Dental Lab Products revisits the five most-read step-by-step technique articles of 2015.
It's hard to believe 2015 is almost over. But what a year it was-and in the dental lab world, it was filled with cutting-edge innovation and remarkable new techniques using new and existing products.

In the pages and sites of Dental Lab Products over the last year, you've read many of these step-by-step techniques. Every year, you tell us that these are the articles that matter most to you and your lab. So this year, we wanted to bring you a recap of the techniques you read the most.
Here are the step-by-steps you checked out the most in the past year. Just click the button below to get started ...


In this case study, a 70-year-old individual with advanced periodontally involved teeth having class three mobility presented for comprehensive implant restorations.
He had few remaining teeth, necessitating extractions. His desire was for fixed restorations, not removable prosthetics. The patient was in good health with no medical contra-indications for the surgical/prosthetic endeavors he was about to undergo. Click here to check out the full technique.



Technique: How to cooperatively fix a failed cosmetic case
Taking a comprehensive approach to diagnosing esthetic cases proves an invaluable first step in comprehensively treatment planning even the most seemingly straight forward of cosmetic cases. 1, 2
Then, applying the necessary skills to evaluate the biological, structural, functional and esthetic factors that influence the smile and the oral health that supports and maintains it becomes equally important to ensure long-term predictability.3,4 Most significant, however, is coordinating communication among all members of the interdisciplinary team-including the laboratory ceramist-to coordinate treatment and ensure the selection and use of the most appropriate materials and restorative designs. Click here to read the rest of the step-by-step technique.



Step by step: An easier cost effective way to deliver articulated cases
Durable and stronger than most other plastic articulators, Wondertech Articulators (from Dental Creations) do not have stability problems. The articulators function much like metal “Foster” articulators.
Once articulated, the case can easily be put through the same functions and excursive movements as metal or semi-adjustable articulators. Click here to learn a great new technique with Wondertech articulators.



Technique: How to create the best esthetics using modern digital technology
New methods of utilizing CAD/CAM digital dental technology are growing every day. In the future, this approach will be the most common when we fabricate restorations for our clients. It has certainly changed the way our laboratory industry operates.
We can produce restorations at a more predictable level with less cost than we were able to in the past, and, as an added bonus, the product is better! It is another option available to us and, many say, the wave of the future. Click here to see how Luke Kahng used CAD/CAM to create amazing esthetics.



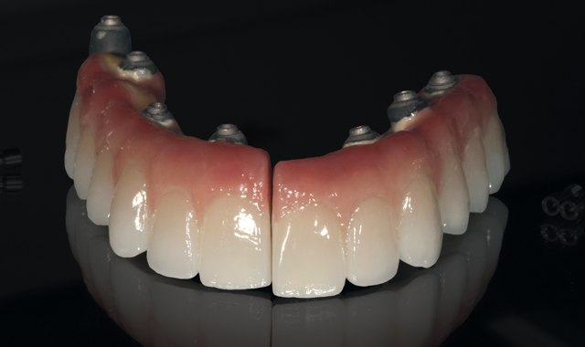
Technique: Building a full-mouth hybrid denture
Screw-retained full-mouth dentures are becoming very popular with clinicians and technicians alike. Everyone is becoming more familiar with the techniques we can use to fabricate these restorations. Hybrid bars as a substructure are a near-guarantee, with the porcelain directly fused to the bar by the technician with ease.
Our case study will provide a few tips that should help technicians and dentists alike to work even more predictably with titanium. Click here to read the entire step-by-step.
