Tough cases with big paydays are not always worth the added stress, so make sure to enjoy some freedom and your life while getting through the daily grind of running a dental practice.
I’m bald, I have hairy ears, and everywhere I go with my wife (who is older than I am), people think I’m much older than her. Whose fault is this? I’d like to blame it on a continuing education (CE) course I attended 9 years ago.
At this course, the instructor, who was an extraordinary surgeon and clinician, showed me how to do all-on-4 and all-on-6 implants. The cases were beautiful. The implant placement was precise, the tissue management pristine. The resultant smiles were beautiful and highly functional. Then, as a great massage to his already large ego, his PowerPoint slide displayed an image of the actual check he collected from the patient. It had lots of zeros. This guy collected more from 1 patient in 1 day than I was collecting in a month.
I was hooked. I wanted to be that guy. I wanted to brag about big checks and complicated surgeries.
When I returned to work, I had a very genuine interest in adding this very complex and expensive service to my treatment repertoire. We changed a few of our processes and added some specific marketing, and it wasn’t long before a patient walked in, excited and financially ready to start a case. She paid in full that day. It was the biggest check we had ever collected.
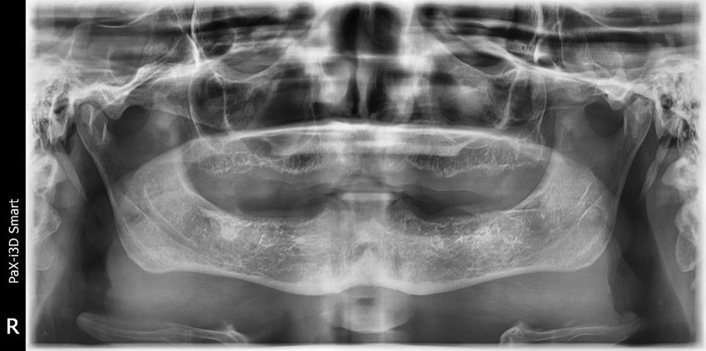
Author’s first case—a lady who hated her dentures and was willing to pay big for something fixed. At the time, Dr Gupta didn’t have a CBCT, but he had faith in his ability to place the implants where they belonged, based solely on the pan. Somehow, the maxillary sinus, especially on the right side, didn’t phase him, though he says now that it should have (Figure 1).

Now let’s talk about dentistry. When a tooth is extracted, can complications occur? When an interim healing denture is delivered, can it be gaggy or uncomfortable, or create sore spots? When implants are placed, can they fail? Can the gingiva surrounding the implant heal unpredictably? The prostheses, both temporary and permanent—can they create sore spots, food traps, or a smile that is a little too gummy? The answer, at least for an average clinician like myself, to all of these questions, is yes.
I have been a dentist for almost 20 years, and all of the unappealing complications listed above have occurred plenty of times. They were unpleasant, but a part of the job, and I was able to handle them.
The difference, however, is that a 5-digit check wasn’t psychologically hovering over me. She had already paid. We had already celebrated. What we didn’t realize at the time was that check also brought with it an unspoken responsibility that everything must go smoothly.
Everything did not go smoothly. Her gingiva healed awkwardly around the most anterior implant. She had a very difficult time in the short period in which she had to wear an interim denture, especially when it had no retentive support from the implants.
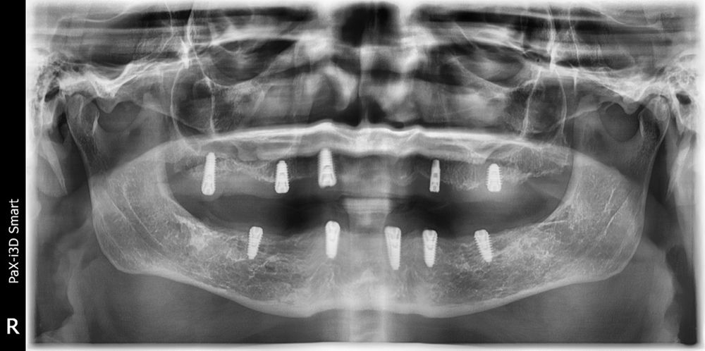
Looking back at this x-ray, Dr Gupta was not happy that almost every implant in the maxilla has threads showing above the bony crest (Figure 2).

