Dr. Sam Simos began using TPH Spectra at his practice in Bolingbrook, Ill. more than a year and a half ago and has been very pleased with the many positive results his team and patients have experienced.

Dr. Sam Simos began using TPH Spectra at his practice in Bolingbrook, Ill. more than a year and a half ago and has been very pleased with the many positive results his team and patients have experienced.
Trending Article: Introducing the PPO Analyzer
How did you learn about TPH Spectra and when did you begin using it?
I was part of the initial evaluation before it even got to market, so I’m a little different in that respect. It took one try for me to like it. The product I had been using had a nice consistency, but when I started using TPH, it gave me the same kind of feel as I was using before but it was a better shade match. I found I didn’t have to do all of the things you have to do with the regular composites. The two viscosities of the material gives me the ability to work either in the posterior or the anterior of the mouth, so it is very versatile.
What types of results has TPH Spectra delivered for you?
The results have really been wonderful, whether you’re talking about the anterior or the posterior, because it’s cosmetically fantastic. I don’t have to layer, so it’s quicker. The color-matching is excellent in the anterior and the posterior. The wear has been fantastic. I’ve been using it a while so I’ve been able to see that. The manageability and consistency of the material is awesome. I don’t have to struggle to get it in.
What makes TPH Spectra special to you and your team?
The optics they’ve developed make it really special because of the blending into the natural enamel. Before I’d need a bunch of different shades for the composites because I would need to layer it. Now I just need one or two different shades and I can pretty much match all of the different shades that I need. So whether I’m working in the back or the front, I don’t need a lot of materials or a lot of shades like I did with other systems to worry about matching up shades. I don’t have to layer it.
Dr. Simos’ assistant, Samantha Gorman:
Compared to the other composites we have used, TPH Spectra is very easy to shade match. I don’t need to keep track of seven or eight different shades. We use about three shades 95 percent of the time. Also, because Dr. Simos is not spending as much time layering the composite to match the shade, on front teeth, like other composites, the procedure always seems to go faster with TPH Spectra. The shades always seem to match without much hassle and the finished polished filling looks as natural as the other teeth.
Trending Article: One year later: 15 products that have made a difference
What are the benefits for the patients?
From a patient’s perspective, it’s effortless, it’s much more predictable because they see the better results. People seem to be responding pretty favorably. They notice a big difference when the chair time is going from an hour to 20 minutes. They see the difference in the work, too, because noticeably the optics of this material is so much better than what I’ve ever used before. It polishes up really nice. It blends into the natural tooth really well. And the patients notice that. They don’t see a line in their front tooth and they don’t see a discrepancy in the shade. I think just the predictability [is great].
I do a lot of cosmetic dentistry, so I deal a lot with the front teeth for people. One thing I deal with a lot is the front teeth that are chipped off and they’ve been to other dentists. When I do the procedure, patients all seem to say the same thing: “Gosh this looks so much better.” And: “The other guy seemed to have more trouble with what they were doing.” So it’s a technique that is noticeable with the patients because you don’t have to struggle to layer these materials and struggle to get the right shade match.
Part of the team
TPH Spectra is part of Dentsply Caulk’s Class II Solution, which includes The Palodent® Plus Sectional Matrix System, Prime&Bond Elect® Universal Dental Adhesive, Enhance® Finishers, and SureFil® SDR® flow Bulk Fill Flowable Base.
TPH Spectra has been a trusted brand for decades
For 20 years, Dentsply Caulk’s TPH brand has been a name dentists know and trust.
In 2004, Dentsply Caulk released TPH 3 and even though it was a clinically proven, high-quality product, they knew they’d need to update the formula if they wanted to continue to meet their customers’ changing needs. That update is the new TPH Spectra Universal Composite.
Dentsply Caulk is a well-known, trusted company in the dental industry and TPH is among Caulk’s trusted brands. Many dentists are already familiar with the TPH name, and know it’s a long-standing, reliable, high-quality brand in the industry. TPH Spectra offers dentists both high and low viscosity options, easy handling and simplified shading-exactly what dentists told the team at Dentsply Caulk they wanted in a composite. Dr. Qizhou Dai, a Caulk chemist who was interviewed by DPR earlier this year, is proud to have formulated TPH Spectra and enjoys hearing how much dentists love it.
“TPH is a classic product. It has been on the market for many years, is clinically proven and gives assurance of quality and performance,” he said. “Basically, in their office, dentists have to accumulate multiple different brands of products for shading and handling. With TPH Spectra, we simplify it. Dentists only need limited shades to cover the whole shade spectrum, and you choose the handling you like. You can use low or high viscosity with TPH Spectra. It gives you options.”
On-Demand Webinar: Learn how to prescribe highly esthetic partial and complete dentures
A quick look at how TPH Spectra delivers great outcomes

