Murray Kaizer Dental Laboratory was incorporated in 1962 by Murray Kaizer. The core of the business is in removables, but they do adjunct crown and bridge work, primarily in conjunction with removables.
They offer a full complement of CAD bars, all removable, along with fixed removables-from the simplest appliance to the most sophisticated hybrid. Murray Kaizer works closely with four of the leading implant companies and handles approximately 500 private accounts and two dental schools across the United States. The lab prides itself on being painstaking in its commitment to doing the work correctly. They seek to have a dialogue with the doctor rather than risking a failed result. The lab does about 10,000 cases per year and has 16 technical people, seven CDTs-one in partials and six in full dentures-and then another eight people in more support/admin roles.
Understanding-and flourishing in-today's digital workflow
The Attachment Partner
Rhein83 specializes in the designing and manufacturing of castable spherical attachments and implant overdenture abutments with a connecting nylon female component processed into the removable prosthetic device. Mr. Ezio Nardi, founder of the company, pioneered this simple concept of ball and cap connectors. Over the past 30 years, this technology has become a go-to solution for RPDs and overdenture prosthetic design, improving superior oral health, functionality, esthetics and patient comfort. Today, Rhein83 is recognized worldwide for its technical expertise in spherical and low profile dental attachments, superstructure frame designs and direct implant abutments with universal compatibility.

The Equator OT system from Rhein83 USA
The Results
Murray Kaizer Dental Laboratory has been a long-time user of Rhein83 products. And not only has it been a long-time user-it’s also been a happy user. “We’ve used almost every Rhein83 product they’ve made over the years,” says Jerry Kaizer, CDT, owner of Murray Kaizer Dental Lab and son of its founder. “We’ve used them since the mid-80s. We’ve had great results. Rhein83 works better than many of the other systems.”
Read more about Rhein83's approach to attachments
Kaizer has been impressed with solutions offered by Rhein83, such as the OT Equator system. The OT Equator system is a line of low profile castable, threaded components for bars and direct implant overdenture attachments, engineered to be the smallest attachment system on the market. “There’s nothing that’s 100 percent in this world, but in terms of strength and being forgiving, [the OT Equator system] seems to offer some advantages over some of its competitors,” Kaizer notes. “Most of the attachments that are currently made have a titanium nitride coating on them. It gives resistance but gives the doctor a visual cue-if he sees shiny spots on any of the male components in the mouth, he should know something’s wrong. So with the Equator attachments, we have seen the least amount of wear in that context. It’s the most forgiving system that we have worked with out of all of them. Additionally, we’ve done no less than 25 bars with Equators on them, and they’ve all been pretty much problem-free.”
Next page: How Rhein83 can prevent total implant losses ...
For Kaizer, one of the biggest attractions with Rhein83 isn’t necessarily with the products it makes-though those are great too. Kaizer says he is impressed by a specific service offered that sets Rhein83 apart from other options. “The one thing that Rhein83 has going for it that no other company has going for it: It will make any abutment for us up to 7 mm in cuff height for any manufacturer in the world as long as we can provide them with a thread pattern,” Kaizer says. “If I send a healing cap to Italy with a cuff height, I get an abutment. Whatever I want on top, they make for me. That has made it a much easier system to work with.”
Related: Using Rhein83's OT Equator in a technique
Todd Mercier, chief technology officer at Murray Kaizer Dental Laboratory, says recently, Rhein83 performed that exact service for them, helping them complete a particularly tricky case. “We just did a case this year, and a patient had four locators on a mandibular case,” he remembers. “The ones all the way back in the molar area were 6 mm diameter implants, but the company that made those only supplies abutments for a locator with a 4 mm abutment. When you looked at the X-ray, you saw a 4 mm abutment on a 6 mm implant, which was terrible for the patient. I called Rhein83, told them the cuff height and implant size and got back a custom abutment. Normally, that case would have lead to an implant having to be removed.

