As modern-day dentists, we are faced with a complex set of treatment decisions, compelling us to continually weigh the available therapeutic choices as we push toward optimal patient care combined with efficient and profitable clinical practices.
As modern-day dentists, we are faced with a complex set of treatment decisions, compelling us to continually weigh the available therapeutic choices as we push toward optimal patient care combined with efficient and profitable clinical practices.
Endodontic treatment is one area of dentistry in which the options are plentiful and varied, often leading us to ponder how best to provide conservative, predictable root canal treatment that offers long-term solutions.
To achieve this goal, we must begin with confidence in our instrument system and technique. The right mix yields a therapy based on the ideal combination of safety, simplicity and sophistication.
In selecting a treatment system, most clinicians aim to find reliable instruments that offer comfortable handling, perform appropriately, and, ideally, expedite treatment. The following three cases demonstrate the treatment of common endodontic problems using Komet USA’s new, two-file F360™ NiTi endodontic file system.
The instruments in the system feature a thin-core, .04 taper, S-curve design that provides outstanding cutting efficiency while respecting natural root canal morphology. Although most cases can be completed using the .04- taper, sizes 25 and 35 files, the system also accommodates larger canals by offering additional .04-taper files in sizes 45 and 55.
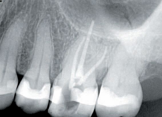
Case one: Right maxillary canine
The patient presented with acute pain and reported a feeling of swelling in his face. Tooth No. 6 was sensitive to percussion, but it did not demonstrate sensitivity to air, sweets or temperature stimuli.
Following a discussion of the treatment options, the choice was made to perform endodontic therapy on the tooth to eliminate the pain. The prescription for definitive treatment was a post and core with a full-coverage IPS e.max® (Ivoclar Vivadent) CEREC® crown.
Case two: Maxillary left second bicuspid
The patient presented with temperature sensitivity and pain during mastication. The treatment plan consisted of endodontic therapy on tooth No. 13 to be followed up with post and core treatment and an IPS e.max® CEREC® crown.

Case three: Maxillary left first molar
Having received treatment two weeks earlier for caries control and replacement of defective amalgam restorations, the patient presented with an inability to tolerate hot or cold temperatures. In addition, he was unable to chew any type of food. Following consultation, the patient accepted the treatment plan of endodontic therapy to be followed up with post and core and IPS e.max® CEREC® fullcrown coverage.
Closing thought
Typical of the types of endodontic cases seen in most dental offices, these cases each presented differently, yet they successfully responded to standard F360™ endodontic therapy.
The two-file technique that follows access opening and coronal enlargement can be used for up to 80 percent of the root canal therapies most dentists prescribe, thus making standard endodontic treatment predictable, efficient and straightforward.
This translates into significant time savings, which in turn leads to increased profitability in the dental practice.