According to the American Academy of Implant Dentistry (AAID), there are more than 30 million Americans that are missing all their teeth in one or both of their jaws. In a rapidly growing market where fully edentulous patients are actively seeking out new treatment options online, the demand for implant-supported rehabilitation is at an all-time high. How will you support referring clinicians while maintaining the predictable, reliable and esthetic outcomes expected of you?
The Straumann® Screw-Retained Abutment portfolio and Straumann® CARES® Fixed Bars deliver a simple solution with excellent esthetics and dependable longevity. More than a treatment concept, Straumann’s portfolio combines several treatment steps to reduce complexity without compromising the outcome. From treatment planning and implant placement to final, customized restorations, the entire process is seamless for the patient.

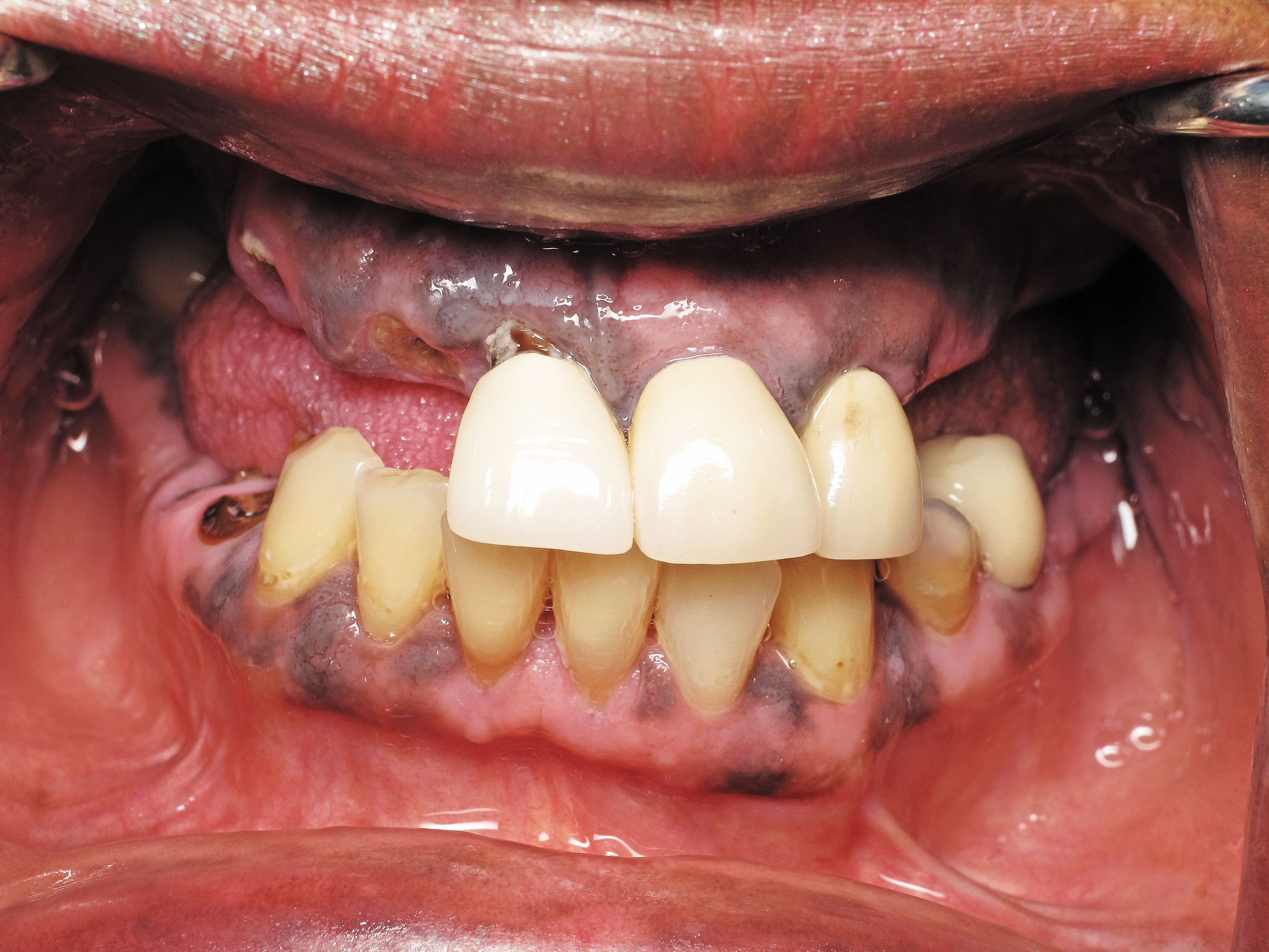
Patient situation at time of implant surgery. After consultation, patient elected for dual arch replacement therapy. Remaining teeth in both jaws to be extracted and restored with implant-supported dentures.
Straumann Screw-Retained Abutment
The new Straumann® Screw-retained Abutment for Straumann® Bone Level Implants provides a wide range of prosthetic options for screw-retained restorations.
Sleek Profile and a Simplified Portfolio:
» Designed to provide optimal tissue management
» Available for every restorative platform in the Bone Level Implant line
» Angled abutments offer a choice of 17° and 30° with gingival heights of 2.5 mm and 4 mm
» Straight abutments offer a choice of 1 mm, 2.5 mm and 4 mm gingiva heights
» CrossFit® connection provides precise guidance at assembly, ensuring the proper seating of the abutment with the sealed connection featuring a deep implant-abutment engagement

