When seating esthetic posterior metal-free restorations, the ultimate success of the treatment depends on the adhesive techniques and materials used for placement.
When seating esthetic posterior metal-free restorations, the ultimate success of the treatment depends on the adhesive techniques and materials used for placement.
Many materials can be challenging to handle, demonstrate low bond strengths and/or produce an inharmonious shade match in the final restoration compared to the adjacent dentition.1,2 The protocol could require multiple steps to achieve predictable bond strength and increase chair time due to cumbersome tasks associated with excess cement cleanup.
Fortunately, a variety of adhesive luting materials can be selected and used in combination to simplify indirect restoration placement while avoiding the challenges associated with the adhesive cementation process.
For example, chemically conditioning restoration surfaces using a silanating agent (Monobond Plus, Ivoclar Vivadent) contributes to predictable and long-lasting bonds between all-ceramic materials and preparations. Similarly, a single-component, light-cured universal adhesive (Adhese® Universal, Ivoclar Vivadent) that can be placed precisely in a fast and convenient manner contributes to less waste, more effective treatments and ease-of-use. These benefits are further enhanced when the adhesive is compatible with all etching techniques (e.g., self-etch, selective enamel-etch and total-etch) and prevents solvent evaporation over time for greater bond predictability.
However, what can significantly contribute to overall esthetic cementation predictability and simplicity is a light- and dual-curing adhesive luting composite (Variolink Esthetic, Ivoclar Vivadent) indicated for the permanent cementation of ceramic and composite restorations. Variolink Esthetic enables precise shade matching of the restoration to surrounding dentition due to its “Effect” shade system. This new approach to esthetic adhesive cementation includes five different shades for color-neutral cementation yet provides brightening or darkening of the restoration, as needed.
Furthermore, exceptional shade stability is realized based on the material’s reactive and patented Ivocerin light initiator, which also ensures fast and reliable curing of the material during subsequent light polymerization. The smart combination of light initiator and light sensitivity filter in Variolink Esthetic also promotes easy cleanup of excess cement because dental professionals can easily remove excess material following successful prepolymerization with light. The cement’s viscosity controller contributes to the material’s good flow properties and stability so it can be easily extruded from the syringe.
Among the indirect restorative materials ideal for cementation with Variolink Esthetic is lithium disilicate (e.g., IPS e.max CAD). This glass ceramic material’s monolithic properties exhibit high strength.3 When lithium disilicate restorations are milled in-office and placed using efficient and predictable adhesive cementation techniques, they contribute to treatments that demonstrate improved strength and greater esthetics and require less chairside time.4,5
Check out this video to see how Dr. Vasquez used Variolink Esthetic to perfect a restoration:
Case Presentation

A 45-year-old female patient presented with a large mesial-occlusal-distal (MOD) composite restoration on tooth No. 13 and complaints of slight discomfort when chewing. A thorough examination was performed, and radiographs and clinical photographs were taken. The composite restoration was worn down and exhibited fractures, marginal linkage and decay around and underneath it. Based on the clinical findings, the treatment recommended to the patient was a full-coverage CAD/CAM restoration to restore and protect the integrity of tooth No. 13.
1) The patient was anesthetized, and rubber dam isolation was established using an Optradam (Ivoclar Vivadent) to promote good access while keeping the working field clean and dry.
2) After removing the defective restoration and decay it was determined a buildup was necessary. A universal adhesive (Adhese Universal, Ivoclar Vivadent) was applied by scrubbing for 20 seconds on the dentin, after which the adhesive was light cured for 10 seconds. Then, a flowable nanotechnology composite (Tetric EvoFlow, Ivoclar Vivadent) was used to build up the preparation,then light cured for 10 seconds.
Why one dentist raves about Adhese Universal from Ivoclar Vivadent
3) Selecting this flowable composite was based on the material’s clinical performance, outstanding handling properties and high radiopacity (measured at 280 percent Al). The composite’s well-balanced filler technology combines fillers of various types and sizes, as well as color pigments and modifiers, which ultimately results in optimized handling properties for creating restorations and buildups that can be polished quickly and easily for an excellent chameleon effect.
4) Building up the preparation in this manner was important for ensuring a successful milled CAD/CAM restoration. The buildup created a preparation demonstrating nice round and smooth surfaces without any sharp edges or line angles. This would facilitate a well fitting restoration and eliminate the potential for stress-concentrating areas.
5) The preparation was digitally scanned, along with the adjacent teeth, opposing dentition and bite registration. The scans were transferred to the computer to enable digital design of the proposed crown restoration.
6) The shade for the final lithium disilicate CAD/CAM block was selected (IPS e.max CAD, HT D2) based on what would provide the greatest beauty and strength.

7) The full-coverage crown restoration was milled using an in-office milling unit, after which it was tried in the mouth to verify fit. The monolithic restoration was then removed from the mouth, at which time it was characterized using glaze and universal stains (IPS Empress Universal Stains, Ivoclar Vivadent), then fired in a fast cycle (Programat CS Furnace, Ivoclar Vivadent).
8) An Optrastick was placed to hold the restoration while the intaglio surface was etched with a 5 percent hydrofluoric acid for 20 seconds.

