These two cases demonstrate the power of MOPs® and HFV technology to maximize efficiency and predictability in clear aligner cases while drastically reducing the number of total office visits.

SEEMINGLY OVERNIGHT, the world digitally transformed to a network in which everyone and everything is connected. The ability to start your car with your watch, and open the garage door with your voice are clear signs that times have changed and convenience is king. Today, we have opportunities to connect patients with excellent outcomes in fewer steps than ever before.
At Jackson Dental, we take customer service and technology to the next level. Located in the heart of downtown Tampa, Fla., in the Bank of America professional building, I built my practice around uniting two principles-excellence and efficiency. Patients want excellent results, delivered comfortably in as few visits as possible.
Developing systematic approaches and utilizing the latest technology to exceed patient expectations has been the driving force behind my practice decisions and rapid growth. Cosmetic veneers and crown restorations are scanned and milled to match perfectly in 15 minutes, eliminating extra appointments. Our chairs are heated massage chairs that recline to enjoy large screen TVs through sound cancelling headphones. Little touches that give patients what they want comfortably and faster go a long way.
Synergies between technology and biology are having a profound impact on orthodontic treatment, and its delivery. We are efficiently delivering excellent finishes, with tougher cases, in half the visits of standard treatment. The confidence I now have when presenting treatment plans allows me to remain price competitive despite premium commercial space and the advanced technology I include in treatment.
How long should treatment take?
	Dr. DeWayne B. McCamish, DDS, MS, past-president of the American Association of Orthodontists (AAO), said, “What most people don’t understand is that moving teeth is a biological process that involves bone that dissolves and re-builds as teeth are moved into their new positions.”1 So whether using conventional braces or clear aligner therapy, the rate-limiting factor for tooth movement is always based on a patient’s biology.
A systematic review recently published by the American Journal of Orthodontics and Dentofacial Orthopedics (AJODO) tabulated the average time to complete orthodontic treatment was 20 months and required 18 visits.2 Further, it concluded, “The relative merits of measures to hasten orthodontic treatment should be balanced against this yardstick.”
Continue Reading on Next Page
How can we improve efficiency?
	A huge advantage with clear aligners is patients not needing to routinely come in the office to get their braces “tightened.”I have dedicated time and training to learning the technology behind the Invisalign system and feel very comfortable treating advanced cases now. Clear aligner orthodontics allows patients to easily and incrementally advance their treatment with a mechanically advantageous light, continuous force. 
If biology dictates movement, can we adjust the biology?
	One of the most remarkable tools I have implemented is the biology activating effects delivered by Propel Orthodontics. As an early adopter of new technology, I began my first case with micro-osteoperforation (MOPs) treatment utilizing the motorized driver in November 2016.
The premise was simple and amplifying the primary variable driving tooth movement just made biological sense. Disturb homeostasis with a shallow cortical perforation the size of pen point in an area where more biological activity is needed. The perforations then trigger a natural immune response, called the regional acceleratory phenomenon (RAP), that increases bone turnover.
Pre-clinical trials showed efficacy-subsequent human clinical trials (using the appropriate device and technique) have duplicated the response in humans. My first treatment was quick and uneventful as anticipated. My patient had no issues during or afterwards. I soon placed an order for more “tips” and decided to try their high-frequency vibration device (HFV) as well.
At that time, the product (VPro from Propel Orthodontics) was indicated as an aligner seater which seemed to be an expensive splurge compared to the chewies and munchies I was accustomed to giving. Regardless, I decided to try it with a patient experiencing mid-treatment tracking issues despite using traditional seating appliances.
It was my feeling the tracking issues were more related to wear time than seating, but I thought I’d try it out. Over the next few appointments she spontaneously expressed enthusiasm about the device in that it made wearing her aligners “feel more comfortable.” Ultimately, we completed the initial set of aligners and detailed with one short set of refinement aligners.
Today, both the MOPs treatment and VPro high-frequency vibration have been FDA cleared Class II indicated for accelerated tooth movement. While I have, and do use these adjuncts independently at times, I now most often use them together. Based on what I have read, the MOPs treatment activates the bone remodeling biology, and the VPro device prolongs the biological response so I don’t have to repeat the MOPs treatment.
I didn’t intend for this article to delve deep into the science, instead I will refer you to supporting literature freely accessible on the company’s website. I would however enjoy sharing a transparent look at just how Propel biology and Invisalign technology have helped me deliver excellent finishes in far fewer office visits than the typical case (18).2
Continue Reading on Next Page