Block out technique over temporary copings.
Straumann CARES Fixed Bars
Straumann® delivers new CARES® Basic and Advanced Fixed Bar Solutions for fully edentulous patients that provide individual customization and treatment flexibility. Features include:
» Individual customization on implant level and abutment level restorations
» Basic Fixed Bar is cost-effective alternative to a ceramic veneered bridge
» Ideal fixed solution for ongoing tissue management
» Sandblasted service; wrapped in acrylic for reline if desired
» Advanced Fixed Bar is partially wrapped in acrylic; intended for final tissue situations
» Accessibility through in-lab scanners, CARES Connectivity App for Dental Wings or 3M®, or CARES Scan & Shape Service
Next page: how Straumann products are a perfect fit for all needs.
“The system as it is right now works very, very well and I don’t think any technician that is familiar with these systems or this type of process would have any difficulty implementing it.”-Darrel Clark, CDT, Clark Implant Solutions
The dental lab plays an integral role in the success of any edentulous case. Collaboration begins with conventional 2D imagery or 3D implant planning via coDiagnostiX™. Through the coDiagnostiX software, a laboratory technician can select and place virtual abutment options through the overlaid diagnostic prosthesis so the desired result-a beautiful, long-lasting smile for the patient-can be visualized and planned prior to implant placement. Any adjustments in selected components can be made in conjunction with the surgeon and restorative doctor. This team approach allows the laboratory technician to fabricate a temporary restoration so the patient may be able to leave the day of implant placement surgery with a brand-new smile.

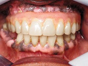
Interim maxillary denture, post-operative, facial view.
More than a restoration. A perfect fit for all needs.
Following placement of Straumann’s Roxolid® Bone Level Implants, the new Straumann® Screw-Retained Abutments for Straumann® Bone Level Implants provide a wide range of prosthetic options for screw-retained restorations. Various angulations and gingival heights offer technicians the flexibility to create individualized patient solutions, including those involving posterior-tilted implants.
Creation of a milled bar in Straumann CARES software.
William F. Runyon, Jr., DDS, of Fort Worth Oral Surgery along with his laboratory partner Darrel Clark, CDT, of Clark Implant Solutions are early adopters of the new fixed edentulous solutions from Straumann. Both treatment team members are pleased with the results. Says Dr. Runyon: “This new screw-retained abutment, with multiple angle options and gingival heights, allows us to offer a Straumann product from top to bottom-from the implant, abutment, the connections, all the prosthetics, to include the bar. It’s going to be a great option for our patients.”
Next page: Looking at how CARES Bars are an excellent solution in challenging cases.
An excellent solution in challenging cases.
A diversified CARES® Bars platform offers fixed bar solutions for edentulous patients. The CARES® Basic Fixed Bar is a cost-effective solution that comes sandblasted and ready to be wrapped in acrylic, allowing for easy maintenance of the denture. The abutment-level connection is convenient for restoring cases with strongly diverging implants, as well as mixed abutment and implant-level restorations. A secondary abutment is not necessary. A new CARES® Advanced Fixed Bar for partially wrapped acrylics is also available.
After completing his first cases, Darrel Clark, CDT, Clark Implant Solutions, remarked that the components work well together-“everything went pretty much seamlessly with no issues”-and he was extremely pleased with the end result. Straumann’s open CAD/CAM platform accommodates every laboratory looking to provide bar solutions to their clients.

Image of CARES® Fixed Bar seated on the mandibular model.
Through the Straumann in-lab scanners or the laboratory-dedicated Scan & Shape Service, every dental lab can deliver CARES SRBB solutions for their referring clinicians.
Proper diagnosis and treatment planning, as well as an evidenced-based implant/prosthetic design, will help to result in a successful treatment. Together, these factors can significantly improve the patient’s quality of life.2 Remarks Dr. Runyon: “I think Straumann has brought to the market a whole new product line that is going to be extremely viable to allow us to treat a fixed hybrid solution.”

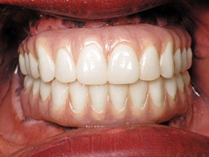
Patient post-treatment with final implant-supported dentures on both jaws.
Today’s dental patients desire an uncompromising quality of life that combines long-lasting functionality with a beautiful smile. Implant-supported dentures give patients back their confidence and let them eat, chew, talk and laugh naturally once again. Dr. Runyon believes the integrated solution from root to tooth, from treatment planning to the final restoration, is a step forward for fixed edentulous cases. “I feel very confident that with my lab support, we can transition these patients from a very compromised dental situation to an implant-supported fixed hybrid that they will be able to function with for years to come, with great success and comfort.”
1 http://www.aaid.com/about/Press_Room/Dental_Implants_FAQ.html. Dental Implants Facts and Figures. “More than 30 million Americans are missing all their teeth in one or both jaws.” Accessed May 19, 2014
2 D. Wismeijer, P. Casentini, G. Gallucci, M. Chiapasco. Loading protocols in Implant Dentistry-Edentulous Patients. Patient Consideration. ITI Treatment Guide. 2010; 4:223
This article originally appeared in the November 2014 Dental Lab Products Buyer's Guide, in a special advertising section. For articles on other great lab products in action, click here to subscribe to DLP's newsletter: bit.ly/dentallabenews.