Ivoclar Vivadent transformed the world of restorative dentistry several years ago with the introduction of IPS Empress®, the ultimate in metal-free esthetics. Then they changed everything again with the stronger, popular IPS e.max®. Now Ivoclar Vivadent is taking another step toward delivering solutions to laboratories of all sizes and services with the recent acquisition of Wieland Dental and Wieland Precision Technology (WPT) .
Ivoclar Vivadent transformed the world of restorative dentistry several years ago with the introduction of IPS Empress®, the ultimate in metal-free esthetics. Then they changed everything again with the stronger, popular IPS e.max®. Now Ivoclar Vivadent is taking another step toward delivering solutions to laboratories of all sizes and services with the recent acquisition of Wieland Dental and Wieland Precision Technology (WPT) .
By adding Wieland Dental and its popular full contour zirconia brand Zenostar, along with Wieland Precision Technology as a digital outsource option, Ivoclar Vivadent can now offer a full range of choices for labs.
“As the world leader in all-ceramic restorative materials, we are always moving in new directions to provide exciting, innovative products,” Ivoclar Vivadent CEO Robert Ganley said. “We are committed to offering dental professionals world-wide the most advanced technologies, highest quality products, and world-class education.”
It was during the Chicago Midwinter Meeting and Lab Day that Ivoclar Vivadent announced its latest acquisitions. Wieland Dental and WPT offer two different solutions for monolithic zirconia restorations.
“The need to change has never changed,” Ganley said. “By acquiring these companies, we are poised to stay ahead of the curve and can now offer our customers all-ceramics all-options.”
With this article, DLP takes a close look at Ivoclar Vivadent and Wieland Dental and will share insights from experts in the laboratory and the clinical side of the dental world.
Material pioneers
By now, plenty of lab technicians and clinicians have produced a number of restorations using today’s top all-ceramic materials, but you’d be hard pressed to find anyone who has worked with IPS e.max more than Matt Roberts and Lee Culp.
Roberts, a world class ceramist, and Culp, a pioneer in ceramic materials and CAD/CAM dentistry, each have taken advantage of material advancements delivered by Ivoclar Vivadent. The two pretty much use IPS e.max all the time-even if they use it differently in terms of CAD/CAM and milling situations for different cases.

Wieland Precision Technology milling
“With IPS e.max the translucency level has increased to where we can use them for 99 percent of restorations and do a little bit of layering for our esthetics,” Roberts said. “It’s a wonderful material. I still haven’t seen failures with it.
“It’s also a very conservative material. I can do very thin restorations with it. I can press it down to a tenth or two tenths of a millimeter, where with the leucite reinforced glass it was six-tenths so we don’t have to take away as much tooth structure. Really IPS e.max has kind of taken over most everything we do other than bridges or really dark teeth with metal posts in them. Then we still need some zirconia or metal to hide those. That’s where the Wieland Dental products come in to play. Really between those two materials that covers 99 percent of anything I would ever do.”
Culp, the CTO for Microdental Laboratories, was among the first technicians ever to use Empress and IPS e.max. Culp also used to work at D4D Technologies, which makes the E4D Dentist System.
“We’re milling anywhere from 150 to 200 IPS e.max CAD cases a day and have been incredibly satisfied with the material in what we’re doing. We’re also one of the biggest customers for Zenostar Zirconia,” Culp said. “Because pretty much everything Microdental does in manufacturing - other than PFM and that’s not really in the all-ceramic range - comes off of a computer and out of a machine.
“We love IPS e.max, we can either mill or press it and we get beautiful esthetics.”

