Tokuyama’s OMNICHROMA uses smart chromatic technology to match a wider range of natural teeth colors.

Direct composite restorations are the most common procedure for the majority of general dental practices. Conventional dental composites achieve their color-matching capability by adding dyes or pigments to the mixture to provide a color range within the 16 shades of the VITA shade guide. Even within these 16 shades there are variations of opacity and translucency. When the correct shades are selected, the results can be excellent. However, the shade selection and application of the shades can vary from one dentist to the next. Additionally, the cost of keeping a current inventory for the variety of shades can become expensive and frustrating.
To overcome this issue, Tokuyama Dental America has developed a single shade composite that utilizes “smart chromatic technology” that can match a wide range of natural teeth colors. Whereas traditional composites achieve their color chemically by adding colors into the mixture, OMNICHROMA achieves its color by using structural color. Structural color is expressed only by the physical properties of light (diffraction, refraction, interference, scattering, etc.) and not by pigments or dyes. This is done by controlling the size and shape of the filler particles so that they reflect color in the red-yellow spectrum. Once it’s cured onto a natural tooth, it will combine with the reflected light of the surrounding tooth structure in an additive color mixing process to achieve perfect color matching.
In the cases of typical small to even large composite restorations on posterior teeth that a general dental practice performs routinely, it would be easy to consider the use of a single-shade composite like OMNICHROMA in such applications because they generally aren’t visible in the smile zone. Using a single-shade composite on an anterior tooth where the patient and his or her family/friends can scrutinize it is much more demanding. Composite restoration in comthe anterior segment is an art unto itself. There are many hands-on courses dedicated to teaching the art of polychromatic layering of different shades and opacities to perfectly match a fractured front tooth, close diastemas, or to sculpt full composite veneers. Color selection and managing the thickness of these different layers is difficult and can lead to frustrating results if not done properly. On the other hand, if one is doing these types of anterior restorations using a single shade of a traditional composite, the results are most often less than stunning.
So, how does OMNICHROMA compare to traditional composite in the anterior segment? Here are a few examples to illustrate.


Fig. 2 Fig. 1
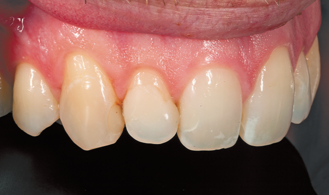
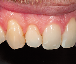
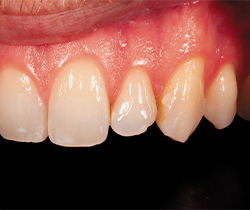
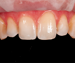
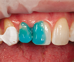
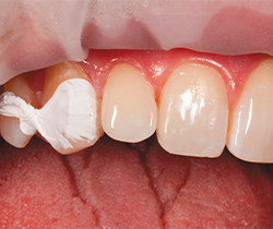
The first example shows the replacement of old Class III composites on teeth #6-11 that had discolored over the years while also improving tooth shape on tooth #10 (Figs. 1-3). There was no decay, so it was decided to simply remove the visible portion of the old restorations and then add the new composite over the top of the old composite in an effort to minimize any pulpal trauma from drilling (Fig. 4).
Fig.3


Fig. 4Fig. 3
No anesthetic was needed for this procedure, which the patient appreciated. After the teeth were prepared, a light air abrasion (Danville) was used prior to the total etch and bond protocol (Figs. 5-6).
Fig.5


Fig. 6Fig. 5
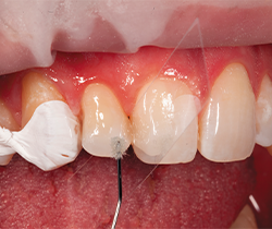
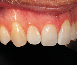
This patient had some mild white decalcification spots, enough so that it made sense to recreate these within the composite for perfect blending. Beginning with teeth #7-8, an initial layer of OMNICHROMA was placed and cured but not to full contour (Fig. 7). A sable brush was then used to apply a white resin stain (Estelite Color, Tokuyama Dental America) to replicate the mild white effects, and a final thin layer of OMNICHROMA was then sculpted into place and light cured (Figs. 8-9).
Fig.7


Fig. 8Fig. 7
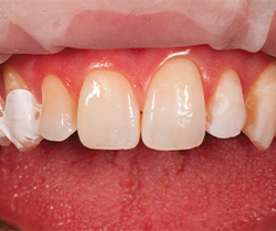
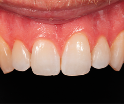
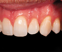
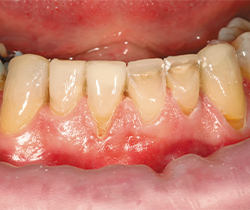
Teeth #6, 10 and 11 were layered in the same fashion. Finishing and polishing resulted in a seamless transition between enamel and restoration (Figs. 10-12.) This is a great case to show OMNICHROMA’s versatility as this patient had darker canines (A3.5) and lighter incisors (A2) and it was able to blend perfectly with the different shades.
Fig.9


Fig. 10Fig. 9
Fig.11


Fig. 12Fig. 11
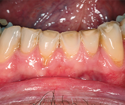
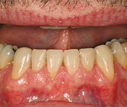
In this next example, the patient had lots of wear from years of parafunctional habits and abrasion from opposing PFM crowns (Fig. 13). His treatment plan included restoration of full upper arch with indirect restorations to increase the vertical dimension and direct composite veneers on the lower anteriors to cover the exposed dentin and restore form and function. Eventually he’ll do indirect porcelain restorations on the lower anteriors, but to control cost and stage his treatment, direct composite was chosen, which can serve for many years in this case. Teeth #22-27 were prepared using a pumice slurry and prophy cup and light air abrasion (Danville). Tooth shade was determined to be between A3.5/A4.
Fig.13


Fig. 14Fig. 13
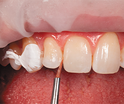
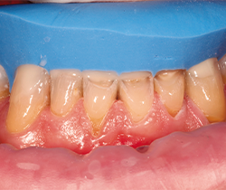
A silicone putty index was fabricated from a diagnostic wax-up and used to create the lingual shelf of teeth #22-27 using the OMNICHROMA BLOCKER (Fig. 14). The purpose of OMNICHROMA BLOCKER is to prevent shade-matching interference caused by other parts of the mouth and to mask slight staining. Before completing the facial contour, a thin diamond IPR disc (Axis Dental) was used to separate and maintain incisal embrasures and interproximal contact (Fig. 15). A clear Mylar strip was then placed for separation as needed to complete the facial layers using OMNICHROMA one tooth at a time (Fig. 16). Finishing and polishing was completed with a variety of discs (3M ESPE), diamond and carbide burs (Axis) and composite polishers (Kerr) (Fig. 17).
Fig.15


Fig. 16Fig. 15
Fig. 17

In today’s dental economy, it’s more important than ever to try and control overhead costs wherever you can. Keeping a full and current stock of traditional composites in a variety of shades can be costly and difficult to manage and maintain. As a single-shade universal composite, OMNICHROMA allows the dentist to forego the time and stress of shade selection and simplifies life for the assistant with composite ordering and maintenance. All of this also results in time and cost savings.