Figure 1: Tooth No. 4 after an initial layer of SureFil® SDR® flow
TPH Spectra Universal Composite is based on the resin technology of TPH3 and contains nanohybrid- and micro-filler components. The result is a composite that has the potential to perform well in either the anterior or posterior, and should have tooth-like translucency, improved polishability and stain resistance, and good wear resistance. TPH Spectra also comes in two handling choices: a creamy light-viscosity formulation, and a packable high-viscosity formulation. For both viscosities, the physical properties are similar.

Figure 2: Placement of TPH Spectra™ HV composite, shade A2
In order to make shade selection simpler, TPH Spectra is available in the seven most popular shades: B1, A1, A2, A3, A3.5, A4, and C2. According to DENTSPLY’s internal data, the seven shades of TPH Spectra represent more than 80% of total sales from the previous TPH3 formulation.

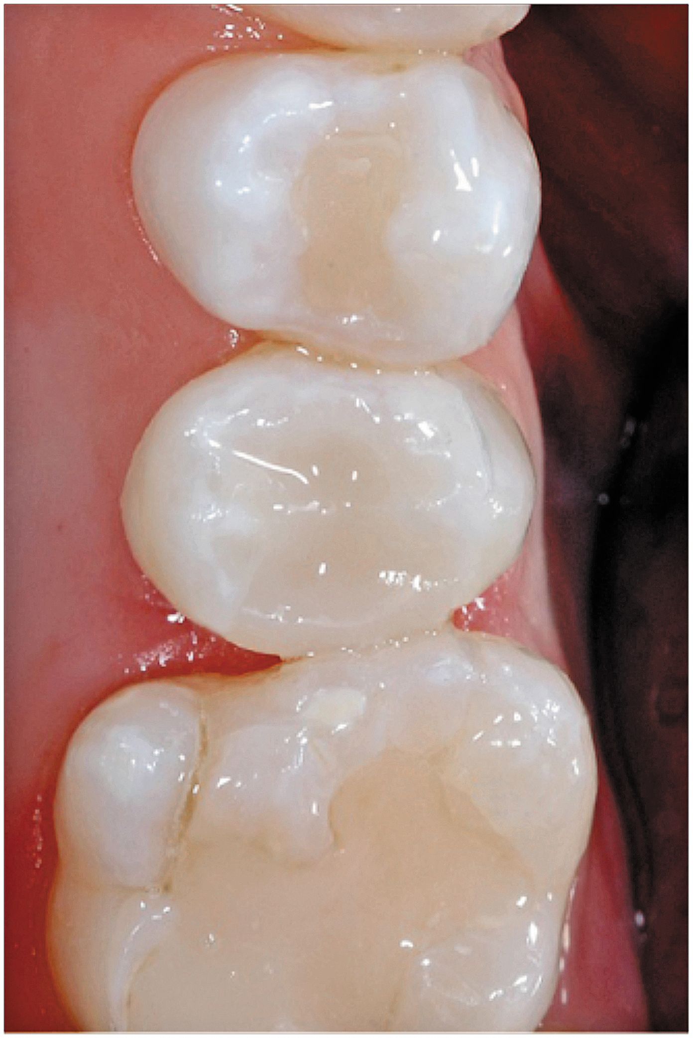
Figure 3: After placement and curing of the final layer of TPH Spectra™ HV composite, Shade A2

Figure 4: The final restoration after finishing and polishing
Reducing the number of TPH Spectra shades is possible because the composite offers excellent color blending between restorative materials and natural tooth, often called, “the chameleon effect.” Again, building and improving from the previous TPH3 composite formulation, TPH Spectra has a refractive index that falls directly between enamel (1.63) and dentin (1.54). Because of TPH Spectra’s excellent translucent properties and an appropriate refractive index similar to natural tooth structure, it will have an excellent chameleon effect and create restorations that are unable to be detected.

