Indirect restorative dentistry poses unique challenges, but a new cement may provide clinicians with a much-needed solution.

Cementation is certainly one of the obstacles that clinicians must overcome. They can prep a tooth ideally, choose an appropriate material, and impress to near perfection, yet the restoration is a success only once it’s completed. Cementation is the final piece of the puzzle for restorative success.

Bond strength comparison per Premier Dental Co.2
Over the past several years, many manufacturers have manipulated chemistry in an attempt to formulate the “perfect” cement. In addition, newer restorative materials have become useful in indirect dentistry. These newer materials pose different challenges and demands that manufacturers must take into account when developing cements.
One such material that has taken hold is the non-silica-based ceramic zirconia. In fact, in 2018, 77.6 percent of all indirect restorations were zirconia based, according to Glidewell Laboratories.1 This represents a huge shift in restorative dental materials over the past 10 to 15 years.
A commonly encountered clinical problem with the use of zirconia-based components is the cementation. Additionally, clinicians have widely debated bonding of zirconia. Because of its formulation, zirconia cannot be etched. Etching of a traditional ceramic restoration, along with the use of an Methacryloyloxydecyl Dihydrogen Phosphate- (MDP) based primer, is considered paramount to success in bonding. This is not the case with zirconia-based restorations. Additionally, many clinicians misunderstand the chemistry of zirconia and cements, raising questions over the proper way to cement zirconia and zirconia-based restorations.
About the product
Fig. 1: The preps were cleaned with Hemaseal & Cide from Advantage Dental.

Premier Dental Products is introducing a new cement in the U.S. market that they claim to be revolutionary. The company says the new cement, ZR-Cem, is “an innovative self-adhesive universal resin cement specially formulated for zirconia restorations.” The manufacturer boasts excellent bond strengths, inclusion of the MDP monomer in the chemistry, and formulation with a unique benzoyl peroxide-(BPO), amine-free initiator system that ensures long-term color stability.
Premier also notes that the product is easy to use. Pretreatment of the restoration prior to cementation is not necessary, nor are separate etching or bonding steps for the preparation. The cement also has an optimal viscosity which allows for easy dispensing, placement, and cleanup. ZR-Cem can also be stored at room temperature, with no need for refrigeration, and will still perform as intended.2
The evaluation
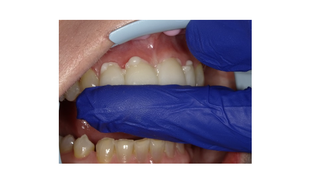
Fig. 2: The cement was placed into the restorations.

Premier reached out to Catapult Education to evaluate this cement. Catapult is a group of speakers, reviewers, and practice growth experts throughout North America dedicated to advancing dentistry through education. In addition, the group participates in product evaluations to constantly improve the quality of dentistry that clinicians provide and to give valuable feedback to manufacturers to enhance product development.
For this assessment, 17 evaluators participated. In total, the evaluators use 20 different cements on a regular basis. They were provided with samples of ZR-Cem and asked to participate in a survey. The responses were extremely favorable.
Continue reading on the next page...
Fig. 3: The restorations were seated appropriately.

All evaluators felt this new cement performed as well as, if not better than current self-adhesive resin cements used in their practices. While Premier does not offer any other definitive cements, the evaluators noted that this would not deter them from trying ZR-Cem. The latter is the result of the reputation that Premier maintains in the dental marketplace.
The survey asked evaluators about switching cements and incorporating a new cement into their practices. Although they felt that key opinion leader recommendations were important, sample testing, physical testing data, and color stability all ranked high as reasons to switch. According to the manufacturer, the bond strengths and color stability differentiate this cement from others in the same category.
Fig. 4: The cement was tack cured for 3 seconds.

The evaluators were given a list of characteristics that a cement could or should have and were asked to rank them in order of most to least important. In order of greatest importance, the evaluators noted strong, superior bond strength; ease of use/great handling; and fast and easy cleanup. Premier claims that ZR-Cem has all three of the characteristics deemed most important to the evaluators.
Conclusion
At the conclusion of the evaluation, the evaluators were asked a series of questions regarding their initial impression of ZR-Cem. The responses were overwhelmingly favorable. All evaluators felt that this cement performed as described and intended. Additionally, not one evaluator experienced a complication. Furthermore, the vast majority of evaluators felt this cement would enter the market at a great price point for the practicing clinician.
Fig. 5: Following tack curing, the cement was easily cleaned from the restorations with an explorer.

In line with the most important characteristics of a cement noted above, many of the comments from evaluators were related to ease of use/dispensing, ease of cleanup, and overall handling. Not one evaluator reported a single instance of postoperative sensitivity. All evaluators also agreed that the cement warranted regular use in the office.
The evaluators’ final question was, “Would you recommend the product to your peers or include it in your lectures?” The answer again was a resounding and unanimous yes.
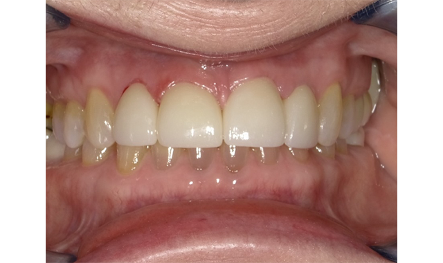
Fig. 6: Final restorations are showed immediately after cleanup.

Premier has produced a much-needed cement for the largest prescribed classification of indirect restorations in dentistry. Although the cement is marketed toward zirconia-based restorations, this is truly a universal self-adhesive resin cement that performs very well compared with the competition. As such, the evaluators took great pleasure in giving ZR-Cem the Catapult Education Vote of Confidence.
ZR-Cem

ZR-Cem is a self-adhesive universal resin cement specially formulated for zirconia restorations. The dual-cured ZR-Cem is designed to enable a strong bond to all ceramic materials, dentin, and enamel-all while reportedly ensuring superior retention and marginal integrity. This resin cement features a BPO/amine-free initiation system for lasting color stability and its MDP formula enhances adhesion and bond to zirconia substrates. ZR-Cem is available in three shades.
Premier Dental Company
888-670-6100 | premierdentalco.com
References
1. Data on file, Glidewell Dental Laboratories, Newport Beach, California. Accessed November 20, 2019.
2. ZR-Cem self-adhesive resin cement. Premier Dental Products website. premierdentalco.com/product/restorative/cement/zr-cem-self-adhesive-resin-cement/. Accessed November 25, 2019
About Catapult

Catapult is an organization that consists of more than 50 clinicians spread throughout Canada and the United States. As a company, manufacturers pay a fee for their product to be evaluated and what we deliver are truthful, independent answers from surveys that we develop with them. We have had many products that have either had to be altered before hitting the market or simply never arrived because of our openly honest evaluations. In this way, Catapult assists the manufacturer to avoid potentially releasing a faulty product, or simply a product that needs refinement. Lastly our clients are omnipresent in the industry, small to large, no favoritism, simply reviewing the latest products in our practices.
