Learn about this combination therapy with clear aligners and the Aligner Sleep Appliance®.

In recent years, our practice has been actively screening all our patients for known dental signs and symptoms associated with sleep disorders. These include patients who brux or grind their teeth,1,2 report they feel tired throughout the day, have a retrognathic mandible3 and suffer from malocclusions,4,5 among other signs.
Clear aligner therapy is one treatment we provide to address malocclusions. Knowing the correlation between malocclusions and sleep disorders, we had a dilemma in deciding what to address first. Fortunately, I discovered an ideal solution to this dilemma: combination therapy allows me to treat my patients with clear aligners and the Aligner Sleep Appliance® from SleepArchiTx™ to address both conditions concurrently.
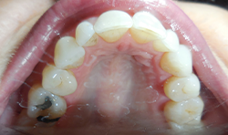
Fig. 1

Case summary
A patient presented to the practice complaining that her husband and daughter have told her she snores, at times wakes up gasping for air, short of breath and appears to be choking. The patient also stated she hasn’t slept well for the last 20 years.
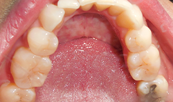
Our clinical findings included a body mass index of 27, a constricted maxillary arch, retrognathic mandible, high palatal vault, tooth occlusal wear, Class IV Mallampati restricted airway and a familial history of sleep apnea (Figs. 1–3).
Fig. 2


Fig. 3 Fig. 2
When the patient was younger, she had four premolar extractions during orthodontic intervention. These had now slightly relapsed, causing anterior crowding and reclining of her premolar and molars. In addition to the snoring, the patient was diagnosed with Hashimoto’s disease, which has also been correlated with obstructive sleep apnea.6 She also had a previous diagnosis of periodic limb movements of sleep (PLMS), for which she was on a higher-than-normal dosage of clonazepam. Clonazepam has also been linked to causing sleep apnea.7,8
The patient previously completed an in-lab sleep study, resulting in no significant hypopneic or apneic events. The study didn’t yield a diagnosis of sleep apnea or other related sleep disorders.
Respiratory events are within normal ranges with an overall AHI of 1.3 events per hour of sleep and a REM AHI of 3.0 events per hour. The technician described the patient's snoring as light. EKG showed a normal sinus rhythm. Baseline oxygen saturation was 96.7 percent and minimum oxygen saturation was 92 percent. (Fig. 4).
Despite these results, the patient continued to seek medical evaluations due to her suffering drastically from poor sleep.
Related reading: How dentists can tackle sleep-related breathing disorders with technology
Diagnosis
To determine why the patient was still feeling excessively tired throughout the day, we collaborated with our dental sleep service provider, SleepArchiTx, and their board-certified sleep physicians to determine a diagnostic plan. The physicians recommended an in-lab sleep study that incorporated positive airway pressure titration with a nasal cannula into the lungs to record pressure changes that occur when the patient has PLMS. This type of study was selected because the physicians suspected the PLMS might be the cause of false results.
The test resulted in an apnea hypopnea index (AHI) of 7.4 and respiratory disturbance index of 31.1, establishing a diagnosis of obstructive sleep apnea (OSA). The patient demonstrated OSA with significant degree of obstructive respirations during sleep. The obstructive respirations resulted in fragmented sleep continuity. Treatment options included continuous positive airway pressure (CPAP), oral appliance therapy, or surgical intervention. PLMS were identified at 24.3 per hour:
Esophageal manometry was utilized to detect more subtle sleep-disordered breathing events. The patient demonstrated Obstructive Sleep Apnea (OSA) with a significant degree of obstructive respirations during sleep. This was in the form of rare apneic and more frequent hypopneic episodes per hour. The Respiratory Disturbance Index (RDI), which includes effort related arousals as well as apneas and hypopneas, was 31.1 (Fig. 5).
Treatment plan
At case presentation, the patient opted for oral appliance therapy, stating she wouldn’t tolerate the CPAP.
Given the patient’s anterior malocclusion and constricted upper and lower arches, clear aligners were selected to address the orthodontic corrections and the Aligner Sleep Appliance (ASA) was selected to address her airway deficiency. The treatment plan called for the patient to wear the clear aligners throughout the day. At night, the patient would wear the clear aligners and the Aligner Sleep Appliance to keep the airway patent.
Continue reading on page two...
Case design
This case was designed by first capturing the patient’s upper and lower arches, including the palate, using the iTero scanner and submitting the digital files to Invisalign for case setup.
Once the Invisalign ClinCheck was created, it was digitally submitted to SleepArchiTx for case review (Fig. 6). SleepArchiTx then planned the sleep appliance fabrication based on the proposed orthodontic movements that would be performed by the trays worn throughout her treatment and retentive stage.
The aligner therapy was designed to improve the patient’s occlusion while increasing the oral cavity space to provide more room for her tongue. The orthodontic goal was to upright upper and lower arches to achieve posterior expansion and to procline the upper and lower anterior quadrants up to 3 millimeters per arch.
The Aligner Sleep Appliance (Fig. 7) is designed to retrofit over the clear aligners at every stage of treatment and allows for mandibular advancement as necessary to achieve airway patency. In this case, the patient’s initial bite was set at 2.5 millimeters from centric occlusion.
Fig. 6