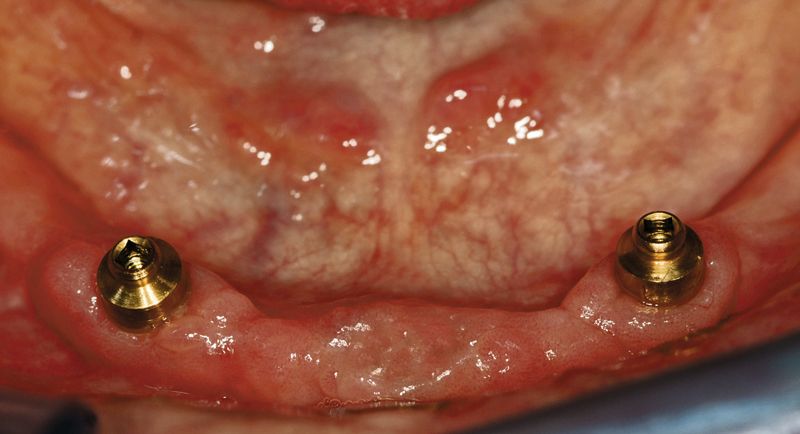
OT Equator attachments in the mouth
“Another nice feature is that Rhein83 makes a lot of components to rehabilitate cases,” Mercier continues. “There have been instances we’ve had an old CAD or cast bar and all of the old attachments were broken or worn out, and I’ve gotten attachments back from Rhein83 with a threaded sleeve for bonding so you can screw different sized Rhein83 balls into it and you can screw Equator into it. So you can take where the old attachment was threaded, ream it out, put in the pieces, cement it and you have a bar with brand new attachments.”
“There are a lot of old implants out there, and they need service from time to time, and they need attention,” Kaizer adds. “I’ve known [the people at Rhein83] for 35 years, and they’re some of the most customer-oriented people I’ve ever met. If there’s a problem they can take care of, they will, and if they can’t, they’ll direct you to somewhere that can.”
Both Kaizer and Mercier are also filled with praise for the customer service and support provided by Rhein83-both stateside and from the headquarters in Bolgona, Italy. “They’re exceptional in terms of support,” Kaizer says. “They’ve actually helped us get a little smarter in what we do. They manufacture a cuff height tool-most dentists use a perio probe and it’s a guess, at best, but this tool is color-coded, and you hold it on there, and you place it on the top shoulder of the implant, and you screw it down until it touches tissue, and you use the color coding to see what the measurement is. The other suggestion they gave us is never take an order for an implant abutment over the phone but to always tell the doctor to send you the chart and sheets so you know you’re ordering the right part and it minimizes the risk you’ll take. It’s been exceptional. With other companies, sometimes you get a customer service person, and they’re wonderful, but they can’t answer your question. But with Rhein83, there’s someone where the buck stops, and if he can’t help you, then the product is not made. He’s got the staff over there to help him. These guys are making it and selling it-not just selling something someone else made. It’s like having a valuable resource you know is always available to you.”
10 implant trends you need to know
It’s high praise, but it’s echoed by Mercier. “ Every time I’ve worked with them, it’s always pleasant and positive,” he notes. “Most doctors want everything done as quickly as possible. But when we have situations where the abutments aren’t available or they’re just not made anymore, I tell them I have a resource in Rhein83 and give them the specs, and within two weeks, they’ll have a custom-made abutment that fits perfectly. They’re willing to wait that extra time and know it’s going to work.”
“I’ve gone so far as to tell a doctor and say, ‘if you don’t like [the Rhein83 attachment system], we’ll eat the cost,’” Kaizer says with a laugh. “I haven’t eaten a case yet! I want my doctors to have a different tool in their toolbox. You can’t do projects with just two tools. If I can help an account of ours broaden its toolbox, that’s a home run, and that’s what Rhein83 has allowed us to do.”
This article originally appeared in the May 2015 issue of Dental Lab Products. For more great insights, make sure you're subscribed to DLP by clicking here: http://bit.ly/18S8j4i