Dental Lab Products explores the products, solutions and innovations that will be shown at the 2016 Chicago dental tradeshows, including LMT Lab Day, Cal-Lab, Spectrum Day and the Chicago Midwinter Meeting.
To bring you all of the innovations you need to know about from this year’s Chicago events, we worked with many of the leading innovators in the dental industry to find out what they’re showing off. In the following pages, you’ll see a snapshot of some of these game-changing new options.
Editor's note: Click here to see what solutions we showcased in Part 1,Part 2 and Part 3.
If you see something you like, and you’re going to Chicago, simply find the company’s booth at one of the shows and let them know you want more information! If you’re not going to Chicago, no problem; simply pick up the phone and call the number under the product. We’re also updating our site during the shows so you won’t miss a thing. Just visit dlpmagazine.com and look for our Chicago coverage!
Whether you’re headed to one of the shows or not, you’re likely to be amazed at what new possibilities lie just around the corner. Click the "next" button to get started.



Sagemax’s latest product is engineered to revolutionize how you think of anterior restorations. NexxZr anterior zirconia is specifically designed for the anterior region. Its high natural translucency and high strength (more than 1000 MPa) are said to mean it can effectively be used for full-contour single units and bridges.
Sagemax
877-386-0389 | sagemax-dental.com



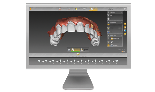
inLab® Software 15 is designed to provide freedom of design and materials, whether creating single restorations, removable partial frameworks or screw-retained bridges and bars. It is now possible to design and mill implant surgical guides and screw-retained bridges with or without soft tissue. Additionally, model-free dentistry is reportedly even easier with a new triple-tray scan mode for the inEos® X5. Along with the integration of dental databases, one of the newest features of the software is the jaw-oriented biogeneric reconstruction option that uses the entire occlusal surface of the jaw, as well as the patient’s individual occlusal curves, to create beautiful initial proposals. The software processes files from all current digital impression services, including Sirona Connect, iTero and 3Shape.
Sirona
800-659-5977 | sironausa.com



Smile Line introduces “FlexMount,” a flexible rubber connector for combining the handle and the tool. The FlexMount is designed to allow users to apply a very gentle snap to the brush tip. A gentle snap reportedly accelerates the required moisture from the brush belly toward the point. Utilizing this method, the brush tip automatically returns to its sharpest shape while receiving ideal moisture. Also available is the FlexMount with the zirconia spatula. It works as a shock absorber and is said to provide maximum comfort and feeling during mixing of porcelain or stains. The connector is compatible with any of the Smile Line black handle instrument line.
Smile Line USA
877-755-6868 | smilelineusa.com



The new Stern SNAP angled overdenture implant abutments are designed to work with many popular implant systems. The two-piece design reportedly allows the SNAP angled abutment to perform true angle correction of up to 20° on divergent implants without the need to rely on a hinging attachment. The SNAP is also available in a straight version for implants within 10° of parallel. The system features a new maximum durability cap (available at 1 lb., 2 lbs. and 3 lbs.) that does not require a housing, making for a low profile of only 2.5 mm and requiring less space in the denture.
Sterngold
800-243-9942 | sterngold.com



The Objet30 Dental Prime is said to be engineered to offer the precision of digital dentistry at an affordable price. Users can 3D print a variety of dental applications, eliminating the need to outsource model production. The Objet30 Dental Prime is said to offer digital dentistry benefits in a compact desktop size designed to fit individual labs’ needs. Labs are said to be able to expand their capabilities with the ability to print crown and bridge stone models, casting patterns for removable partial dentures, diagnostic wax-ups and surgical guides and increase productivity and capacity by creating reliably consistent and accurate models.
Stratasys
800-801-6491 | stratasysdental.com



Strategy Milling added direct-milled noble PFM substructures to its direct-milled yellow gold restorations this year. Strategy manufactures virtually porosity-free pucks of dental alloy, precisely cutting parts from them on Roeders RXD5 mills. The result is said to be a premium product that no other manufacturing method compares to. Strategy Milling’s process is engineered to produce pristine margins, clean interior of copings and highly detailed copies of designs.
Strategy Milling
724-266-3269 | strategymilling.com



Luminesse ML is said to be crafted using four layers of high-quality translucent material to form a blended gradient of color. In one simple step, the technician can produce highly characterized teeth that look natural and esthetic while saving the time and expense that goes along with manual coloring. With an 1100 MPa strength, this material is designed to be a great choice for a wide range of restorative plans.
Talladium
800-221-6449 | talladium.com



Valplast released its new r.Pod™ Desktop 3D printer. The r.Pod is capable of printing thermoplastic resins for the construction of digital models, custom trays and soft-tissue implant models. The printer is also capable of printing original Valplast® nylon resin for flexible partial dentures. Valplast dentures that are printed with the r.Pod are compatible with custom-designed denture teeth that may be milled or printed. Valplast will display its digital solutions at LMT Lab Day Chicago.
Valplast
516-442-3923 | valplast.com



VITAPAN PLUS®, VITA LINGOFORM® and VITA PHYSIODENS® are said to be engineered to provide excellent esthetics and strength for removable technicians, allowing them to create beautiful, long-lasting dentures. VITA reportedly offers everything dental technicians need, including a wide range of shapes and shades suitable for all indications, such as full and partial dentures, combination cases, implants, temporary dentures and all occlusal setups.
VITA North America
800-828-3839 | vitanorthamerica.com/dentures



Vericore discs are available in high-translucency zirconia, wax and PMMA. Vericore zirconia discs range from high-translucency to extreme translucency and from unshaded to individual and group shades. All are available in various thicknesses, from 10 mm to 25 mm. Vericore PMMA is available in three burnout pattern colors and gradient temporary discs. Popular Whip Mix Vericore waxes are available in three colors for chairside presentation and burnout. Vericore Discs are available from your dental supply dealer or Whip Mix .
Whip Mix
800-626-5651 | whipmix.com



The Digital Press Design software is designed to further increase the efficiency of IPS e.max Press Multi. The exclusive Digital Press Design add-on software module is for the standard Dental Designer 2016 software from 3Shape. The software is designed to automatically integrate the IPS e.max Press multi sprues with the designed wax pattern. Subsequently, the user can manually adjust the sprue position to see a real-time visualization of the effects on the color gradient of the final pressed restoration. The digitally designed sprued wax patterns are then milled from the new ProArt® Wax discs for Zenotec®.
Wieland Dental
800-533-6825 | shopivoclarvivadent.com.



BioHPP® from BREDENT GMBH is a PEEK-based, ceramic-reinforced high-performance polymer. The material reportedly demonstrates long-term stability, low water retention and versatility. Thanks to its physiological elasticity, BioHPP® is said to be particularly good as framework material for small and big high-value implant cases. Visit XPDent at its peninsula booth at Lab Day Chicago, talk with its professional dental technicians and receive up to a 25 percent discount on any BioHPP® products by ordering at the booth.
XPDent
877-328-3965 | xpdent.com


Zirlux® 16+ is said to offer dental labs a complete zirconia solution by combining translucency and flexural strength to complement the skills of a dental technician. Available in both preshaded and white discs, dental laboratories reportedly now have a choice of solutions for producing highly esthetic, strong and consistent restorations. Labs can combine white discs with the Zirlux® coloring liquids to achieve all 16 VITA classical shades and finish with seven modifier pastes to achieve excellent esthetics. Indicated for a variety of uses, Zirlux 16+ exhibits 44 percent translucency, has an flexural strength of 1200 MPa and is designed to work in a variety of leading milling machines.
Zahn Dental
800-496-9500 | zahndental.com