"The resulting translucencies, opacities and subtle chroma value of TPH Spectra composite were excellent and, best of all, the patient loved the result and could not believe how little time the entire procedure took to complete.”
"The resulting translucencies, opacities and subtle chroma value of TPH Spectra composite were excellent and, best of all, the patient loved the result and could not believe how little time the entire procedure took to complete.”
In most practices, composite is commonly used as a restorative material in both anterior and posterior restorations. In a recent survey by the Catapult Group, more than 75% of dentists polled use three or more different composite systems to satisfy different challenges posed when placing these restorations. Currently, different composite shades have been necessary to provide a lifelike optical appearance of natural tooth structure to create a structurally sound restoration for functional stability and a pleasing esthetic result. This article will introduce Dentsply Caulk’s new TPH Spectra Universal composite through Catapult Group’s evaluation and a photographed case study.
Techniques for composite placement differ when trying to create a lifelike appearance. The goal of any technique is to enhance the composite’s optics so the operator can create opacities, translucencies, or subtle chroma and value differences within the enamel.
Layering technique
The layering technique is the most commonly used technique to achieve this result. While many have mastered this technique, it remains a difficult, time consuming, and complex technique that requires both an artistic eye, a large amount of composite inventory, and a knowledge of the shades used to create a lifelike result. Ironically, the advancements and sophistication in composite technology, designed to give better/easier results, have instead made it more difficult, in many instances, for the clinician to make the correct shade decisions. This leads to operators giving up on the layering technique, opting instead for materials that are “simpler” or more “chameleon-like."
Closing the gaps
Dentsply Caulk’s new TPH Spectra™ universal composite builds on the trusted TPH brand that has been the gold standard in composites for the last 20 years. TPH Spectra™ is the only composite offered in two viscosities: high viscosity and low viscosity, depending on your preference for handling. TPH Spectra™ also incorporates a unique optic system that allows for simplified shading by providing seven of the most essential tooth shades that cover the entire VITA spectrum. TPH Spectra™ also offers a unique shade guide that leads the clinician to the correct composite shade. All of this helps save time when placing restorations.
Putting this new composite to the test, a 35-year-old male presented with spaces between tooth Nos. 7, 8 and 9 (Fig. 1).

Figure 1
He wanted the spaces closed. Because he speaks in front of large audiences, a natural cosmetic result was important to him. A factor to consider when selecting a shade and technique is the varying degree of translucency and opacity within his teeth. When taking the shade with the TPH Spectra™ shade guide (Fig. 4), we noted both shades B1 and A1 were very close to the shade of the tooth (Figs. 2 and 3). The simplicity of the system allows the clinician to pick one of the shades from the supplied shade matching guide (Fig 5). In this case, shade A1 was selected because the overall appearance of the tooth matched the A1 tab better.

Figure 2

Figure 3

Figure 4

Figure 5
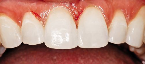
It should be noted that either of the shades (according to the shade matching guide) could be used. To test the system, I chose to use A1 on the central incisors and B1 on the lateral incisor using a non-layering technique (Fig. 6). After placing and shaping the material, polishing with an Enhance® finishing (DENTSPLY Caulk) disc was performed (Fig. 7). Immediate post placement results were captured with photos and evaluated (Fig. 8).

Figure 6

Figure 7

Figure 8
The resulting translucencies, opacities, and subtle chroma and value of the TPH Spectra composite were excellent and, best of all, the patient loved the result and could not believe how little time the entire procedure took to complete (about 40 minutes).
Catapult Group evaluation
Overall, TPH Spectra™ was very well received by Catapult’s evaluators. They seem to be very discriminating in that they use a wide variety of systems (more than 75% use three or more systems) to meet their personal preferences and patient needs.
Eighty-six percent rated this product in the excellent/good category, while 77% would incorporate TPH Spectra™ into their posterior composite practice and 71% into their anterior composite practice. An overwhelming 90% of evaluators would recommend TPH Spectra™ to their colleagues.
The top three reasons evaluators liked this material over their current system were:
1. Chameleon effect
2. Simplified shade system
3. Overall handling and less stickiness to instruments
Conclusion
Results drive our material decisions. Control over the entire restorative process is crucial. Employing a material that gives you command over shade selection to account for a wide range of varying opacities and translucencies, as well as high polishabilitiy and sculptability, are essential for a great result every time.