Why the Ketac Universal Aplicap Glass Ionomer Restorative from 3M is an excellent choice for pediatric dental procedures.

Children can be restless. Managing their fidgeting and keeping them on track for treatment is often as challenging as the dental treatment itself. Families today have many commitments related to work, the children’s school, homework, sports and social activities. Because of this normal daily chaos of life, dental appointments need to be tightly scheduled, and treatment that can be simplified is desirable for patients, parents and dentists alike.
When treating children and teens, glass-ionomer systems offer remarkable advantages. They are biocompatible and suitable for many applications. They chemically bond to tooth structure and have good resistance to wear and fracture. They also have a coefficient of thermal expansion similar to that of tooth structure, and the glass component has fluoride ions that are released into enamel and dentin. In addition, their tooth colored appearance is pleasing to parents.
Trending article: 6 coming technologies that will change dentistry forever
Back in the 1970s and 1980s, the glass ionomers got off to a slow start in the United States, compared to their use in Europe and Australia. As time passed, and the materials improved, dentists worldwide came to appreciate their better handling properties, versatility and durability. Besides their use in children, glass ionomers are well suited for certain geriatric applications, cervical restorations, core buildups and many interim-type restorations.
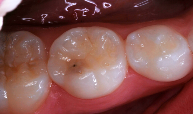
Recently, a mother brought in her 6-year-old daughter who had an occlusal caries lesion of a mandibular primary second molar (Fig. 1). I told the mother about all the advantages of glass ionomer filling materials, and I also related that KetacTM Universal, introduced in September of 2016, was the latest advancement and an excellent choice for her daughter’s treatment.


Fig. 1 Fig. 2
3M™ Ketac™ Universal Aplicap™ Glass Ionomer Restorative has all the favorable properties of glass ionomers, along with the following key advantages:
Continue to page two to read more...
Treatment
The 6-year-old patient was told that she had a tooth in the back of her mouth that needed a little bit of fixing. She was extremely cooperative and treatment proceeded as follows.


Fig. 3 Fig. 4
After appropriate local anesthesia, the tooth was isolated with a rubber dam, using the “slit dam” method (Fig. 2). Outline form was prepared using a high-speed diamond bur, exposing the extent of the caries lesion (Fig. 3). Carious dentin was debrided with slow-speed round burs and the cavity preparation was completed (Figs. 4 and 5).


Fig. 5 Fig. 6
The Ketac™ Universal Aplicap™ was then placed in the activator. The capsule was activated by squeezing the handle and applying pressure for 2-4 seconds to ensure that the acid was fully expressed into the glass powder (Fig. 6). The acid component chemically “melts” the glass powder, creating a mixture that hardens and resembles tooth structure.
Related reading: How to place an anterior implant using a digital workflow
The Aplicap was then placed into the Rotomix™ Capsule Mixing Unit and set for 8 seconds (Fig. 7). The power unit blends the mixture into a putty-like state, ready for injection into the cavity preparation (Fig. 8). After the Aplicap was placed into the injection applicator, the blended Ketac Universal was injected slowly, from the depth of the preparation to overfill (Fig. 9). Care is taken to avoid air entrapment during injection.


Fig. 7 Fig. 8
Continue to page three to read more...
As soon as injection was completed, the cement was compressed into place with a ball burnisher (Fig. 10). Not only is Ketac Universal non-sticky, but it also has a working time of 110 seconds.


Fig. 9 Fig. 10
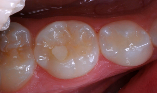
Once set, the material was ready for finishing (Fig. 11). A large round bur at slow-speed trimmed excess material from the margins (Fig. 12). With the rubber dam still in place, polishing was completed with a 3M™ Sof-Lex™ Diamond Polishing System wheel (Fig. 13).
Trending research: Study shows why diabetics are more susceptible to periodontitis


Fig. 11 Fig. 12
After removal of the rubber dam, occlusal contacts were evaluated. The Ketac Universal restoration is shown seven weeks postoperatively (Fig. 14).


Fig. 13 Fig. 14
Conclusion
Ketac™ Universal Aplicap™ is a remarkable advancement in direct application glass ionomer restorative materials. The pre-measured capsule makes for rapid mixing and easy delivery. The material has exceptionally good handling properties, excellent biocompatibility, fluoride ions in the glass and a good range of use in clinical dentistry.