When you put a disk (or a puck) into a milling machine, what does that piece of material represent? Do you see the raw material, ready to be turned into something amazing? Do you see a lump of porcelain? Do you see the finished product, waiting for you after the milling cycle?
When you put a disk (or a puck) into a milling machine, what does that piece of material represent? Do you see the raw material, ready to be turned into something amazing? Do you see a lump of porcelain? Do you see the finished product, waiting for you after the milling cycle?
Or do you see a disk that symbolizes an entire, all-encompassing system that makes it possible to get excellent results every time you mill?
For Lee Culp, Chief Technology Officer at MicroDental, the latter reason is why he chose Zenostar as MicroDental North Carolina’s zirconia of choice. “We chose it because it was a full system,” Culp remembers. “A lot of times, you’ll have a zirconia manufacturer who makes pucks who really doesn’t have ancillary products to support it-stains, glazes, colors and so on. We went with Zenostar and Wieland because it was a system.”
Culp’s employer, MicroDental, is a collection of labs that comprises the third-largest lab group in North America. With that kind of size, it was important to find that level of completeness when it came to a zirconia system.
But as Culp-who also has been an employee and consultant for Ivoclar Vivadent-notes, he feels the Zenostar system offers advantages for labs of any size, because it also offers support.
“[Zenostar] is one of the only complete systems around zirconia,” Culp says. “Whether I’m a small lab or a lab like ours, it’s incredibly important for us to be able to go to a company with questions. It wasn’t just the zirconia-you’ve got to look beyond the one product to the system and the company.”
Zenostar was originally designed and engineered by Wieland Dental, “a long-standing, well-respected German company,” Culp says. They developed the Zenostar system and then, several years later, were purchased by Ivoclar Viadent.

Zenostar clinical results
“There are a lot of zirconias,” Culp says. “It is kind of a ‘me too market’ out there. Zenostar is unique [because of] the background and reputation of Wieland, and of Ivoclar Vivadent. If Ivoclar thought it was good enough, then it must be.”
As CTO of a major lab group, Culp is uniquely positioned to see the advantages of a system like Zenostar’s. There are obvious factors like the translucency and the millability.
But even for a tech guy like Culp, the thing that made Zenostar such a strong choice wasn’t necessarily just the design or scientific makeup (though those factors were there). So what was the standout feature offered by Zenostar? “Trust,” Culp says, emphatically. “A lot of zirconia on the market comes from a few places, and then is just re-labeled. With Ivoclar and Wieland, I know they make it; I know they put it through severe scientific study; I know they put it through clinical studies. I know that I’m getting it from the company that made it and tested it, scientifically.”
Top photo: Zenostar Zr Translucent pure, light, medium, intense, sun and sun chroma; each shown here as a quarter blank with a full-contour molar crown and a five-unit bridge framework (photo/caption: Ivoclar Vivadent)
Esthetics matter
Of course, that trust would be misplaced if the results weren’t there. But Culp says Zenostar’s esthetics and chemical composition are top-notch.
“Zenostar is also very translucent,” he says. “As an objective, it was the top translucent zirconia we tested when we were picking in the beginning. We tested everything. We tested, we sintered-we tested translucency and esthetics, and it just happened to be Wieland who backed it up.
“The translucency and their internal [green-stage] coloring system is excellent,” Culp continues. “I’ve had excellent reports from labs who are friends of mine or our labs [at MicroDental].”
And that, of course, makes for happy clients, including those clients served by MicroDental.

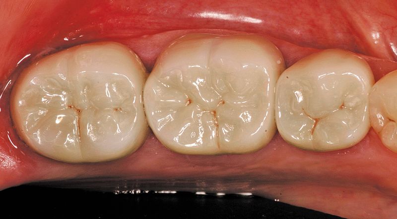
Finished Zenostar 3-unit bridge and molar
“Because of the translucency and the coloring, we’ve been getting great results,” Culp says. “Our product that we call Zeus, which is made using Zenostar, is our fastest-growing product. Our full-contour zirconia restoration is our fastest growing restoration. Full-contour restorations are getting very popular.”
So when it comes to that disc or puck in your mill, begin to discover what it can mean beyond an unformed lump of material. In Culp’s words: “Look beyond the disc.” When labs start looking for a material option, they need to consider plenty of factors, but they also need to consider if the material is part of a system and the company standing behind the product. For MicroDental, that’s what has made Zenostar the best choice.
“Obviously, look at the disc-strength, science, testing, translucency,” Culp says. “It all needs to be solid. But go beyond the product-training, support, education, beyond just the disc. People look for the cheapest disc (or the cheapest this or cheapest that), and you get exactly what you pay for. There’s nothing there if you’re looking to get better or looking for more.
“When you put Wieland together with Ivoclar Vivadent, you know this is just the start and new and better materials are going to come out,” Culp says. “Ivoclar Vivadent has the R&D to look at the products in the future that might be more translucent and even stronger. They’re not just going to sit on their laurels and just keep selling the puck.”
For more information on Zenostar from Wieland Dental/Ivoclar Vivadent:
CALL: 800-533-6825
CLICK: ivoclarvivadent.us