I began to dread any morning in which I saw her name on the schedule. I began to think about her and her teeth at the dinner table, during quality time with my wife and kids, and, inexplicably, at 2 am when the house was silent and everyone in our house besides me was deep asleep. Even though the changes are always impossible to perceive in real time, I was aging. My shoulders slumped just thinking about the case. The stress created downstream physiological ramifications.
In the end, we were able to deliver an implant-retained full replacement option the patient was happy with. This article is not about the implants, the tissue manipulation, the smile design, or the abutment options. It is about freedom.
Feeling Free
It is really cool to receive a really big check. The check represents, maybe, an ability to purchase a previously elusive material item. It represents a symbol of “making it” or being a big shot. There is and always will be a part of my brain that receives immense pleasure from big checks.
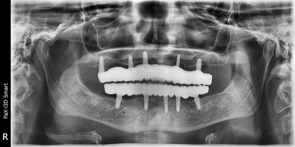
The case is restored and the patient is very happy, but Dr Gupta is not. Every time he sees her name on the schedule for a recall exam, prophy, and implant maintenance, he is nervous that 1 of those upper implants is going to fail or that threads are going show (Figure 3).

Then there is freedom. Freedom represents all the other parts of our brain. These are the parts that function best when we are at peace, free from dread, free from “keeping our fingers crossed,” free from thinking about crestal bone while our kids are talking to us about their day at school.
Most of us will begin our careers in our 20s or early 30s. We will end our careers 30 years later. We will begin with upright backs and the ability to smile easily, and many of us will start these careers with already great relationships. I think all of us have seen what 30 years in dentistry can do to that back, that smile, and that spirit.
We have a choice in this profession. Choice A represents simplicity and patience in our treatment repertoire. It represents doing procedures that we truly find gratifying, but also predictable. These procedures can, of course, be challenging, but not enough to create psychological burden when we return home from work. Luckily for us dentists, the procedures from choice A will definitely still ultimately lead us to a comfortable, financially stable, and appropriately luxurious life. Choice B represents the big checks. It represents a faster trajectory to financial excess. It might also represent hair growing out of your ears.
I have the opportunity to visit dental offices all over the country. They hire me, surprisingly, to help them make more money. A lot of dentists have seen the same CE courses that I have, and want to learn those processes and marketing strategies so they can feel the elation of receiving those big checks. Here is my advice to all of them:
If a CE course makes a complex dental procedure seem easy, take some more CE courses.
Even with the best planning, tell the patient that things are probably going to go wrong along the way. Say, “You’re going to hate me after this procedure,” or, “You are going to want to destroy this temporary after a few months.”
Create a detailed time line so the patient can know what to expect, and in it, estimate that things are going to take longer than they should.
Before you embark on a case, ask yourself if it has the potential to keep you up at night.
Never allow yourself to feel “inferior” to your dental friends and colleagues if they are doing more complicated procedures than you are.
For any complex procedures, create a “handoff” between yourself and the front desk team in front of the patient. This means, the nuances of the treatment plan, time line, appointments, etc, should be done as a discussion involving you, your financial coordinator, and the patient.
And this is the hardest one:
Don’t collect the full financial treatment fee up front. Earn it over the course of treatment.
Most likely, people in sales and marketing will find my advice dubious. I don’t blame them. Financially, there are a ton of benefits in up-front collection and rapid financial conversion. This isn’t an article about that. It is an article about us, as humans, and what causes us to age. It is an article about what beats us down, makes us less excited about our profession, and, in my case, what makes hair grow out of our ears. Don’t grow hair out of your ears.