February 2010 | Dental Products Report products in practice: marketing Promote your material choice Teaching patients the value of Lava Zirconia. by Dr. Lou Graham
February 2010 | Dental Products Report
products in practice: marketing
Promote your material choice
Teaching patients the value of Lava Zirconia.
by Dr. Lou Graham


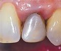
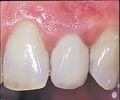
Before (top) and after images of a restoration completed with Lava Zirconia.
You don’t come to your choice of dental materials lightly. Creating restorations that you can be proud of and that your patients will love are a priority. With all the research that goes into choosing the materials we use, how often do we share that information with patients? They may not care about all the science, but translating that data so that we demonstrate this value to patients is a vital part of gaining case acceptance.
In my case, I know the value of offering 3M™ ESPE™ Lava™ Crowns and Bridges to patients. These strong, esthetic restorations offer a number of characteristics patients can appreciate. I’ll use Lava as an example throughout this article, but you can use similar concepts to promote your material of choice.
Natural esthetics
Patients’ foremost concern with crowns and bridges is often esthetics. How does your material perform when it comes to translucency or shade matching? Is there clinical evidence to support those claims?
In this area, the natural look offered by Lava Zirconia easily tops PFM alternatives, so that is a major selling point to share. After explaining to patients that metal frameworks block light from passing through the restoration, the dental team can then demonstrate how zirconia provides natural translucency, offering a much more lifelike appearance. Evidence shows Lava Zirconia is one of the most translucent materials compared with other zirconia restorations of the same thickness.
Additionally, because Lava restorations only require a wall thickness of 0.3 mm in the anterior, their translucency is significantly increased when wall thickness is reduced from 0.5 to 0.3 mm.1 Patients also can appreciate that the thinner design of a Lava coping, in comparison with other zirconia and all-ceramic restorations, allows the dentist to save more tooth structure when preparing the teeth.
Finally, while metal frameworks can leave a dark ridge over time where gums recede, Lava restorations can be precisely matched to patients’ teeth for a most natural look that lasts for many years.

Lifelike layers Designed to mirror natural esthetics, Lava DVS crowns feature three precisely controlled layers-a zirconia coping, a fusion porcelain and a glass ceramic.
Strength
Long-term clinical data demonstrating the strength of a material is important in the dentist’s decision making process, and should be part of how you talk about materials with patients. I want my patients to feel confident knowing millions of Lava restorations have been placedthroughout the past eight years with outstanding clinical performance.
In fact, a study of five-year clinical results for Lava crowns and bridges found no failures among bridges that could be recalled after five years. Additionally, the largest dental laboratory in the United States recently released data showing clinical success rates of Lava zirconia restorations at 98.4%2 over thousands of restorations, similar to the success rates of porcelain-fused-to-metal restorations. If you don’t know these kinds of facts about your material, don’t be shy. Contact the company and see what clinical data they can share.
In my personal experience in placing more than 600 Lava zirconia restorations during the last six years, I’ve only seen three situations in which the veneered porcelain has chipped or fractured.
Marginal fit
While marginal fit may be a more difficult concept to explain to patients, they should know it is an important characteristic that can contribute to a restoration’s clinical performance. To ensure the best fit, a precise CAD/CAM process must be used in conjunction with high quality, homogenous zirconia.
Multiple studies have found restorations designed with the Lava system demonstrated the lowest marginal gap among systems tested, highlighting the accuracy of the Lava CAD/CAM system in combination with Lava zirconia.
Independent confirmation
Who are your sources? Is it just the manufacturer telling you its product is great? Independent confirmation of the values I’ve discussed is critical to patient trust.
In my office, patients can be assured that the evidence in favor of Lava restorations does not come from 3M ESPE alone. Study results recently published in The Dental Advisor examined the six-year clinical performance of Lava zirconia and found, “3M ESPE Lava Crowns and Bridges performed exceptionally well over the six-year evaluation period in their resistance to fracture and marginal staining and exhibited minimal wear.”
Not every patient is going to care about the R&D behind his or her crown, but your ability to demonstrate the value of that crown can go a long way in helping increase treatment acceptance and overall trust with your patients.
Dr. Lou Graham is an internationally recognized lecturer extensively involved in continuing education, and the founder of Dental Team Concepts.
References
1. Translucency of different zirconia materials, Prof. R. Scotti, Prof. P. Baldissara, Dr. A. Llukacej, Dr. L. F. Valandro and Prof. M. A. Bottino, Academy of Dental Materials Conference, 2006. [Abstract 103].
2. Glidewell Laboratories, restorations fabricated between 7/1/08 and 9/30/08, 3MESPE.com/Lava.
3. A. Piwowarczyk, H.-C. Lauer (2006), Determining the marginal fit of CAD/CAM bridge frameworks, Pan European Federation Conference (PEF; CED) #0254
4. F. Beuer, T. Fischer, K.-J. Erdelt, H.-U. Aggstaller, K. Spiegl, W. Gernet; (2005) IADR #1336 and In vitro Study Marginal fit of Lava restorations; F. Beuer, T. Fischer, K.-J. Erdelt, H.-U. Aggstaller, K. Spiegl, W. Gernet, industrial report (2006)
5. A.J.T. Shannon, F. Qian, P. Tan, D. Gratton (2007) In-Vitro Vertical Marginal Gap Comparison of CAD/CAM Zirconium Copings, IADR #0828
6. 3M ESPE Lava Crowns and Bridges 6-Year Clinical Performance. The Dental Advisor. August, 2009.
Related Articles