Using Komet USA’s Denture Contouring System for acrylic contouring without the mess of traditional methods.

When making chairside adjustments to provisionals and removable dental appliances, the surface smoothness of acrylic-resin denture material is an often overlooked or undervalued component of the procedure. The polished surface of the material directly affects the health of surrounding oral tissue; rough, unpolished appliance surfaces encourage colonization of bacteria as well as plaque accumulation, while smooth surfaces are easier to clean and subsequently demonstrate lower levels of bacterial adherence. Achieving a smooth surface is a prerequisite to ensuring a restoration’s longevity in the mouth, which further translates into decreased periodontal complications and caries susceptibility.
Research has pinpointed the threshold roughness of dental materials to be 0.2µm1, meaning that anything rougher than 0.2µm shows a dramatic increase in bacterial colonization and subsequent plaque formation. When materials are polished to within 0.2µm of surface roughness, plaque accumulation is significantly reduced. In fact, surface quality or roughness depends more on the finishing and polishing procedures than on the acrylic-resin material used.2
The traditional method for polishing acrylic is to utilize a lathe outfitted with a wet cotton wheel and a pumice slurry. Although this method is effective, lathes are not frequently found in dental practices. Instead, doctors often turn to slow-speed, straight-nose cones paired with cotton wheels and pumice cups. This option, however, also has its drawbacks, the most prominent being the mess created by particles of pumice that tend to fly off the handpiece and land outside the work environment. Without an efficient, immediately accessible method to polish acrylic provisionals or denture bases, many dentists forego this important procedure. Omitting this step results in a provisional or denture base that has a high surface roughness and increased susceptibility to plaque retention, exposing the patient to unnecessary complications.
Read more: How to simplify interproximal reduction


Fig. 1 Fig. 2
Komet USA’s Denture Contouring System (TD2552A) contains a selection of polishing buffs and cutters specially designed for acrylic contouring without the mess of traditional methods (Figs. 1-3). The buffs are available in coarse (9485C), medium (9485M) and fine (9485F) versions for initial polishing, polishing and high-shine polishing, respectively.


Fig. 3 Fig. 4
A new polisher, the 9486 silicon-impregnated, nonwoven abrasive buff (Fig. 4) has been recently added to the kit and is especially effective on bite splints and bruxism appliances. Also included are the K251ACR and K79GSQ ceramic cutters (Figs. 5-6). With its ovoid shape, the H251E carbide is excellent option as well (Fig. 7). The system offers a range of options to address all acrylic-polishing needs, and it eliminates the need for an extra piece of machinery in the office. The resultant smooth surfaces minimize plaque adhesion and its sequelae.


Fig. 5 Fig. 6
The following illustrates a simple contouring and polishing procedure to modify a denture base.
Up next: The case presentation...
Case presentation
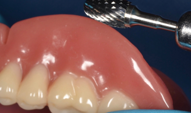
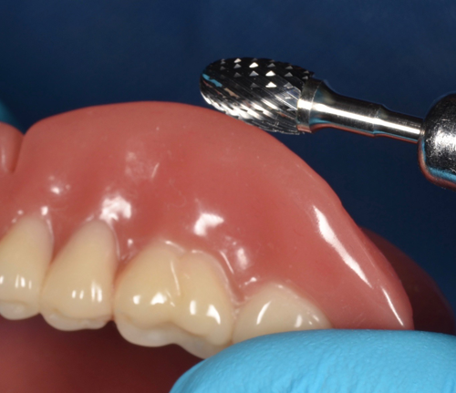
Use the H251E.HP.060 carbide to roughly trim the prosthesis (Fig. 8). The ovoid shape of the bur facilitates precise modifications of the denture base.


Fig. 7 Fig. 8
Once the denture base has been sufficiently trimmed, pre-polish the base with the 9485C coarse abrasive buff (Fig. 9). This step removes any excess acrylic that may still be on the denture base following gross adjustment.
Trending article: Top 10 worst states to be a dentist
Polish the base with the 9485M medium abrasive buff (Fig. 10).


Fig. 9 Fig. 10
Complete the polishing procedure with the 9485F fine abrasive buff (Fig. 11). The final result is a smooth, high-shine denture base that is easy to clean and minimizes bacterial colonization and plaque adhesion.

Fig. 11
Conclusion
Acrylic polishing is a necessary but often overlooked procedure. Komet USA’s Denture Contouring System makes adjusting and polishing provisionals and denture bases easy and efficient.
Resources
1. Bollen CM, Lambrechts P, Quirynen M. Comparison of surface roughness of oral hard materials to the threshold surface roughness for bacterial plaque retention: a review of the literature. Dent Mater. 1997 Jul;13(4):258-Â69.
2. Kuhar M, Funduk N. Effects of polishing techniques on the surface roughness of acrylic denture base resins. J Prosthet Dent. 2005 Jan;93(1):76-Â85.