WPT automated milling technology
As a former employe of Ivoclar Vivadent, Culp was the first technician in North America to complete restorations with Empress and later IPS e.max. He’s still a big fan of both products, realizing that pressing with Empress is still a great economical choice in many cases. And now with the Wieland brands as part of the Ivoclar Vivadent family, he feels the company has all things covered for all labs.
“Between IPS e.max and zirconia, and even Empress, you pretty much have everything you’d need,” Culp said. “If you look at the materials, Ivoclar has the materials covered. For a smaller lab, that does not have a mill, the WPT is going to be a very good option for the people that can’t afford the milling machines. They’re covering all the options that a laboratory, large or small, may want to do with all-ceramic restorations. Whether they want to press, mill or mill themselves...whether they want to go ahead and use the WPT for milling. There’s a lot of options.”
A prosthodontist’s take
Dr. Jonathan L. Ferencz, FACP, Clinical Professor of Prosthodontics, New York University College of Dentistry, has worked with all-ceramics for many years. When IPS e.max was first introduced, he was part of a team of researchers who were asked to test the material’s strength. It’s safe to say the material passed the tests.
“At New York University, where I’m on faculty, we used mouth motion function machines to test IPS e.max,” he said. “We’d put it through one million chewing cycles and simulate two and three times the normal force and we couldn’t fail the units. We couldn’t break them. We found it actually outperformed PFM and that’s been confirmed with our experience in our practice and on patients.”

Milled Zenostar zirconia disk
But IPS e.max is not just strong. The material is so dominant in large part because of its optimal esthetics.
“The major advances since I left dental school I would say are dental implants and the advent of all white materials for dental restorations,” Dr. Ferencz said. “They have come a huge, huge distance. Historically the white materials really came as a replacement to the high costs of gold as well as the patients’ desires to have more natural replacements.
“First you had Empress, and it has been slowly replaced for many by IPS e.max. It has every bit the esthetics and it virtually has double the flexural strength and double the refracture strength. So IPS e.max restorations have virtually replaced Empress restorations, but also replaced many zirconia veneered with porcelain restorations, PFM and porcelain fused to aluminum. It’s really become the giant in dental ceramics. Esthetics were not compromised and the strength was virtually doubled.”
Another big plus for IPS e.max, Dr. Ferencz said, is that the material also is well suited for CAD/CAM restorations.

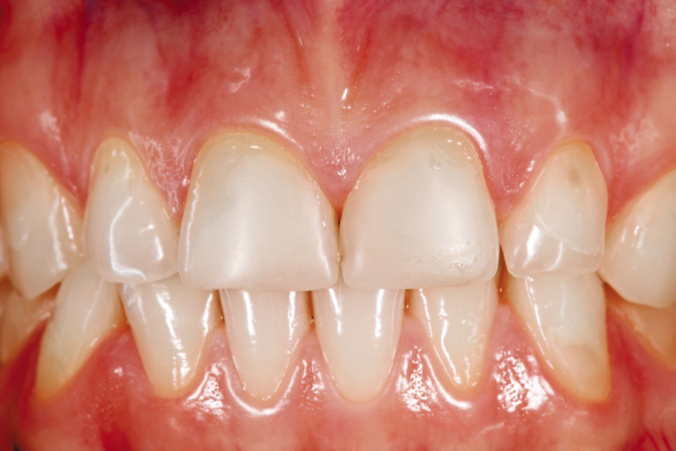
Pre-operative case from Dr. Ferencz
“It was engineered from the very onset to work with two different systems of fabrication,” he said. “One was the traditional hand pressed lost wax technique method, which makes it very comfortable for those who have been in dentistry a long time and prefer more traditional methods. At the same time that made it suitable for in-office CAD/CAM systems…it’s really taken the dental industry by storm. In my office we have three prosthodontists and four in-house laboratory technicians. We have done probably 2,500 to 3,000 IPS e.max restorations, and I think you can count the number of fractures or chips on one hand. It’s really quite incredible.”
Function is also key
Barbara Warner Wojdan is a highly accomplished ceramist-artisan and nationally recognized leader in functional-esthetic dentistry. With more then 20 years experience in multiple phases of comprehensive dentistry, she currently serves as President of Knight Dental Group, located in Oldsmar, Florida, where her passion and focus remain in the development and direction of high profile functional-esthetic dentistry and advanced laboratory-dentist communications.
While she too is impressed with the material advances in terms of look and strength, she credits Ivoclar Vivadent with also delivering products that lead to proper function.

