We share what you thought were the best how-tos of 2016 as part of our Top 100 issue.
Here at DPR we're always looking for ways to learn and innovate. The articles, videos, e-books, webinars and newsletters we put out are designed to make sure you have all the knowledge you need to be the best healthcare professional you can be.

Here we present the top how-to articles of 2016. These how-tos included techniques, webinars and videos, and they were chosen because they were the most viewed this year. Every year we take a look back at the Top 100 products, videos, E-books, webinars and articles that made this year great. We hope you enjoy looking back at what helped you learn and grow this year, and we look forward to bringing you great new content in 2017!

How to use VOCO’s Admira® Fusion Universal Light-Cured Nano-ORMOCER®
In this step-by-step how-to article, Marty Jablow, DMD, shows how to use VOCO’s Admira Fusion Universal Light-Cured Nano-ORMOCER. The material is said to set new standards in restorative dentistry with respect to materials science. Clear photographs make this how-to easy to follow. In this case study, the patient presents with a mandibular right first premolar with an open contact and a defective composite restoration. Through this scenario, you will see how easy it is to use this bonding agent, and learn everything you need to know to apply it in your practice.
Click here to read the whole how-to

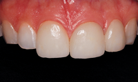
Close diastema using time-tested materials
Dr. Marcos Vargas uses 3M materials and a cutting-edge polishing system for highly esthetic results. Using The Sof-Lex™ Diamond Polishing System and the Filtek™ Supreme Ultra Universal Restorative delivered excellent results while maintaining the integrity and anatomy of the restoration. This how-to will show you how he achieved beautiful esthetic results with a high-gloss shine that greatly impressed a patient who presented with a small interior diastema.
Click here to read the whole how-to

How to create simple direct resin restorations
In these cases from Dr. Gregori M. Kurtzman, the author uses products from Tokuyama Dental America for direct resin restorations. Advancement in both the adhesives and composites has improved the long-term success of these treatments. Additionally, these advancements allow for an easier, more simplified treatment while improving the esthetic results with fewer steps than with previous materials available.
Click here to read the whole how-to

How to create an esthetic smile with smile design principles
In this article, Dr. Ross Nash demonstrates smile design principles that can help in achieving esthetics in a smile. The patient was a young woman who had benefitted from porcelain veneer placement to achieve a better smile.
Click here to read the whole how-to

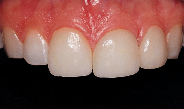
How to color match with porcelain laminates
In this Clinical Insights technique by Dr. Ross Nash, he uses team treatment to achieve a superb color match with ceramic veneers that mimicked the appearance of the surrounding neighbors.