How black triangle treatment with Bioclear can be used to resolve esthetic concerns.


×
Partner Perspectives allows marketers to connect directly with the DPR audience by enabling them to share their content. This content does not necessarily reflect the views of Dental Products Report editorial staff or MMH.
Learn more
Become a partner
The patient is a male who presented with a chief concern of unesthetic black triangles in the upper anterior and lower anterior sextants. He had recently completed Invisalign treatment to address the black triangles and was disappointed that the orthodontic treatment didn’t resolve his esthetic concerns and in fact worsened the esthetic dilemma. He subsequently sought out a conservative solution for black triangle treatment.
Black triangle treatment with Bioclear is an excellent additive solution. Because the patient had completed orthodontic alignment of his arches, Bioclear’s new prescriptive Black Triangle Kit was used. The prescriptive kit was designed for post-orthodontic finishing of cases where black triangles may have resulted. The kit would also be ideal for any orthodontically well-aligned cases.
The patient was congenitally missing tooth #26. The black triangles were moderately large in size. The challenge was to close the spaces and create anatomic tooth contours and widths and proper verticality of contact lengths.
Filtek Universal in shade A1 was used. The result was a beautiful blend of Filtek Universal with the natural tooth color, masking of the dark interdental spaces, and excellent polishability and shine retention.
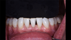
Fig. 1: Pre-operative photo with contrast background to fully show the dimensions of the black triangles resulting from congenitally missing tooth #26 and adult orthodontic treatment.
Fig. 2: Rubber dam isolation is done for best field control and soft tissue retraction. Following isolation, the teeth are dried and disclosing solution applied once to reveal biofilm. Biofilm is subsequently removed with aluminum trihydroxide in a Bioclear Bioblaster. Rubber cup and pumice is inadequate for removal of biofilm in the interproximal spaces, which are areas critical for strong adhesion and effective closure of black triangles.


Fig. 1 Fig. 2
Fig. 3: Black Triangle Kit small incisor matrices placed. Tooth #24 is to be injection molded first. All matrices are preselected using the Black Triangle Gauge prior to rubber dam isolation. The mix of matrices was chosen to adequately close the spaces and maintain vertical contacts without canting.
Fig. 4: Lingual view with matrices placed to show the change in tooth contour that will be obtained to achieve adequate space closure.


Fig. 3 Fig. 4
Fig. 5: Injection molding and shaping of tooth #24 completed. Tooth #25 matrixed and ready for injection molding.
Fig. 6: Tooth #25 injection molding completed and matrices yet to be removed. Critical to injection molding is the excess volume, which creates a monolithic inner core while driving defects to the outer layer. This outer layer is subsequently removed, while the inner core is trimmed with a disc to achieve the final desired shape.


Fig. 5 Fig. 6
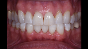
Fig. 7: Labial view of the completed case. Four black triangles closed between teeth #22-27.
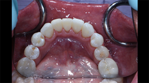
Fig. 8: Lingual view of completed case to show the anatomic shapes and polish pleasing to the tongue.


Fig. 7 Fig. 8
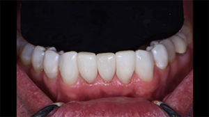
Fig. 9: Immediate post-operative view with contrast. Note the immediate closure of spaces, atraumatic tissue condition and tissue adaptation to the new shapes.
Fig. 10: Retracted views. Teeth are still dehydrated, but color blending with Filtek Universal can already be appreciated.


Fig. 9 Fig. 10
Fig. 11: Immediate post-operative lingual view again to show atraumatic and favorable tissue response and adaptation.
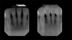
Fig. 12: Pre-operative (left) and post-operative (right) radiographs. The post-operative radiograph reveals the intimate adaptation and infinity edge margins that lend to the favorable tissue responses. Bioclear’s patented anatomic matrices enable predictable, atraumatic outcomes with subgingival contour changes unlike any other direct restorative methods.


Fig. 11 Fig. 12