mater. 2011 Jan;27(1):29-38. Epub
	2010 Nov 18.
	2. Cheung GS. Reducing marginal leakage of
	posterior composite resin restorations: a review
	of clinical techniques. J Prosthet Dent. 1990
	Mar;63(3):286-8.
	3. Giachetti L, Scaminaci-Russo D, Bambi C,
	Grandini R. A review of polymerization shrinkage
	stress: current techniques for posterior
	direct resin restorations. J Contemp Dental
	Pract. 2006;7(4):79-88.
	4. Tetric EvoCeram Bulk Fill: The bulk composite
	without compromises. Scientific Documentation.
	Schaan, Liechtenstein: Ivoclar Vivadent;
	2011: 1-20.
	5. Roggendorf MJ, Krämer N, Appelt A, Naumann
	M, Frankenberger R. Marginal quality of
	flowable 4-mm base vs. conventionally layered
	resin composite. J Dent. 2011 Jul 27. [Epub
	ahead of print] .
	6. Kuijs RH, Fennis WM, Kreulen CM, Barink M,
	Verdonschot N. Does layering minimize shrinkage
	stresses in composite restorations? J Dent
	Res. 2003 Dec;82(12):967-71.
	7. Souza-Junior EJ, de Souza-Régis MR,
	Alonso RC, de Freitas AP, Sinhoreti MA, Cunha
	LG. Effect of the curing method and composite
	volume on marginal and internal adaptation of
	composite restoratives. Oper Dent. 2011 Mar-
	Apr;36(2):231-8. Epub 2011 Jun 24.
	8. Quellet D. Considerations and techniques for
	multiple bulk-fill direct posterior composites.
	Compend Contin Educ Dent. 1995;16(12):1212,
	1214-6, passim; quiz 1226.
	9. Utterodt A, Rist AC, Eck M, Schaub M.
	Polymerization shrinkage stress and flexural
	strength of nano-composites. 42nd annual
	meeting of IADR-Continental: 2007.
	10. Lowe RA. The search for a low-shrinkage
	direct composite. Oral Health Journal. March
	2010.
	11. Van Ende A, De Munck J, Mine A, Lambrechts
	P, Van Meerbeek B. Does a low shrinking
	composite induce less stress at the adhesive
	interface? Dent Mater. 2010;26(3):215-22.