How E4D’s digital solutions helped transform this patient’s smile.
How E4D’s digital solutions helped transform this patient’s smile.
As a young girl, Rosana Graves didn’t always get the best dental care and she did not have a great smile. The same could be said for her sister.
Today, things are much better for the two sisters who each took a very different route to improving their smiles. Rosana’s sister eventually wore braces for three years as an adult to correct some tooth crowding in her mouth.
Rosana, meanwhile, recently turned to veneers, and her dentist at Mirage Dental Associates, Dr. Michael Moroni, used the technology available from E4D to help her redo her smile quickly and efficiently.
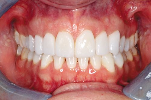
Rosana wasn’t initially sold on the idea of veneers - she had eight veneers placed in the maxillary - until she saw the possible results up close.
“I used to wait tables and I met Dr. Moroni and his wife, and she remarked about my smile and how she had gotten veneers herself,” Rosana said. “She convinced me it would be a great option for me as well.”
After also noticing the great smiles that team members at the practice had gotten from similar treatments, Rosana was sold on getting veneers. The treatment went so well that she is thrilled with the results, and amazed at how quickly her new smile came about.
“The whole process was very quick, especially for the outcome,” Rosana said. “My sister and I suffered from the same issues. She wore braces for three years as an adult and I went the other route, which was cosmetic dentistry, and I got it all done in two weeks. I’m absolutely happy with my choice.”
It helps to have a confident clinician and one who invests in the types of technology available from E4D Technologies.
“You can tell he’s confident and he knows what he’s doing,” she said. “It was a very smooth process from start to finish. To be honest, I am quite taken by the technology and what they can do. I would absolutely recommend this to a friend.”

A post-operative look at the new veneers.