Pentron’s Correct Plus Impression Materials are designed to consistently provide highly accurate and detailed impressions every time they are used.
Pentron’s Correct Plus Impression Materials are designed to consistently provide highly accurate and detailed impressions every time they are used.
Each week, DPR explores a different dental technique how to with our Technique Geek series. You can get each Technique Geek in your inbox for free here.
In this Technique Geek illustrated case study, Dr. Lori Trost shares photos illustrating how she obtained impressions for a clinically successful implant by using Pentron’s Correct Plus Impression material.
Correct Plus is available in an extensive variety of viscosities, and for this case, Dr. Trost chose the Light Body and Tray Material selections.
Exceptional tear strength ensures detailed impressions will remain intact upon removal. With a working time of 1 minute and an oral setting time of 4 minutes and 30 seconds, Correct Plus is the ideal material for full arch impressions or any situation where a longer set time is desired.
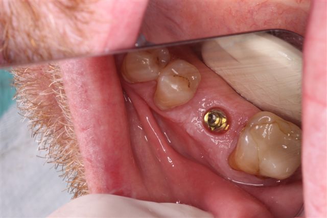
The below step-by-step illustrations show how Dr. Lori Trost utilized Correct Plus to perform these impressions:
STEP 1 > Initial Implant Presentation with Healing Cap

STEP 2 > Show Impression Coping in Place

STEP 3 > Finalizing Impression Tray Fit for Impression Coping

STEP 4 > Final Impression with Correct Plus - illustrates excellent detail of impression coping, margin, and surrounding interproximal tissue and structures.

More from Pentron ...
How to complete a post procedure using FibreKleer 4x Fiber Posts [VIDEO]
Pentron’s new product packaging emphasizes user-friendly look
REVIEW: FibreKleer 4x Fiber Posts from Pentron
Pentron's Correct Plus Impression Material provides accuracy, performance and affordability