How one scanner enables this busy lab to improve its scanning speed and efficiency.

I have spent the last decade going full force into digital dentistry and mastering the most efficient and successful ways to use state of the art technology to masterfully craft the complex cases that I routinely handle.
I recently started utilizing the Freedom HD Scanner by DOF for milling in my lab, which allows me to streamline the process of fabricating these cases. The Freedom HD Scanner is fast and compatible with our articulators and allows all-in-one milling, which combines three steps into one. Being able obtain a pre-scan, detailed scan and antagonist scan all in a single step is a remarkable, time-saving convenience for my extremely busy laboratory.
Trending article: 10 reasons for dental labs to be optimistic in 2017 and beyond
Additionally, being able to read occlusion while the model is attached to the articulator allows us to move more quickly and efficiently through cases. The fact that the quality of the scans does not suffer at the expense of this convenience makes the Freedom HD Scanner an irreplaceable aspect of lab operations. The scans are high quality and accurate, and thanks to the innovative Implant Multi-die scanning process, are conveniently obtained. This is why we have made the Freedom HD Scanner an integral component of our daily lab operations.
Case study
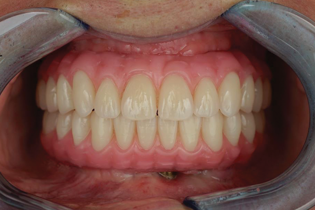
In Figure 1, readers can see the patient wearing the maxillary and mandibular dentures fabricated by doctor. Figure 2 shows the smile view with dentures.


Fig. 1 Fig. 2
In Figure 3, the author shows how to fabricate PMMA with composite gum tissues from doctor’s dentures (image specifically shows the maxillary part).


Fig. 3 Fig. 4
Figure 4 shows the mandibular PMMA, and checking the model fit against the PMMA.
In Figure 5, the maxillary model is placed in DOF Freedom HD Scanner and scanned. Figure 6 shows the scanned image.


Fig. 5 Fig. 6
Continue to page two to read more...
Figure 7 shows the author putting Maxillary PMMA provisional on the model in order to scan the two components together. The scanned preview of the digital date in exocad is shown in Figure 8.


Fig. 7 Fig. 8
In Figure 9, scan bodies were attached on the maxillary model for scanning together. The results of the scan are shown in Figure 10.
More from the author: Technique: A new (digital) way to create a locator bar


Fig. 9 Fig. 10
Figure 11 shows the tissue placed on the maxillary model for scanning. The scanned maxillary model with tissue can be seen in Figure 12.


Fig. 11 Fig. 12
The mandibular model with tissue were scanned, using the same steps as the maxillary scan (Fig. 13). The results of the scan are seen in Figure 14. The author then read the occlusion relationship directly from the mounted models on the articulator (Fig. 15).


Fig. 13 Fig. 14
Readers can see the scan resulting from articulated models in Figure 16. Figure 17 shows that all the scan data, including occlusion relation, provisional restorations, base model with implant positions and tissue data.


Fig. 15 Fig. 16
Conclusion
The ease and convenience the Freedom HD Scanner provides has vastly improved lab operations as well as my ability to conveniently and quickly complete complex cases. It is fast, efficient and accurate and is a constant time saver in the way that it combines multiple steps at once. In my opinion, the Freedom Scanner HD is a definite must-have for technicians and laboratory owners, especially those who handle complex cases.

Fig. 17