9) Monobond Plus silanating agent was then scrubbed onto the intaglio surface and allowed to react for 60 seconds, after which the restoration was air dried.
10) To ensure optimal access and a clean, dry working field, an Optragate isolation was placed.
11) The built-up preparation was then selectively etched using 37 percent phosphoric acid for 15 seconds to treat the enamel, after which it was rinsed and lightly dried.
12) A universal bonding agent (Adhese Universal, Ivoclar Vivadent) was scrubbed onto the preparation for 30 seconds (Fig. 23), then air thinned and light cured for 10 seconds using an LED curing light (Bluephase Style, Ivoclar Vivadent).
13) An esthetic light- and dual-curing cement (Variolink Esthetic) in shade DC was placed into the restoration (Fig. 25), after which it was seated. This cement was selected based on its ability to facilitate easy cleanup of excess cement, shade/color stability as a result of the patented Ivocerin and high bond strengths.
14) After the restoration was seated, it was tack cured from the buccal and lingual aspects for three seconds each.

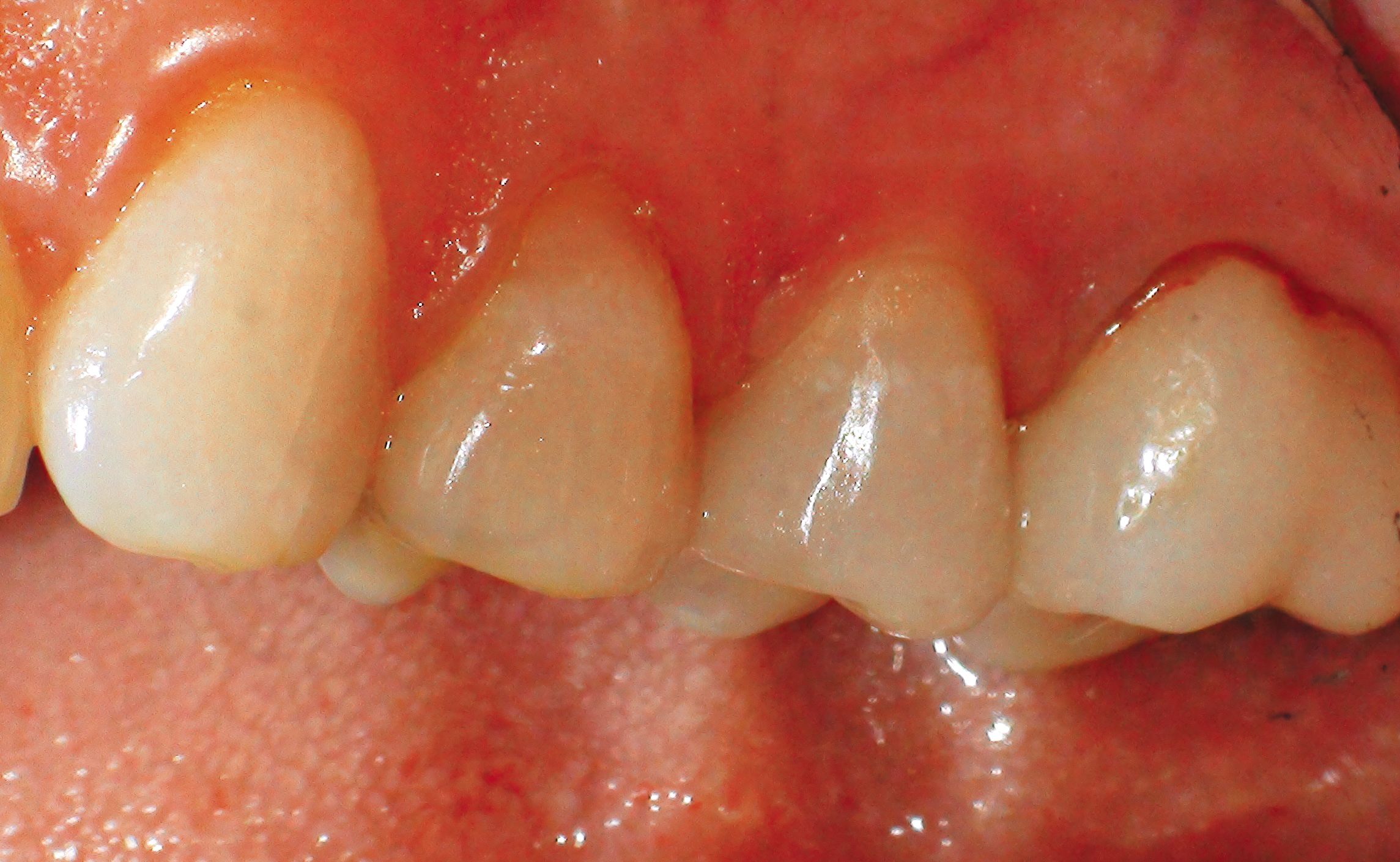
15) The now gel-like excess cement was removed using a scaler, and the restoration received a final full cure from all angles for 10 seconds each using an LED curing light (Bluephase Style). The occlusion was checked and adjusted as needed, and the restoration was polished.
Conclusion
The indirect CAD/CAM all-ceramic restoration (IPS e.max CAD) placement process can be simplified by using a combination of advanced luting materials that work together to provide immediate and long-lasting bond strengths, esthetics and durability. Significantly contributing to overall esthetic cementation predictability and simplicity is Variolink Esthetic light- and dual-curing adhesive luting composite. When used to place IPS e.max CAD lithium disilicate restorations, Variolink Esthetic promotes precise shade matching of the restoration to surrounding dentition, exceptional shade stability, fast and reliable curing and easy clean-up of excess cement.
About the author
Dr. Vasquez has been in private practice since 1999 in San Diego. Since acquiring his CEREC® Redcam system in 2008, he has focused on esthetics and digital dentistry. His passion for CAD/CAM dentistry led him to become a trainer for Patterson Dental and an international speaker for Sirona Dental. As a CEREC trainer, he has found Ivoclar Vivadent dental products fit his professional needs.