Fig. 7
Fig. 6
Combination therapy appliance delivery
Before delivery of the ASA, case review with the SleepArchiTx clinical team was performed to discuss ASA delivery protocol, including future appliance adjustments that may be required as the patient progresses orthodontically.
The patient’s first set of clear aligners was delivered in the same visit as the ASA. The patient was shown how to wear her aligner trays and sleep appliance concurrently. The patient was instructed to change her aligners weekly and to wear the ASA over the aligners at night while she slept.
Related reading: How to maximize patient happiness with custom treatment options
Determining medical insurance coverage
Since the patient’s initial sleep study reflected no significant sleep disruptions, this presented a challenge for medical insurance coverage for the therapy necessary to address her chief complaints. However, by properly evaluating the patient’s medical and dental history, a better diagnostic plan was achieved. The results of a second study yielded the appropriate diagnosis of obstructive sleep apnea.
Working closely with SleepArchiTx and their medical billing team, our practice was able to get the patient’s case properly accepted for medical insurance coverage. In addition, the patient paid an out-of-pocket amount to cover the balance of the case fee.
Follow-up and comprehensive care
Along with the new sleep study findings, the patient’s sleep physician reduced the clonazepam dosage to minimize any OSA side effects the drug may cause.
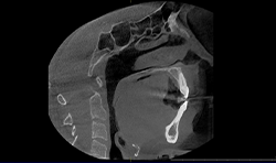
As of March 2019, the patient has been in combination therapy, wearing her aligners and sleep appliance for just more than two months. We’ve had three follow-up appointments to ensure compliance and comfort of the therapy. One adjustment has been made to the ASA, advancing the mandible forward to relieve residual snoring. At the third recall appointment, per the treatment plan, the next set of aligner trays were fitted with the ASA to ensure proper fit and evaluate for discomfort. Radiographs were taken showing stable condyle positions with improvements to the oropharynx (Fig. 8). A sleep study will follow to evaluate efficacy of the therapy now that the patient has been stabilized.
Upon results of the efficacy sleep study, the patient will be placed in long-term care management to ensure the therapy continues to be effective and no contraindications develop.
Fig. 8

Conclusion
Under normal circumstances, this patient would’ve continued to suffer from her sleep disorders because the initial sleep study failed to properly identify her condition. As a result of our comprehensive and interdisciplinary approach to patient management, the patient now reports that the quality of her sleep has improved. She’s also happy with the improvements to her smile and how the aligners and the sleep appliance work so well together. The patient appreciates the lower clonazepam dosage and reports she doesn’t have any more periodic limb movements.
References:
1. Balasubramaniam R, Klasser GD, Cistulli PA, Lavigne GJ. The link between sleep bruxism, sleep disordered breathing and temporomandibular disorders: an evidence-based review. J Dent Sleep Med. 2014;1(1):27–37.
2. Simmons, JH. Neurology of sleep and sleep-related breathing disorders and their relationships to sleep bruxism. J Calif Dent Assoc. 2012;40(2):159–67.
3. Dahlqvist J, Dahlqvist A, Marklund M, Berggren D, Stenlund H, Franklin KA. Physical findings in the upper airways related to obstructive sleep apnea in men and women. Acta oto-laryngologica. 2007;127(6):623–30.
4. Banabilh SM, Suzina AH, Dinsuhaimi S, Singh GD. Cranial base and airway morphology in adult malays with obstructive sleep apnoea. Aust Orthod J. 2007;23:89–95.
5. Triplett WW, Lund BA, Westbrook PR, Olsen KD. Obstructive sleep apnea syndrome in patients with class II malocclusion. Mayo Clin Proc. 1989;64(6):644–52.
6. Bozkurt NC, Karbek B, Cakal E, Firat H, Ozbek M, Delibasi T. The association between severity of obstructive sleep apnea and prevalence of Hashimoto’s thyroiditis. Endocr J. 2012.59:981–88.
7. Schuld A, Kraus T, Haack M, Hinze-Selch D, Pollmächer T. Obstructive sleep apnea syndrome induced by clonazepam in a narcoleptic patient with REM-sleep-behavior disorder. J Sleep Res. 1999;8:321–2.
8. Li SX, Lam SP, Zhang J, Yu MW, Chan JW, Liu Y, et al. A prospective, naturalistic follow-up study of treatment outcomes with clonazepam in rapid eye movement sleep behavior disorder. Sleep Med. 2016;21:114–20.
