Catapult Education Educators find high-quality diamond burs in the Two Striper® product line.

Diamond burs are used by dentists in all facets of dentistry and are an essential part of daily practice. Dentists will utilize numerous styles, grits, and shapes of diamond burs throughout their career while performing restorative dentistry.
In a recent survey following a clinical evaluation of Two Striper diamond burs from Premier Dental Company, 27 Catapult Education Evaluators identified many of their top attributes when selecting diamond burs. The evaluators highlighted “speed of cutting” (77.8 percent), “variety of shapes” (66.7 percent) and “price” (55.6 percent) as their top priorities when considering a bur purchase. Consideration was also given to “variety of grits” (55.5 percent), “feel and handling” (51.9 percent), “lack of vibration or chatter” (48.1 percent) and “bur longevity” (37 percent).
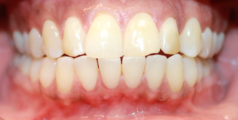
(Fig. 1) Pre-operative photo of a patient wishing to change out her anterior bondings and single-unit crown for esthetics.

In today’s competitive environment, clinicians are showing strong preference towards speed and price to help manage overhead costs and decrease required chair time for procedures. The preferences towards varieties of shape and grit also note the need for predictability of procedures while managing overhead costs.
In order to deliver high-quality patient outcomes in an efficient and productive manner, clinicians must choose diamond burs that support the style and productivity of their practice. After evaluating the various properties of multiple types of diamond burs, a clinician will undoubtedly develop a preference.
Catapult Evaluators were provided samples of Two Striper diamond burs. Two Striper burs are leading the industry with the development of faster, longer lasting, cooler cutting technology in their diamond burs. Two Striper burs feature a proprietary P.B.S. brazing process for all their diamonds to bond natural diamond crystals to the shank of the bur. This bonding process ensures diamond crystals do not fall off the shank during clinical procedures.
The purpose of this evaluation was to garner feedback on performance, longevity, and the cutting quality of Two Striper diamond burs compared to the other brands each clinician has used.
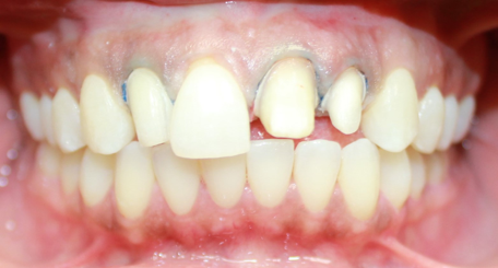
(Fig. 2) After completion of orthodontics, preparations were completed using the Two Striper Diamond Crown pack of five burs. Smooth margins and walls resulted from preparation with diamond burs.

To assess the performance of the Two Striper diamond burs, each clinician was asked to compare the speed of cutting to other brands they have used; 74.1 percent of respondents rated Two Striper faster while 25.9 percent responded, “about the same.”
Next, to determine if Two Striper lasts longer than other brands, the participant dentists were asked, “How long did Two Striper remain an effective rotary cutting tool compared to other brands you have used?” While 26.9 percent reported similar bur longevity compared to other brands, 73.1 percent of the dentists surveyed responded that Two Striper burs lasted longer with 34.6 percent noting they “last much longer.”
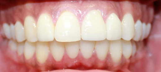
(Fig. 3) Final delivery of restorations with a high level of predictability due to well-executed preparations.

Lastly, the dentists were asked about the quality of Two Striper burs by assessing cutting control and precision compared to other brands they have used, and 59.3 percent felt they created more precise cuts while also being more controllable than other brands. Overall, more than 85 percent of Catapult Evaluators would consider incorporating Two Striper burs into their practice.

The results from the survey suggest the Two Striper diamond burs stand out amongst its competitors as a preferred brand based on value, quality, predictability, and options. It is clear from the results of the survey that Two Striper diamond burs offer high-quality, predictably fast, and comfortable diamond burs that win high marks with the general dentists surveyed, and Catapult Education is pleased to give them its Catapult Vote of Confidence.
Two Stripper Diamond Burs

The Two Striper diamond bur is unique due to its two stripes. It’s manufactured by a patented bonding technology that brazes natural diamond crystals into the instrument’s shank, chemically bonding the crystals to the surgical stainless steel and preventing the loss or peeling of diamond particles. P.B.S. bonding maximizes the exposure of diamond cutting, especially at the tip and upper circumference of the instrument where the cutting load is focused.
Premier Dental Company
888-670-6100 | premierdentalco.com
About Catapult

Catapult is an organization that consists of more than 50 clinicians spread throughout Canada and the United States. As a company, manufacturers pay a fee for their product to be evaluated and what we deliver are truthful, independent answers from surveys that we develop with them. We have had many products that have either had to be altered before hitting the market or simply never arrived because of our openly honest evaluations. In this way, Catapult assists the manufacturer to avoid potentially releasing a faulty product or simply a product that needs refinement. Lastly our clients are omnipresent in the industry, small to large, no favoritism, simply reviewing the latest products in our practices.