Here are the most popular how-to articles from this year.
Here at Dental Products Report, clinical techniques and how-to articles are what we do best. They’re consistently the most-read articles among our readers - and it’s no surprise why. These articles showcase how various products can be used in actual real-life situations.

This year, our readers were interested in learning more about creating esthetic restorations, simplifying overdenture treatment, utilizing glass fiber post systems, using universal nano-hybrid composites and creating smooth acrylic surfaces for restoration longevity.
Trending article: 3 ways glass ionomers are changing restorative dentistry
We hope these articles give you the knowledge you need to provide even better patient care in the new year. We’re looking forward to bringing you more techniques in 2019.
Click through the slides to see the top five how-to articles of 2018.


How to create more esthetic restorations
Placing direct restoratives on patients is a very common procedure in most general dental practices. While esthetics are important when utilizing composite restoratives, practitioners are also concerned about post-op sensitivity and longevity of the restorations.
To read the full how-to, click here.



How to simplify overdenture treatment for today’s patients
As the population range from 50 to 70 (Baby Boomers) years of age increases, the number of edentulous and partially edentulous patients will increase, since tooth loss and age are related. There are several reasons for the necessity of needing extractions leading to full-mouth edentulation, including neglect, severe wear, rampant caries, medications and poor health.
Click here to read the full technique.



How to use a novel glass fiber post system for tricky restorations
An endodontically-treated molar with extensive crown destruction is a quite common clinical condition that demands restoration.
Depending on the situation, an endocrown or a post and core along with full-coronal restoration can be used to restore the tooth. The endocrown can be fabricated when the pulp chamber still remains,1 as it provides retention for the crown by itself.
To read the full how-to, click here.



How to use a universal nano-hybrid composite to restore a reattached tooth fragment
It is not uncommon for dentists to encounter young patients who present with Class IV anterior tooth fractures that result from a traumatic injury. In such instances, when the need for minimally invasive and conservative treatments are equally important to durability and esthetics, the use of direct restoratives and adhesive techniques can help to ensure success, rather than compromises.



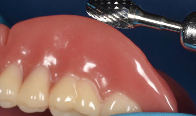
How to create smooth acrylic surfaces for restoration longevity
When making chairside adjustments to provisionals and removable dental appliances, the surface smoothness of acrylic-resin denture material is an often overlooked or undervalued component of the procedure. The polished surface of the material directly affects the health of surrounding oral tissue; rough, unpolished appliance surfaces encourage colonization of bacteria as well as plaque accumulation, while smooth surfaces are easier to clean and subsequently demonstrate lower levels of bacterial adherence. Achieving a smooth surface is a prerequisite to ensuring a restoration’s longevity in the mouth, which further translates into decreased periodontal complications and caries susceptibility.
To read the full how-to, click here.