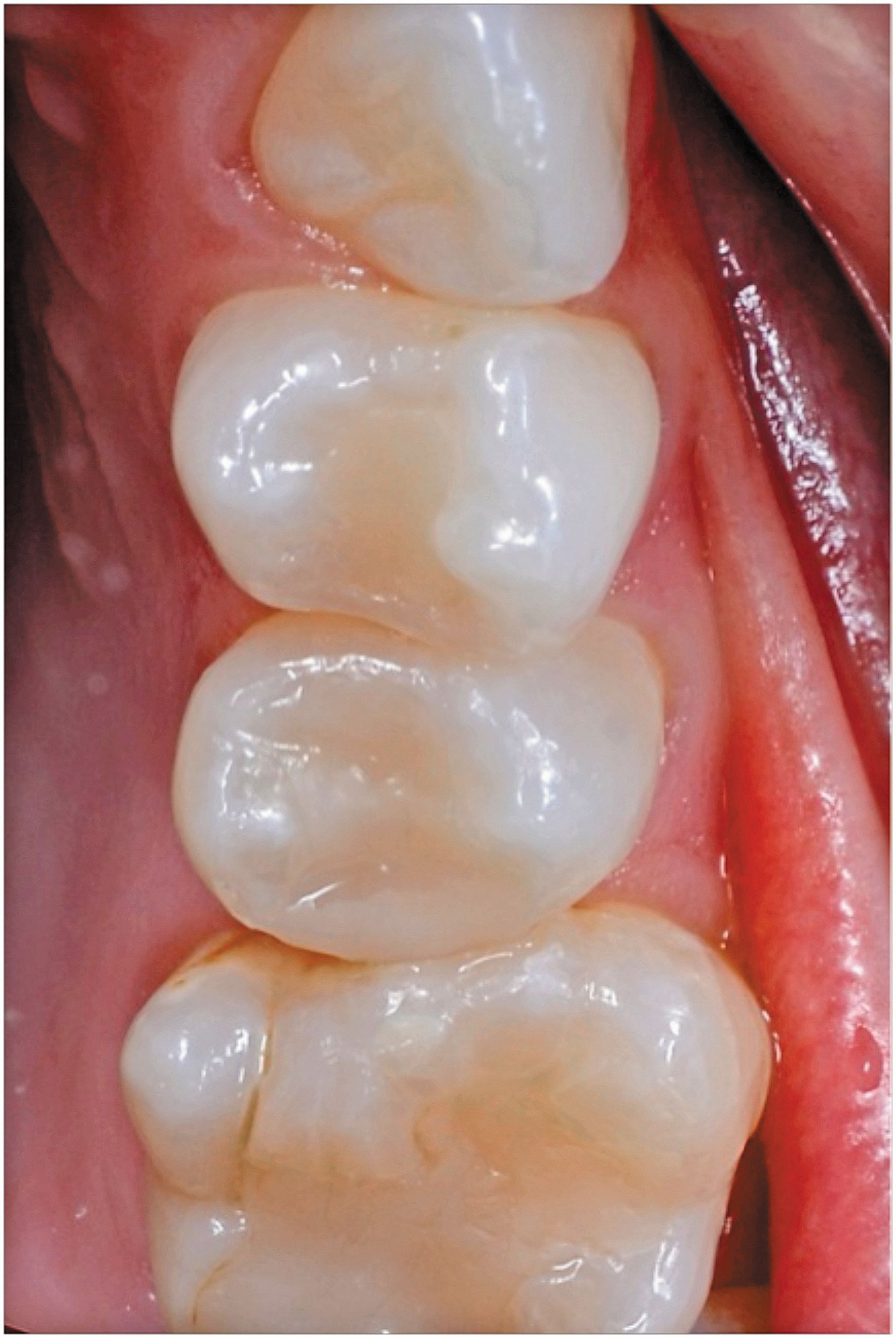
Figure 5: The final restoration on Tooth No. 4 at a 2-year follow-up.
This article originally appeared in the June 2014 issue of Dental Products Report. For articles about other great products in action, subscribe to DPR's newsletter bit.ly/1oJNUaR.