The Catapult Group and Key Opinion Leaders review this pulp capping material and liner.
The Catapult Group and Key Opinion Leaders review this pulp capping material and liner.
Bisco’s TheraCal LC is in a new class of materials called Resin Modified Calcium Silicates (RMCS) that has been reported to stimulate apatite formation and the formation of secondary dentin1. Technically it is an alkaline calcium silicate based on the chemistry of MTA (Mineral Trioxide Aggregate), which has a lengthy history of a favorable hard tissue promoting response.
TheraCal LC was designed to aid in the regenerative process by stimulating apatite formation and provides the early high alkalinity, pH 10-11, required for pulpal healing and reverts back to a neutral pH after several weeks. It is self-sealing, which reduces the chance of being accidentally rinsed off or blown off during air-drying. Its high calcium release is critical for the stimulation of apatite formation and secondary dentin bridge formation while providing a mechanical seal of the pulp (exposed or non-exposed) without adhesive2.
Clinically speaking
Bisco took more than 10 years to develop and test this product, so it comes with a thorough background check. TheraCal LC is efficient and simple in that there is no waiting time for chemical curing to occur because of its light cure properties. The definitive restoration can be placed immediately.
TheraCal LC is intended as a liner with a depth of cure of about 1 mm. As a liner, it insulates and protects the dental pulpal complex. It is placed from a syringe with a small tip very much like a flowable composite. It is easily placed in deep, difficult to reach areas of the prep. It also is highly radiopaque for easy radiograph visualization.
In this office, there are two main indications for TheraCal LC in restorative dentistry.
First as direct pulp capping material where it seals the wound of an exposed vital pulp and assists in providing a reparative dentinogenic response for maintaining dental pulp vitality 3,4. The second indication is as a liner over the deepest part of the prep nearest the pulp. The material acts as a barrier to protect the pulp, which may induce the formation of a new dentin bridge between the pulp and restorative material 5.
TheraCal LC certainly could work as a liner to completely cover the dentin, which would provide the maximum in pulpal and sensitivity protection. There are two reasons we may not want to cover the entire dentin with this material. First, the bond of this lining material is not as strong as that achieved from a separate dentin bonding agent, total-etch or non-etch. Secondly, this material is opaque and may show through a more translucent composite. It is important to stress that the light cure feature is convenient, but TheraCal LC is a LINER and meant to be no more than 1 mm in depth for proper curing.
The question in everyday practice becomes when do we do indirect or direct pulp capping and what can we expect as a clinical result. In our office we have found that by using TheraCal LC in very deep preparations we have seen a substantial reduction in sensitivity over merely bonding and placing composite in a deep preparation because of its insulating capacity.
After 25 direct pulp exposures in our office, we have had about 90% success (little sensitivity, no PA lesions, no need for endo after 1 year) as long as bleeding is easily controlled, the pre-op tooth was asymptomatic, and no PA lesion was present.
Catapult KOL reviews
Key Opinion Leaders in Catapult evaluated TheraCal LC very favorably, with 70% saying they would use it to replace the material they currently use for lining and pulp capping.
The group has used a wide variety of materials, including calcium hydroxide, MTA, dentin bonding agents alone, bulk fill composites, and resin modified glass ionomers. The material’s handling and delivery system was very well received with high marks for syringe dispensing and light cure ability. The visible light curing feature is outstanding and makes the material an optimal choice over calcium hydroxide, with 100% of reviewers saying this was a nice feature.
The reviewers did have one minor request - to have a slightly less viscous material that would be easier to place in smaller deep cavities. The scientific rationale for using an alkaline material was well accepted in the group. This, combined with the ease of use, makes it a preferred material for direct pulp capping.
Clinical case
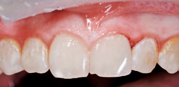
A patient with no real toothbrush experience came in as an emergency with a broken incisor (Fig. 1). See Figs. 1 - 4 in slideshow above.
The patient had no sensitivity but came in only for the esthetic deficiency and the radiograph showed no PA lesion (Fig. 2). A 330 bur was used to prepare the tooth followed by a spoon excavator to remove decay. There was a small pulp exposure and bleeding was minimal and controlled with bleach on a cotton pellet (Fig. 3).
The removal of decay is verified with a caries indicator to decrease the number of bacteria in the preparation, which may be important to “healing” a healthy exposed pulp.
A thin layer of TheraCal LC was placed directly on the pulp and onto moist dentin about 2 mm beyond the exposure and away from the enamel (Fig. 4). Light curing was completed for 20 seconds each from the facial and lingual (Fig. 5). Again, it is important to note that this is a liner and is placed directly over the pulp and onto healthy dentin about 2 mm. This will allow adequate dentin on which to bond for an overall increase in restoration strength.

All enamel surfaces were beveled with a long, irregular prep and then a celluloid strip placed (Fig. 6).

A total-etch technique was done for 15 seconds using an etch with Benzalkonium chloride (Etch-37 with BAC, Bisco), rinsed well, and followed by a universal bonding agent (All-Bond Universal, Bisco). After several coats we air thinned until there was no bonding agent movement. A high fluoride releasing giomer composite was placed (Beautifil, Shofu), cured and finished (Fig. 7).

Expectations
This is a common case in a busy office. We often see unexpected exposures or near-pulp involvement, and our goal as clinicians is to provide a service that is conservative, dependable and of great value to our patients.
In pulp capping cases like the one shown here, we expect a well healed pulp with little sensitivity with little chance for future endodontic need, as long as all decay was removed and excellent sealing and bonding is maintained.
See References on next page ...
References
1. M.G. Gandolfi, F. Siboni, P. Taddei, E. Modena, C. Prati. Apatite forming ability of TheraCal pulp capping material. J Dent Res 90(Special issue A);2521:2011.
2. M.G. Gandolfi, F. Siboni, P. Taddei, E. Modena, C. Prati. Chemical-Physical Properties of TheraCal Pulp-Capping Material. IADR abstract #2521, March 18,2011.
3. Goldberg M, Smith AJ. Cells and estracellular matrices of dentin and pulp: a biological basis for repair and tissue engineering. Crit Rev Oral Biol Med. 2004 Jan 1;15(1):13-27. 4. Modena KC, Casas-Apayco LC, Atta MT, Costa CA, Hebling J, Sipert CR, Navarro MF, Santos CF. Cytotoxicity and biocompatibility of direct and indirect pulp capping materials. J Appl Oral Sci. 2009 Nov-Dec;17(6):544-54
5. Desai S, Chandler N. Calcium hydroxidebased root canal sealers: a review. J of Endodontics. 2009, 39, 415–22.
Bisco's TheraCal LC will 'replace current lining, pulp capping material'
The Catapult Group and Key Opinion Leaders review this pulp capping material and liner. Written by: by Dr. Jack D. Griffin Jr., DMD, MAGD, AAACD, ABAD Bisco's TheraCal LC Date published: 03/15/2013 70% / 5 stars