The cordless Tri Auto ZX2 electric handpiece facilitates an efficient and safe procedure.

Endodontic treatment can sometimes be a daunting procedure in dentistry. When performing a root canal, the best approach is to find your comfort zone. The MORITA Tri Auto ZX2 cordless electric handpiece (Fig. 1) allows for ergonomic positioning (Fig. 2) and unrestricted access without the feeling of being tethered to a base motor.
Fig. 1


Fig. 2Fig. 1
This handpiece has five different operating modes for canal shaping and measurement. There are also eight programmable memory settings (Fig. 3) that can be set in varying combinations of motor operation, speed, torque and automation level. The handpiece is preprogrammed for different stages of canal treatment. As the operator gets comfortable with each mode, the settings can be customized as needed.
A practical approach to root canal instrumentation was used in the following case, using these preprogrammed settings.
Fig. 3


Fig. 4Fig. 3
Shape the upper part of the canal (m2) – The memory two mode (Fig. 4) is set for coronal shaping of the canal. The motor rotates clockwise 360 degrees at 600 RPM. The torque setting is 3.0 Ncm. The use of a Gates Glidden (Fig. 5) or larger file to enlarge the orifice of the canal is suggested. Using the Gates Glidden in a size 2-4-3-2 progression was used in this case.
Fig. 5


Fig. 6Fig. 5
Canal measurement (m1) – The memory one mode (Fig. 6) allows for the electronic measurement of the root canal. The motor doesn’t rotate in this mode. With a lip clip applied to the corner of the mouth and file holder attached to the file in the root canal, the length can be determined (Fig. 7). As the file approaches the minor diameter or apical constriction, there’s an audible sound and the file position and overall length can be confirmed on the LCD display.
Fig. 7


Fig. 8Fig. 7
Glide path (m3) The optimum glide path (OGP) function creates watch-winding and balanced force motions in either 90-120-degree, 180-270-degree, or 240-330-degree-arcs (Fig. 8). This forward and reverse rotation allows a clinician to negotiate a canal path as if using a hand file. Use of a narrow taper file, such as the .02 taper PathFile from Dentsply Sirona, is ideal for this situation (Fig. 9). Once the path is established, the shaping can progress.
FIg. 9


Fig. 10FIg. 9
Canal Shaping (m4) – In Optimum Torque Release (OTR) mode, the file rotates clockwise at 300 RPM (Fig. 10). The trigger torque is set at 0.2 Ncm for a more sensitive response. The OTR function used during canal shaping reverses smoothly upon increased torque in the canal. When the rotating file exceeds to set torque limit, the file automatically starts alternating between forward and 90 degree-reverse rotation. You can use your preferred choice of file systems to shape the canal. In this case, ProTaper files from Dentsply Sirona were used (Fig. 11).
Fig. 11


Fig. 12
Fig. 11
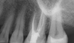
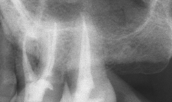
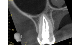
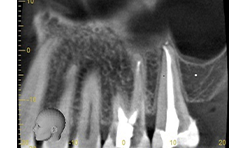
Once the canals are cleaned and shaped to their appropriate size, the root canal system can be obturated. In this case, the tooth was obturated using a warm vertical down pack with Obtura backfill (Figs. 12-15).
Fig. 13


Fig. 14Fig. 13
Fig. 15

The MORITA Tri Auto ZX2 cordless handpiece provides an efficient, safe and predictable method for length determination and canal instrumentation for both general dentists and endodontic specialists alike.