What is a “must have” or a “go to” product today in our offices? We all have our ‘go to” products and that is exactly what Premier’s Traxodent system is.
What is a “must have” or a “go to” product today in our offices? We all have our ‘go to” products and that is exactly what Premier’s Traxodent system is.
Traxodent can be used by itself, in conjunction with retraction cord, or with the retraction caps for when additional hemostasis or retraction is desired. The system is easy to adopt into our practices and, equally important, is cost-effective. Two months ago the Catapult Group evaluated the Traxodent system and overwhelmingly, the hemostatic paste was given a 100% rating by everyone who reviewed the product.
Yes, I said 100% and as you will see, the Traxodent system is multifunctional and deals with two main problems we face every day: bleeding and tissue retraction.
When to use Traxodent
Bleeding is a daily issue for numerous procedures for every one of us. How do you stop bleeding effectively in your office? As answered in our own survey to the group, common products or techniques include: 1:50,000 Lidocaine and epinephrine, an 810 laser, small amounts of super-oxyl, Viscostat in either the Ferric Sulfate and or Aluminum Chloride, Astringodent, Hemostasyl, and other products.
No question many of us use a combination of these but let me introduce you to Traxodent Paste, which like Viscostat Clear (which I do use in between my 2-cord technique) is a 15% Aluminum Chloride a paste (rather than a liquid) that comes in pre-loaded syringes and can be used with cord.
I haven’t counted how many uses per syringe, but there are plenty and the beauty is that this system placed onto bleeding tissue will stop routine bleeders in 2 minutes.
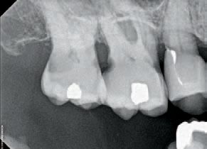
The first case presented involved an 84-year-old patient, with a long history of high levels of plaque and recurrent decay.

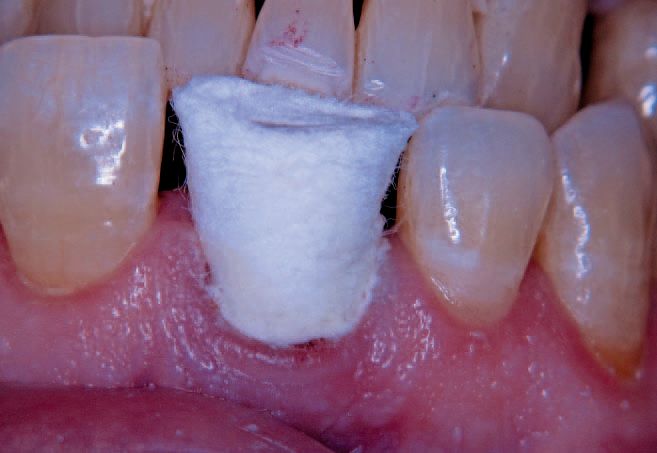
Once the decay was removed on the distal buccal surface of No. 11 with KOMET USA’s Cerabur system, the preparation was coronally beveled and ready for the final restorative. With the restoration being extremely subgingival, the question was how do we stop the bleeding (Fig. 1) and control gingival crevicular fluid?
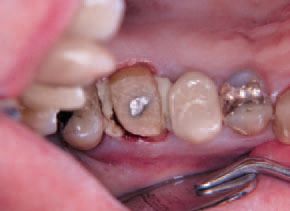
The answer, in this case, involved first packing a 000 cord from the mesial buccal line angle to the disto buccal line angle. Once placed, a small amount of Traxodent paste (Fig. 2) was delivered to the bleeding area (the retraction cap was not required) for 2 minutes.

After the 2 minutes, the Traxodent paste was easily rinsed away (85% of the Catapult Group reviewers noted the ease of rinse removal). As seen in Fig. 3, the bleeding was gone and the tooth was then selectively etched, followed by DENTSPLY’s Prime and Bond Elect, Shofu’s Beautifil Plus NO Flow A3 as the initial layer over the dentin and gingival margin followed by Tokuyama’s Estilite composite shade A3.5 (Fig. 4).