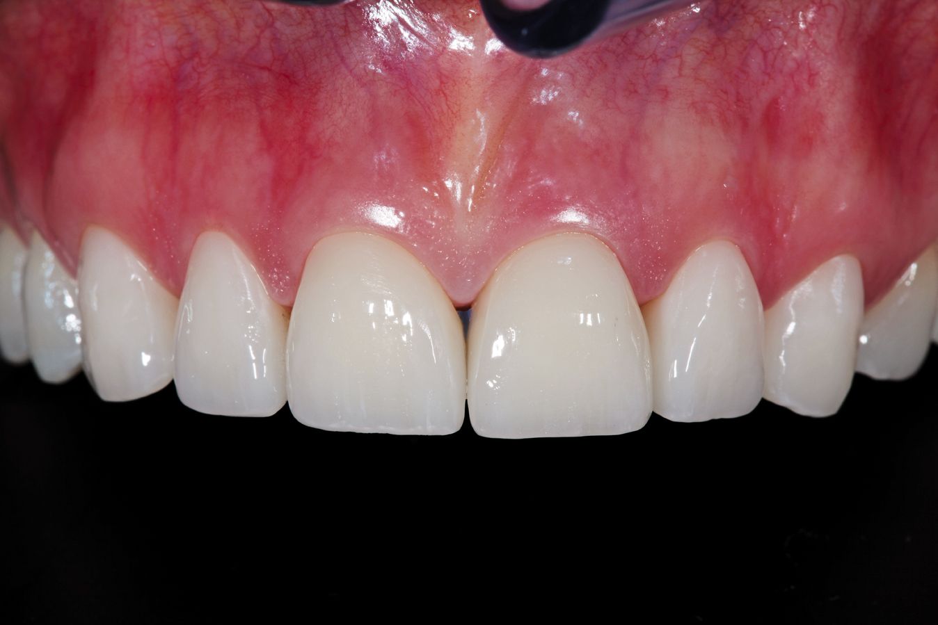
Post-op view of IPS e.max restoration
“Certainly, Ivoclar Vivadent has been the recognized leader in almost every facet of esthetic dentistry, but I feel it equally important to recognize their commitment to the functional aspects as well,” she said. “The combination of beauty and performance is truly the reason we have experienced the success of all-ceramics materials and the standards for new materials are set high as a result.”
But having said that, advances in technology and in material science in recent years have really changed the game, Warner Wojdan said.
“Both the clinical and technical segments of dentistry have experienced evolutionary changes in all-ceramic materials and applications. These changes have been driven equally by patient demand for esthetics as well as clinical demand for predictability in strength and reliability,” she said. “Monolithic posterior restorative material options such as lithium disilicate and full-contour zirconia are rapidly replacing traditional PFM as the contemporary materials of choice. Multiple strength and wear studies coupled with reliable placement options will continue to direct this shift in material selection. Without question, digital technology further elevates the efficiency and accuracy of how the restorations are processed…from impressions to manufacture of the restorations. CAD/CAM is fast becoming the communication and application processes of choice.”
Dr. Robert Winter, a prosthodontist who also is a master dental technician and a member of the Spear Faculty, backs up Warner Wojdan’s statement.

Patient’s post-op full face
“The most significant advancement in materials is the development of monolithic lithium disilicate,” Dr. Winter said. “No other material has comparable strength and esthetics, and it has demonstrated decisive long-term clinical performance. It can be utilized for monolithic posterior or anterior restorations, or layered labially for an improved esthetic outcome. Monolithic lithium disilicate possesses impressive fabrication technique versatility. Restorations can be produced through use of CAD/CAM technology in the office or laboratory, or by using a wax and press technique.”
And Ivoclar Vivadent’s acquisitions of both Wieland Dental and WPT will only add to these opportunities.
“The partnership that Ivoclar Vivadent has undertaken with Wieland Dental is a vital step in the advancement of material science and CAD/CAM technology. Wieland Dental produces one of the best translucent zirconia materials for use in fabricating full contour monolithic posterior restorations, and has highly accurate and affordable dry or dry/wet milling machines. The marriage of Ivoclar Vivadent and Wieland Dental has created a company that will dominate the market in the advancement of dental restorative materials and CAD/CAM technology,” Dr. Winter said.