The benefits of 3M ESPE’s RelyX Ultimate Adhesive Resin Cement and why you might want to incorporate it into your practice.
The benefits of 3M ESPE’s RelyX Ultimate Adhesive Resin Cement and why you might want to incorporate it into your practice.
It is perhaps an inelegant phrase to call something the “duct tape of dentistry,” but when a product comes along that is well suited for so many applications, it may actually be appropriate. For me, that product is 3M™ ESPE™ RelyX™ Ultimate Adhesive Resin Cement, coupled with 3M™ ESPE™ Scotchbond™ Universal Adhesive. Since I began using this cement when it was first introduced a year ago, I have transitioned to using it almost exclusively.
The reasons for this are many. Most notably, this cement is compatible with any indirect indication. It can be used for all-ceramic, composite or metal inlays, onlays crowns and bridges; for all-ceramic or composite veneers; for cementing all-ceramic, composite or metal restorations to implant abutments; and for posts and screws.

Fig. 1 Etchant applied to teeth prior to placement of veneers. When there is a significant amount of enamel remaining in the preparations, I prefer using the total-etch mode to ensure maximum bond strength without fear of post-operative sensitivity.
Everyday practicality
A number of practical features help explain why RelyX Ultimate is so useful. The product is dual-cure and comes in a base paste/catalyst paste system. It can be dispensed conveniently through a spiral mixing tip, which helps ensure the proper mix ratio of the two pastes. It handles well and cleans up well. It is available in four shades-translucent, bleach, A1 and A3 Opaque, and I have been impressed with the fact that the translucent is indeed translucent, which is not the case with some other products. When placing an inlay or onlay, the last thing you want is a white line around the margin, and this cement eliminates any worry about that.
Of course, a primary consideration for any cement is its bond strength, and RelyX Ultimate cement performs very well in this area, with strong test data on its adhesion to both dentin and enamel, in self-etch and total-etch modes. In studies of its adhesion to restorative materials, the cement has shown confidence-building results in tests with glass ceramics, zirconia, titanium and nonprecious alloy. This underscores an important point about using products from major companies like 3M ESPE. Dentists can be assured products have been thoroughly studied before their release and that their claims will be accurate.

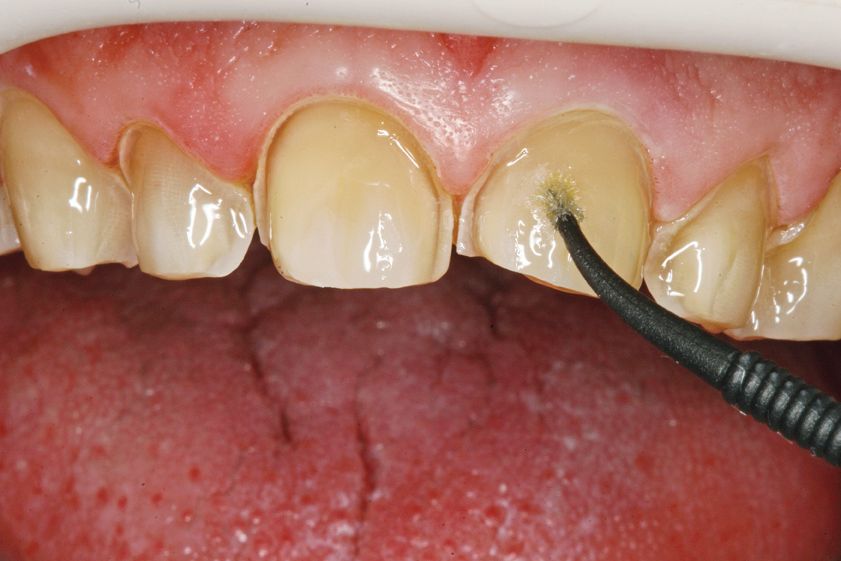
Fig. 2 ScotchbondUniversal Adhesive is applied to teeth and scrubbed for 20 seconds.
A powerful adhesive combination
The cement is designed to work in tandem with Scotchbond Universal adhesive, and the combination of these products provides a great way to streamline the adhesion process. Scotchbond Universal adhesive functions as a silane agent for glass ceramics, and as a primer for zirconia and metal restorations, eliminating the need for a separate component. Furthermore, RelyX Ultimate cement has an integrated dark cure activator designed to work with the adhesive. This combination means there are fewer working steps, and also helps streamline inventory. Not only does this eliminate problems with seldom used products expiring on your shelf, but it saves time and confusion in the operatory.
The universal concept also carries over to Scotchbond Universal adhesive-as indicated by its name. This adhesive bonds to all surfaces, and can be used in total-etch, self-etch or selective-etch mode. It provides consistent bond strengths to dentin, whether it is moist or dry etched. All of these characteristics are made possible by the adhesive’s optimized chemistry, which is based on three components.

Fig. 3 Excess RelyX Ultimate cement is easily removed during the gel phase.
First is the acidulated monomer MDP. This provides the product with self-etching properties and the ability to bond to zirconia, alumina, metals and metal alloys.
Second, 3M ESPE’s Vitrebond Copolymer is incorporated into the formula. This substance is a methacrylate modified polyalkenoic acid polymer, which gives the adhesive the ability to bond consistently to dentin in the presence of a variety of moisture levels.
Finally, as mentioned, silane is incorporated as well, allowing a chemical bond to glass ceramic restorations without the need for an additional ceramic primer.
This optimized chemistry allows the adhesive to form a distinct hybrid layer, whether dentin is moist or dry, which translates to less technique sensitivity and almost no post-operative sensitivity. The near-elimination of sensitivity is a key benefit for this combination of adhesive and cement. If we are truly honest, even dentists like me-who teach adhesion, and who carefully follow directions when placing adhesive-have sometimes had issues with sensitivity.

Fig. 4 Final result showing placement of veneers for a patient with severe wear.
However, since implementing these products into my practice I can honestly say I have had no complaints of sensitivity at all, which in the past was pretty much unheard of, given the wide range of health in the teeth that I treat. This factor alone makes it difficult for me to even consider picking up another cement/adhesive combination.
Check out how one dentist uses the 3M True Definition Scanner and the Trifecta Method by 3M ESPE in his practice:
One system from one manufacturer
One of the points I often emphasize in my teaching is that dentists should not mix and match cements and adhesives from different manufacturers.
There are simply too many opportunities for incompatibilities or unforeseen issues to arise, and there is no way for any one manufacturer to test their product with any given product from another manufacturer. However, dentists can generally feel confident using an adhesive and cement from the same manufacturer, and 3M ESPE has given the industry a combination that is difficult to pass up.
The unique properties of RelyX Ultimate cement and Scotchbond Universal adhesive provide technique insurance, with a greater tolerance for errors than other combinations on the market. In addition, they also dramatically streamline the restorative process.
Dentists who are tired of stocking multiple resin cements and adhesive systems-as well as learning the various techniques for all of these products-now have a go-to system that eliminates these issues. With just two components, we now have an outstanding tool for virtually any indirect prosthetic restoration.