The second case involved deep interproximal decay on tooth No. 3 (Fig. 5) with supra-eruption, along with periodontal issues that were to be addressed (patient declined an implant). At the same visit, implant No. 30 was impressed and a decision to wait on caries treatment on the mesial and buccal of No. 2 until after periodontal surgery was completed. After the decay was removed, the area required both a cessation of the bleeding along with retraction of the tissue such that a glass ionomer could be placed and then the crown fully prepared.

After the decay was removed, the Traxodent paste (Fig. 6) was placed both mesially and distally and a large cap was inserted (Fig. 7 ) . The cap was removed after 2 minutes and again, the paste was easily rinsed away revealing non-bleeding gingival tissue.


The tooth was then mildly etched with Riva Conditioner for 15 seconds, rinsed and Riva Silver was injected into the areas requiring this build up material. After 20-30 seconds, the material moved into a more semi-solid state, allowing the practitioner to pack the Riva Silver into the preparation (Fig. 8).

After waiting 4 minutes for the material to set, the tooth was prepared and the paste and

cap was placed again for 2 minutes and finally, the temporary was started (Fig. 10).
Retraction caps a valuable option when needed
The Traxodent system has equally important functions in maximizing successful impressions for our crown and bridge procedures. With all the advances made in taking both traditional and digital impressions, retraction and control of hemorrhage are two key issues that have to be handled correctly or else failure will result.
Continue Reading on Next Page ...
First, let me clearly state, Traxodent paste doesn’t act exactly like Expasyl (Kerr Corp.). Traxodent paste in my hands doesn’t expand tissue as much as Expasyl, however the group found that Traxodent used in conjunction with a retraction cap provides superior retraction. Therefore, my uses in impression procedures primarily fall into two recommendations.

First, as a two-cord user, you can place Traxodent in between your two cords, similar to Viscostat Clear from Ultradent has worked so well for me in this manner for years. The ideal time to use this system is after the second cord. If bleeding is still pronounced, add the Traxodent paste followed by the appropriate cap (Figs. 12 and 13).

If bleeding is under control, then simply bypass the paste and place the Cap. After waiting 2 minutes, you will find the tissue further retracted than just with 2 cords. Without question, this enables the practitioner to take superior impressions (Figs. 14a-d).




The last procedure demonstrated in this article deals with hemorrhage present at the time of cementation. Regardless of the cement, contamination with blood creates immediate micro-leakage at the marginal interface. So, you removed the not-so-perfect temporary or the patient had poor home care, or you flossed too heavily during the initial try-in.
Each of these can be a reason bleeding is present at the time of cementation. With the Traxodent system, minor bleeding can be easily overcome by applying the paste, waiting 2 minutes and rinsing the area. If pressure is needed, the caps can be applied (Figs.15a-c).

Two of the most common issues we face in dentistry are bleeding and retraction. 100% again found it very effective in reducing bleeding and 85% of the group found the rinsing away of Traxodent is far easier than Expasyl.
Rinsing is important as per Reality, if paste systems are not completely rinsed away and are found to be present after rinsing, it can affect bond strengths which can affect final adhesive cementation or affect the way impression materials set or don’t set.

Those in the group who use Expasyl for retraction didn’t find the paste equal in retraction.
For those like myself, I prefer to place the 2nd retraction cord in lieu of Expasyl and found superb retraction when coupling the caps with my 2nd cord technique. This id visible in 14c.
In summary, Premier has provided dentists a valuable one-two punch for many of the clinical situations we are presented with daily.


As a group, the hemostatic properties of the paste were overwhelmingly received and the majority of the group agrees that the retraction caps aided the impression procedures after proper cord replacement.
FEATURED PRODUCT
Traxodent Hemodent Paste Retraction System
Traxodent Hemodent Paste Retraction System is designed to serve as a retraction and hemostatic system for use prior to taking crown and bridge impressions or wherever hemostasis and retraction is required. Traxodent comes in pre-packaged syringes that contain 15% aluminum chloride, dispensing tips, and three sizes of the optional retraction caps for use when added hemostasis and/or retraction is desired.
Find out why Premier’s Traxodent system recieved a 100% Catapult rating
The Catapult Group reviews this hemodent paste retraction system. Written by: Dr. Lou Graham Premier’s Traxodent system Date published: 07/30/2013 5 / 5 stars