Case 1 – Deep Bite (Step by step)
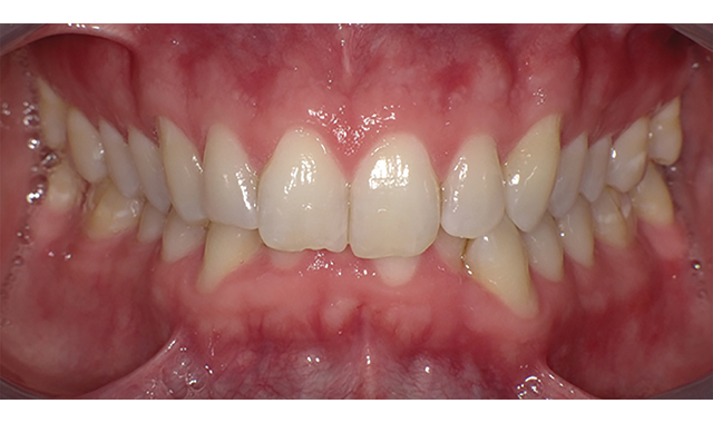
	Patient is a 32-year-old male with frequent business air travel. Chief complaint was pain when chewing (TMJ) and how his front teeth looked. He elected treatment with Invisalign Full and 37 aligners were ordered. He presents with Class I molar relationship with 100 percent deep bite, moderate to severe crowding, a mandibular canine 60 percent blocked out, and occlusal contact on right-side only. 

VISIT 1: Attachments were placed on appropriate teeth using blue etch, Viva pen bond from Ivoclar Vivadent and Shofu’s Beautifil flowable-red, shade trans. Performed IPR as indicated. Aligner 1 fit is excellent. Delivered aligners 1-2 at 14-day interval.
VISIT 2: Aligner 3 fit is good with minor lag on #7. Discussed Propel (MOPs) to allow better tracking and reduce to 7-day interval. Delivered aligners 3-4 because patient needs to be seen in one month prior to leaving on business for two months.
VISIT 3: Aligner 5 fit is good. Performed IPR as indicated. Delivered aligners 5-8 at 14-day interval.
VISIT 4: Aligner 9 fit is good. Delivered aligners 9-12 at 14-day interval.
VISIT 5: Aligner 13 fit is good. Delivered aligners 13-16 at 14-day interval.

