How COLTENE’S ONE COAT 7 UNIVERSAL offers one bond for all application techniques. You are going to your first dental convention. Rows and rows of booths catch your eye, but the large, splashy ones seem more exciting and more inviting. Dental ads designed by large advertising companies have the same effect. But the best marketing doesn’t necessarily represent the best materials.

You are going to your first dental convention. Rows and rows of booths catch your eye, but the large, splashy ones seem more exciting and more inviting. Dental ads designed by large advertising companies have the same effect. But the best marketing doesn’t necessarily represent the best materials.
Some lesser-known companies have great research teams and extraordinary products. COLTENE has been creating quality products globally for the past 30 years. Their latest bonding agent, ONE COAT 7 UNIVERSAL, is a truly universal adhesive. Its distinctive triangular bottle or single-dose capsules hold a liquid agent that bonds to all surfaces using all techniques, without the need for silane or a ceramic primer.
ONE COAT 7 UNIVERSAL is a light-cured, single-component bonding agent for self-etch, selective-etch, or total-etch techniques. The material bonds to enamel, dentin and ceramics, and it seals sensitive dentin as well. Dual-cure needs are answered when its One Coat 7.0 Activator is added. No primer or silane needs to be used, even when bonding composite to zirconia, titanium and gold.
Trending article: Setting up your practice for success in 2019
Product testing has displayed excellent results. ONE COAT 7 UNIVERSAL was shown to have the best self-etch adhesion values when compared to five current bonding agents1 (Fig. 1). The material also showed excellent shear bond strength values using the total-etch technique2 (Fig. 2).
ONE COAT 7 UNIVERSAL self-etch adhesion values.

Shear bonding strength values of ONE COAT 7 UNIVERSAL.

The product’s triangular bottle contains 300 applications per bottle and has a unique no-leakage dropper system. ONE COAT 7 UNIVERSAL received a good/excellent rating from Catapult Educators. Post-op sensitivity levels are virtually non-existent, and it has an excellent marginal seal and anti-bacterial properties.3
The product is a great match with COLTENE’s unique new composite system, BRILLIANT EverGlow®.
ONE COAT 7 UNIVERSAL is an eighth-generation adhesive, despite the “seven” in its name. As such, it has many of the benefits of eighth-generation materials as well as its own special qualities.
MDP, included in the adhesive, is a wetting agent with a hydrophobic group that works like silane to keep water from the bonded area. This adds to the bond strength between composite and zirconia, gold and other metals.4
There are different requirements for the material for total-etch, selective-etch and self-etch. While total-etch continues to have its proponents for all cases, many dentists now limit etchant to enamel to decrease potential post-op sensitivity. Enamel etching should be limited to 15-20 seconds and rinsed off with a full water spray to keep the tooth hydrated.4 Over-drying can lead to post-op sensitivity. Total-etch is best limited to 34 percent phosphoric acid and used in cases with little dentin exposed (minimal thickness veneers, sealants, fissurotomy bonds). On the other hand, self-etch can be used in fully dentin areas (crown preps, extremely deep restorations and core buildups) where total-etch could cause major sensitivity issues.
Continue reading on page 2...
Case presentations
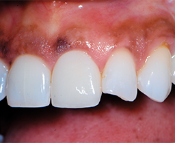
Case 1
A 28-year-old female shattered the mesial corner of tooth #10 (Fig. 3). Impressions were taken to evaluate bite issues and allow for the production of a mockup and prep guide. The mockup was created by adding BRILLIANT EverGlow to the correct mesial/incisal margin of tooth #10. A prep guide was made using Virtual®( Ivoclar Vivadent). It was determined that a single shade would work well after trying a few shades on the tooth without a bonding agent (Fig. 4 ).


Fig. 3 Fig. 4
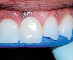
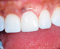
The tooth was cleaned with Consepsis® Scrub (Ultradent Products). Ultra-etch 34 percent phosphoric acid etch was placed in a total-etch technique on the labial bevel and lingual chamfer and all surfaces to be bonded. A VariStrip™ (Garrison Dental Solutions) was used to keep the etchant and bonding agent away from tooth #9, and ONE COAT 7 UNIVERSAL was applied lingually and facially to all exposed margins as well as to the bevels (Fig. 5). A small amount of BRILLIANT EverGlow shade A1/B1 was added to the lingual of the prep guide and the template was placed in the mouth. More composite was added until final margins were created and cured using a Bluephase Style curing light (Ivoclar Vivadent). The composite was contoured using Super-Snap polishing discs (Shofu Dental Corporation) and Groovy Diamond® Polishing Brushes (CLINICIAN’S CHOICE) and Enhance® Polishing Cups (Dentsply Sirona). The color match was excellent and the margins “disappeared” thanks to the optical properties of BRILLIANT EverGlow (COLTENE) (Fig. 6).


Fig. 5 Fig. 6
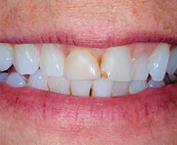
Case 2
A 60-year-old female desired a better smile for her son’s wedding in two weeks (Fig. 7). The patient was told that orthodontics and porcelain veneers or crowns would be the best option, but she badly wanted a temporary fix for wedding photos. A treatment plan of laser crown lengthening, replacement of dark, decaying fillings, and full facial bonds of teeth #8, 9 and 10 was decided.


Fig. 7 Fig. 8
Related reading: Why you need to rethink your bonding technique
Replacement of large restorations on teeth #8 and 9 was accomplished using ONE COAT 7 UNIVERSAL and BRILLIANT EverGlow shade BL (Figs. 8-10). Laser gingivectomy was accomplished on teeth #8 and 10 using the Gemini® laser (Ultradent Products).


Fig. 9 Fig. 10
Consepsis Scrub was applied to teeth #8, 9 and 10 after the teeth were prepared. Etchant (Ultra Etch 34 percent) (Fig. 11) and ONE COAT 7 UNIVERSAL was applied to teeth #8, 9 and 10 (Fig. 12).


Fig. 11 Fig. 12
A prep guide had been created from a mockup model and BRILLIANT EverGlow shade BL trans was placed at the incisal edges of the prep guide (Fig. 13). Shade BL was applied to all three teeth. The teeth were shaped and polished using Super-Snap discs (Shofu Dental Corporation) and a FlexiBuff and Enamelize (Cosmedent). This is a simple way to facilitate a complex task and the patient was thrilled with the result (Figs. 14-15).


Fig. 13 Fig. 14
Conclusion
COLTENE’s ONE COAT 7 UNIVERSAL is an excellent new option for bonding to virtually any surface. Its synergy with the composite BRILLIANT EverGlow allows for excellent esthetics, ease of function and strength.

Fig. 15
References
1. Internal COLTENE research data.
2. Internal COLTENE research data.
3. Quality Labs, Germany, Proliferation test for antimicrobial activity with S.epidermidis.
4. Trost, L, Optomizing Adhesion for Practical Outcomes, CE self study.
