Learn how to increase workflow and patient comfort with 3M™ Impregum™ Super Quick Polyether

Historically, polyether materials have been a bit of a tradeoff for me when deciding to use them on my patients. While they deliver the beneficial hydrophilic properties that allow for accurate impressions, the extended working time inhibited handling and wasn’t ideal for single-unit restorations or smaller cases.
Additionally, the taste and smell often associated with polyether didn’t work for many of my patients with high gag reflexes, nor those who simply didn’t want to experience the strong taste. I’ve recently been excited by a new polyether formulation that has been introduced to the market and that I find reduces the negative aspects of the tradeoff.
The new 3M™ Impregum™ Super Quick Polyether has a unique set of benefits that I haven’t experienced with any other polyether. The material’s inherent hydrophilicity promotes excellent wettability with remaining oral fluids and supports the accurate capturing of essential details within the preparation margin. This exact detail reproduction is supported by the material’s ability to flow into the sulcus. While retaining hydrophilicity, it also sets very fast - in two minutes, similar to that of many VPS materials - so it’s well-suited for crowns, implants and other smaller case procedures. I appreciate that I can take my time a bit more with it, as the flow behavior remains unchanged throughout the entire working time, which is followed by an immediate “snap set” reaction. This is different from VPS materials and helps limit inaccuracies that may result from premature setting.
Read more: A new and innovative approach to treating xerostomia

I recently completed a procedure for partial dentures on a patient with a very low tolerance for the taste and smell of impression material, as her gag reflex can be easily triggered. The Impregum Super Quick polyether was both a good fit for her and a material I find produces accurate, reliable impressioning results.
The case
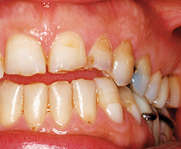
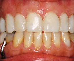
The patient was a healthy, 49-year-old female with no medical or dental contraindications to treatment. Initial examination of her current state showed extensive wear on her anterior teeth due to a lack of stable posterior occlusion. Her request was for a partial denture and composite restorations as an interim until she can afford to do more extensive crown and bridge work. This patient had a history of gagging during impressions, which became evident when taking diagnostic models.


Fig. 1 Fig. 2
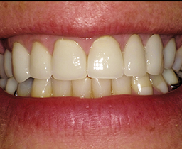
After the partial denture was placed and the patient expressed that she was quite comfortable with the partial denture, she took out a mortgage on her home in order to restore her remaining teeth. Due to her limited budget, the partial denture was used to stabilize and open her bite, and her treatment plan consisted of translucent 3M™ Lava™ zirconia crowns on the anterior teeth, with monolithic zirconia for her posterior occlusion. She understood the limitations of not placing implants on the mandibular teeth, although she plans to complete this treatment in the future.
Continue reading on page 2...
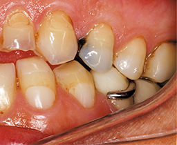
Preparation area
An implant was placed in the area of tooth #5, and following periodontal treatment and clearance for further treatment. Teeth #3, 4, 6, 7, 8, 9, 10, 11 and 12 were prepared for zirconia crowns.


Fig. 3 Fig. 4
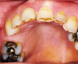
Impressioning
Impressions were taken using 3M™ Impregum™ Super Quick Polyether due to the patient’s severe gag response. This material has a two-minute setting time and was tolerated well by the patient. Due to the number of units being impressed, it was essential that my assistant and I be well coordinated during this procedure. Its inherent hydrophilicity resulted in an accurate impression, and contrasting colors offer good readability.
Related reading: How to achieve esthetic restorations with direct composites


Fig. 5 Fig. 6
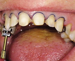
Material
Temporaries were fabricated using 3M™ Protemp™ A1 shade. 3M™ Lava™ Plus High Translucency Zirconia was used for all teeth with the exception of tooth #3, where monolithic zirconia was used in anticipation of eventually restoring all of the posterior teeth.


Fig. 7 Fig. 8
Crowns
Teeth were luted in using 3M™ RelyX™ Unicem Self-Adhesive Universal Resin Cement. Excess cement was removed and occlusion checked. The patient was extremely happy with the final result.


Fig. 9 Fig. 10
Whitening
Following delivery of the crowns, the patient’s lower teeth were whitened using the Philips Zoom in-office system, and she was given a lower take-home tray for completion of whitening and future touchups.