VISIT 6: Aligner 16 has problem fit. Attachments are all in place. Refinement scan taken. Discussed Propel Tx & VPro to activate biology and accelerate aligner exchange to 7-day interval but he must commit to wearing 22 hours/day. Patient agreed.
VISIT 7: Refinement-Switching to Fast Lane. Refinement includes 18 aligners. New attachments placed. Aligner 1 demonstrates excellent fit. Removed aligner and proceeded with 2 rinses of chlorhexidine, infiltrate anesthesia and performed Propel MOPs treatment in areas of significant movement. Delivered VPro device and aligners 1-7 at 7-day interval, possibly decreasing to 5-day interval if tracking perfect.
VISIT 8: Aligner 7 has excellent fit. Patient indicates aligners feel loose on day 4 and has been advancing aligners on day 5. VPro compliance tracker indicated he was often using it 2x per day. Delivered aligners 8-14 at 5-day interval.
VISIT 9: Aligner 14 has good fit but has been on this stage for only two days. Patient commented, “I can’t believe how much my teeth are moving after Propel!” Delivered remaining aligners 15-18 at 5-day interval.
VISIT 10: Completed aligner series: Patient elected for a second refinement to resolve slight crowding of lower anterior. Took Scan and scheduled follow-up.
VISIT 11: Refinement 2: Refinement includes 10 aligners. Attachments placed. Delivered all 10 aligners.
VISIT 12: Completed active treatment: Patient states, “My TMJ is completely gone now. It’s crazy my teeth moved that much. They look awesome.” Removed attachments, took final photos and scanned for Vivera retainers from Invisalign.
Continue Reading on Next Page
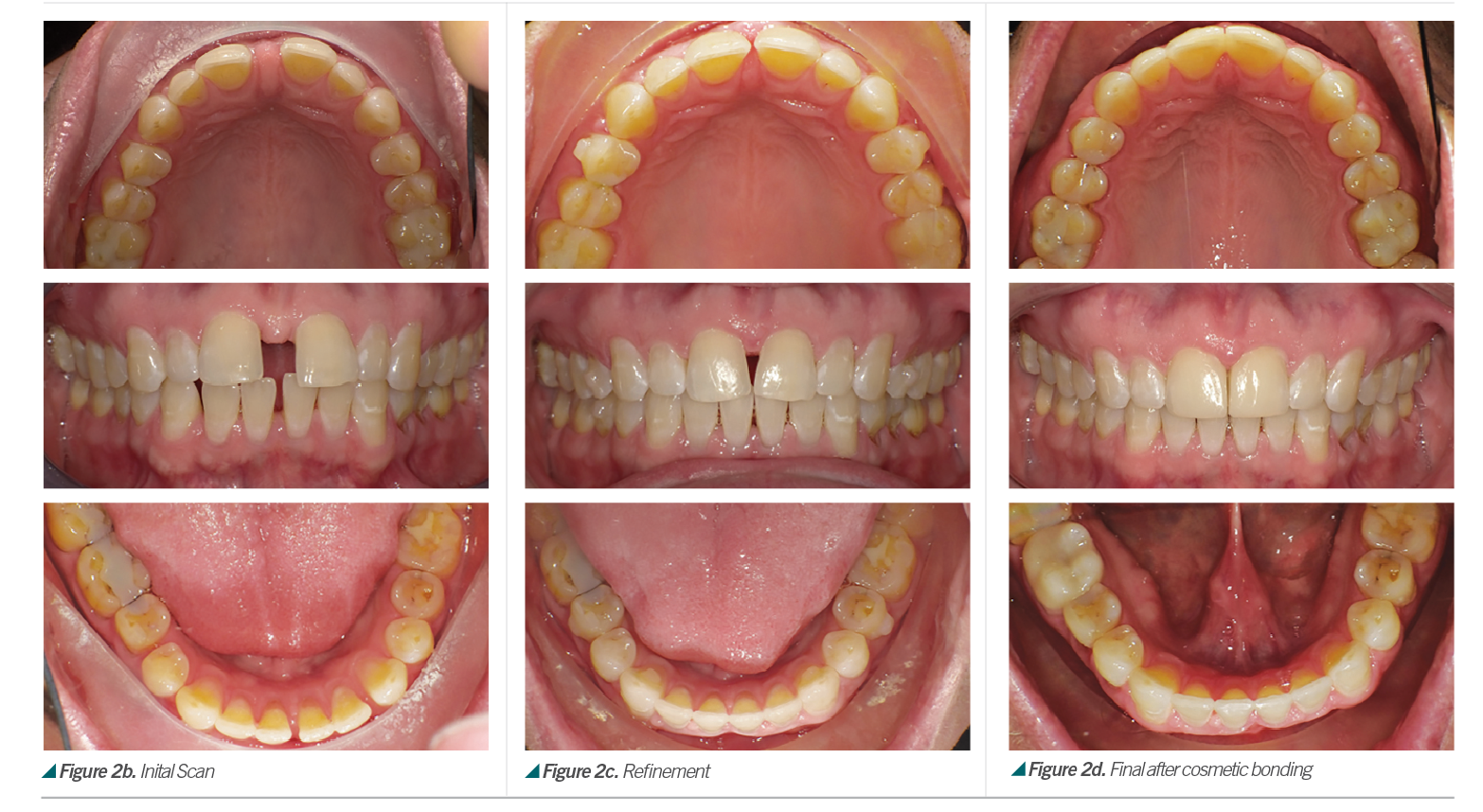
Case 2 – Spacing (Step by step)
Patient is a 50-year-old male. Chief complaint was a large space between front teeth. He presents with Class I molar relationship with generalized spacing,

