Establishing an outstanding elective cosmetic dentistry practice is easier to do today than at any time in the past twenty-five years. Technological advances, patient desire and professional receptivity have all spiked at the same time. However, the one obstacle that holds many patients back from enhancing their smile is – you can guess it - the relatively high fee associated with porcelain veneers.
Establishing an outstanding elective cosmetic dentistry practice is easier to do today than at any time in the past twenty-five years. Technological advances, patient desire and professional receptivity have all spiked at the same time. However, the one obstacle that holds many patients back from enhancing their smile is – you can guess it - the relatively high fee associated with porcelain veneers.
Porcelain veneers are an outstanding technology. When I helped develop one of the original porcelain veneer systems for the IPCO Dental Laboratories in 1983 we were thrilled that the technique required little, if any removal of healthy enamel. Today, while some porcelain veneer systems advocate the no-prep approach, many still advocate tooth preparation. There is a place for both techniques.
In this installment of Best Cosmetic Dentistry Practices I want to encourage you to consider how to create more interest in your elective cosmetic dentistry services. As part of this process I want you to consider offering an affordable, non-invasive veneer as an option to conventional porcelain veneers. There are several non-invasive techniques you might choose to use. Indeed, it may be a misnomer describing the non-invasive veneer as an option. In many cases it is the preferred treatment. That judgment will be based upon a variety of factors and your clinical assessment of your patients needs.
Whatever your personal philosophy, the following suggestions have already helped other dentists expand their cosmetic dental practice. Read on and see if you feel this can be of benefit to your practice.
1- First, let’s start at the beginning of your patient’s elective cosmetic dentistry experience – right as they enter your office. How do you introduce patients to cosmetic dentistry services? Most dentists use a variety of patient education tools. However, have you ever thought our profession may rely a little too heavily on these materials (think brochures, DVD’s or posters) instead of doing hands-on power educating? Yes, there is a role for patient education materials - but I have found that it is most effective when used in a support capacity, not as the primary educational & motivational tool. Even the Silverman Institute’s Smile Evaluation Form (download your complimentary copy at www.DrHarveySilverman.com) will not create cosmetic dentistry success stories when used alone. To become successful you need the support, conviction and sincere buy-in from your entire team. The good news is that this is actually quite easy to do. The following will illustrate that point.
2- Personal experience enhances sincere buy-in. Best of all sincere buy-in seamlessly translates into an enthusiastic team that is eager to power educate your patients. Think of it this way. When you experience anything yourself it is natural to want to share your sincere enthusiasm. It’s effortless.
Think about how easy it is to describe a beautiful sunset, a delicious dessert or an exotic trip when you are talking from your own experience. The same is true when your entire team is in sync and has experienced your smile transformation services. Ask yourself - has every team member gone through a personal smile evaluation – with appropriate elective cosmetic dental services done to enhance their smile? You have to “keep it real” if you want your elective cosmetic services to have appeal – and sincerity through personal experience is one of the best ways to keep it real.
In the offices I have consulted in I have noticed that nothing can ruin a patient’s level of enthusiasm quite like talking to a team member who has a subtle or apparent cosmetic dental problem. They might silently be wondering, ”If Dr X is so good, how come his/her staff member hasn’t had that problem fixed?” You would probably think the same if you were in their shoes.
3- Get your patients attention. Here’s a simple example of how to get attention. Have you ever watched a direct response television show, aka, infomercial? They are produced by some of Hollywood’s most innovative marketing experts. Direct response television programs educate viewers, tell a story, solve a problem and share how a particular product can benefit you. However you may have noticed that there is a world of a difference between a well-produced infomercial and one that isn’t.
In the well-produced direct response television program a testimonial explains how a particular product healed their wound. Best of all it the testimonial describes how it was quick, simple and easy to solve their problem. Interestingly enough the testimonial doesn’t actually “sell” anything. They simply share their story about how they feel better, cook better, exercise more effectively, have shed pounds, have more self-confidence, smile brighter, etc. The sincerity of their testimonial makes their story captivating. That sincerity is what got our attention!
In contrast, when watching a poorly produced infomercial, the “phony flag” comes out and the testimonial sounds like they are reading from a script. It sounds insincere. They seem to be “selling” instead of relating a true experience.
