In an effort to make dentistry better, faster, easier, and more productive for the clinician, Shofu Dental offers this new, therapeutic, BPA-free, nano-hybrid, flowable composite restorative material.
Information provided by Shofu Dental Corp.

What
Beautifil® Kids SA self-adhesive, nano-hybrid, flowable composite restorative with bioactive Giomer Technology inside
Who
Shofu Dental Corp
800-827-4638
Where
Beautifil Kids SA has eliminated the need for the technique-sensitive bonding procedure for pediatric patients. Clinicians can simplify pediatric procedures with the BPA-free, self-adhesive, nano-hybrid, flowable restorative with bioactive Giomer Technology.
When
Clinicians can use Beautifil Kids SA for preventive resin restorations, small Class I, and other non–load-bearing restorations without the need for a bonding agent. The flowable composite’s unique chemistry provides a chemical bond and resin tag infiltration.
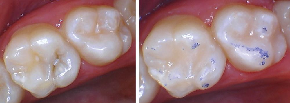
Clinical image courtesy of Shukan Kanuga DDS, MSD.

Why
Ideal for the management of caries in restless children, it features Shofu’s exclusive Giomer Technology that releases and recharges fluoride and other beneficial ions for the life of the restoration. As a result, patients receive healthful benefits such as antibacterial effect, acid neutralization, tooth structure strengthening, and more.
How
It delivers high bond strength for reliable adhesion, precision placement with superior handling, and light transmission and diffusion properties that blend well with primary or permanent dentition for picture-perfect restorations. The lack of a bonding agent allows total integration of the healthful benefits, including antibacterial effect, acid neutralization, fluoride release and recharge, and more.