a 5 mm maxillary diastema, significant occlusal wear and Class V abfractions. He elected treatment with Invisalign Full and 20 aligners were ordered (17 + 3 OC).
VISIT 1: Attachments were placed on appropriate teeth using blue etch, Viva pen bond and Shofu Beautifil flowable-red, shade trans. Performed IPR as indicated. Aligner 1 fit is excellent. Removed aligner and proceeded with two rinses of chlorhexidine, infiltrate anesthesia and performed Propel MOPs treatment in areas of significant movement. Delivered VPro device and aligners 1-8 at 5-day interval.

VISIT 2: Aligner 8 has good fit. Patient states, “I love this thing,” referring to how his VPro device makes aligners stick to his teeth and exchanges more comfortably. Delivered aligners 9-17 at 5-day interval.
VISIT 3: Aligner 17 has good fit after two days wear. Instructed patient to wear 17 and 18 for 7 days each and delivered aligner 18 (Over correction) and whitening syringes.
VISIT 4: Completed aligner series: Aligner 18 has good fit. Patient has 0.5 mm gap remaining between centrals and elects to do a refinement. Removed all attachments and performed scan.
VISIT 5: Refinement 1: Refinement includes 13 aligners. Attachments placed. IPR is scheduled for Aligner 9. Delivered aligners 1-8 at 7-day interval approaching retention stage.
VISIT 6: Progress scan indicates all green. Aligner 8 has good fit. IPR performed as indicated. Delivered aligners 9-13 at 7-day interval.
VISIT 7: Completed active treatment: Patient is very happy with smile and already whitened teeth in preparation for cosmetic bonding. Bioclear matrix system used to eliminate black triangles. Removed attachments, took final photos and scanned for Vivera retainers.
Takeaways and conclusion
	Neither of these cases were simple. Both presented challenges for aligner therapy. Torquing mandibular canines has been notoriously challenging with aligners. Translation/space closures are difficult even with fixed appliances.
Today I would prescribe MOPs/VPro from the beginning on both cases and implement MOPs treatment at visit 2. Doing so could have eliminated up to six office visits on case one alone. I now prefer to initiate aligner wear at 14-day intervals providing just two aligners to gauge compliance. Then at visit 2, we “activate the biology,” accelerating aligner exchanges to 5-day intervals moving treatment along three times faster.
Patients know if they are not compliant with aligner wear or five minutes per day VPro use, we will have to “slow down treatment” and return to longer aligner exchange intervals. This is a major driver of compliance.
Running a busy practice is a daunting decision tree. How do we increase production, or get more time to do the things we want? The efficiency game is about doing more with less. I have found that sometimes the biggest impacts can come from the smallest things, like just giving someone a smile.
VPro+™
• FDA-cleared high frequency vibration product line proven to accelerate orthodontic tooth movement and increase predictability

Excellerator® Series
• First and only line cleared by the FDA for use in micro-osteoperforation
• Simple in-office treatment executes challenging movements efficiently
Propel Orthodontics
855-377-6735 | propelorthodontics.com

References:
1. AAO Press release Feb 23, 2017
3. Frontiers in Oral Biology 2016;18:28–35