Hmmm. Have any of our team members sounded as if they are reading from a script rather then sharing heart felt experiences when it comes to elective cosmetic dentistry? Probably not, but then again let’s think about this. If a team member hasn’t had elective cosmetic dentistry done by you, perhaps they might not sound as sincere as if they had. And if they have untreated elective cosmetic dental issues themselves that patients can see (and trust me, they are looking) it becomes virtually impossible for your team to be sincere when talking to a patient about having elective cosmetic dentistry done. In the offices I have consulted in I have found that sincerity is the key to expanding your cosmetic dentistry program.
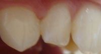
4- Share the benefits in their story. As your team watches you transform the lives of your patients with cosmetic dentistry, have them share the benefits - just as the sincere testimonial does on a direct response television program. For example, when showing before and after photos don’t assume your patient knows which teeth are natural and which have veneers (see photos). Ask them if they can tell and then show them. Let the patient know how natural looking non-invasive veneers can look - and how the veneers provided enhanced self-esteem or renewed self-confidence when smiling.
Since this is based upon true experiences please get in the habit of asking your patients follow up questions that elicit this information. Build up your own portfolio, so to speak, of real stories and benefits patients experienced as a result of your cosmetic dentistry services (obviously do not mention names and if showing full face before & after photos, have signed model releases). Your team’s sincerity will be compelling. Remember – your team never sells anything when doing this. They only share. That is motivational – and it’s almost contagious when your team is sharing a sincere belief system.
When discussing non-invasive veneers, remember patients do not know what we know. Think of the various activities your team can incorporate into their daily routine that best inform, power educate and motivate your patient. You are limited by your imagination.

After: Which teeth are natural and which are non-invasive veneers?
LifeLike Veneers™ done by Dr Harvey Silverman.



Before pictures: straight on, right side and left side of the same patient above.
Non-invasive LifeLike Veneers™ can transform your patients’ smile in one visit.
5- Be convincing. After your patient filled out their Smile Evaluation Form have your receptionist share examples of similar problems you solved that your patient may have described. Emphasize the artistic skills you have cultivated that create beautiful, natural looking smile. The photos and her natural enthusiasm will be convincing - just as a sincere testimonial in a direct response television program comes across when sharing their story. Remember - Don’t ever sell. Only share. Sincerity is the goal.
One note of caution: Never over promise and under deliver. Whatever Smile Preview System you use, make certain you can deliver what your patient now expects. For dentists I consult with I developed a simple 60 Second Chairside Smile Preview Technique that takes the guesswork out of the equation and demonstrates the exact final result in a minute or less – and allows you to pre-screen who is a good candidate - there are many other preview systems you can chose to utilize, including computer imaging. Use whatever works best in your hands.
6- Talk with pride and enthusiasm. Here’s an example. When your dental assistant discusses how she, too, had a space closed in with veneers, have her describe how natural her veneer looks. Don’t stop there - continue to motivate your patient to have a Smile Preview too. Have her share her conviction that it “may” be easy for your patient to have a beautiful, gorgeous smile – based upon the doctor’s evaluation. I will write more about the art and science of doing this in a future article. Remember – don’t ever sell – and team members should never diagnose. Only share real feelings and experiences - and that creates interest, desire and enthusiasm.
7- It all adds up to the five C’s. Once you have achieved buy-in from your team, they will do everything that a sincere testimonial in a direct response television program does. Your team will naturally be Convincing, Compelling, Conversational, Captivating and Confident when talking about your cosmetic dentistry program. They will never sell anything. They will simply share their natural enthusiasm based upon these five C’s. Best of all, your patient will now be excited and motivated to find out if they, too, are a candidate for your cosmetic dentistry services.
Okay, are you a little curious why I know so much about sincere based, testimonial driven direct response television programs? During the past 25 years I have had the opportunity to develop numerous tooth whiteners (including inventing/patenting one of the original OTC tooth whiteners). I was asked to direct many of the testimonials seen on these programs. When I direct I insist upon sincere, heart-felt testimonials based upon real experience – and the testimonial only has to convey the 5 C’s (above) when sharing their story. This is no different than when I consult in dental offices where I also insist that team members are sincere and share the 5 C’s when talking to patients. As I have recommended, team members should never sell. Only share. That is easy. And patients already want non-invasive cosmetic dentistry to enhance their smile so you have a captive audience.
Creating an outstanding cosmetic dentistry practice requires work, dedication and a team approach. It is actually easy to do. If you really want to do more cosmetic dentistry it is seamless to integrate into any general dental practice. Please let me know if I can help you if that is your goal. It only takes one day – and team members love the NO SELLING approach.
Cheers! Now expand your elective cosmetic practice with a sincere team trained to use the 5 C’s - and offer affordable, non-invasive veneers when appropriate.