How Komet USA’s DISCstance™ IPR System offers a new and improved option for interproximal reduction procedures.

Interproximal reduction (IPR) involves the selective removal of enamel from the contact surfaces of teeth, usually incisors. A viable alternative to tooth extraction, IPR is particularly suitable for adult patients undergoing braces or aligner therapy.
IPR is an indispensable component of successful orthodontic treatment, and it has a range of indications. These include correcting tooth size discrepancies in the upper versus the lower arch, eliminating crowding, and increasing the stability of orthodontic-treatment results by lengthening the contacts between teeth, especially in the lower incisors. The most common uses for the procedure are to correct a Bolton Discrepancy, to help upright teeth, to relieve crowding and to reshape teeth to close black triangles:
• Bolton Discrepancy: The mesiodistal widths of the teeth are measured to determine if there is a discrepancy between the size of maxillary and mandibular teeth. Often, small lateral incisors, large lower incisors or oversized premolars can create less-than-optimal inter-arch relationships. Small reductions can be made to several teeth to balance these discrepancies, allowing the doctor to achieve a Class I canine and molar relationship with ideal overjet and overbite.
• To help upright or “lingualize” teeth: Performing IPR on flared upper and/or lower incisors, followed by closing the resultant space on round wires, can improve esthetics and anterior coupling.
• To relieve crowding: IPR can aid the alignment of moderate to severe crowding by creating extra space to move or rotate teeth. IPR is also extremely helpful in aligner cases.
• To reshape teeth to close black triangles: Fan-shaped teeth that are wider at the incisal aspect are oftentimes associated with “black triangles,” small spaces that form between the interdental papilla and the base of the contact in incisors, effectively ruining an otherwise perfect orthodontic finish. Much like a carpenter sanding two pieces of wood in order to form a tight joint, teeth can be reshaped to create longer and more esthetic contacts.
A variety of options is available for performing IPR, including interproximal strips, IPR strip systems (Fig. 1), mosquito burs, reciprocating IPR systems (Fig. 2) and rotary discs (Fig. 3). Some methods can be unpredictable, time-consuming, uncomfortable for the patient, and awkward for the doctor. Specialized rotary discs (used with a slow-speed handpiece) offer the fastest and most comfortable option.



Fig. 1 Fig. 2 Fig. 3
Next: See one IPR system in action

The newly introduced DISCtance™ IPR system (Kit 4671) from Komet USA (Figs. 4-5) features a range of specially designed stripping discs that ensure the amount of enamel is easily, efficiently, and precisely removed (usually 0.15/0.20/0.30 mm).
The DISCstance IPR kit contains three 0.15-mm-thick, fine-grit IPR discs in three coating versions: the RS15FV.HP.200 is coated on the upper side; the RS15FH.HP.200 is coated on the underside; and the RS15F.HP.200 is coated on both sides. The kit also includes the medium-grit 0.20-mm-thick RS20M.HP.200 and 0.30-mm-thick RS30M.HP.200 discs, which are coated on both sides. Using diamond discs with sequentially increasing thickness simplifies precise removal of the required amount of enamel.
Please note: The diamond-grit sizes for the DISCstance instruments were created based on an optimal ratio of the efficiency of substance removal and the resultant surface polishability of the tooth. Commonly used discs are generally too coarse for this application, often leading to iatrogenic plaque accumulation.


Fig. 4 Fig. 5
The DISCtance™ IPR System also addresses three issues associated with traditional rotary discs: durability, rigidity and precision.
• Durability: The diamond-coated DISCtance discs keep their flat shape longer than traditional discs.
• Rigidity: Some traditional discs are too flexible, leading to durability issues, or they are too rigid, which can increase ledging and decrease control. The DISCtance discs are specially designed for optimal control, making them neither too flexible nor too rigid.
• Precision: Traditional discs only come in one thickness, and that thickness varies between discs; these stand-alone discs do not comply with recommended IPR specifications. The DISCtance IPR System includes five different discs for superior precision, and the thickness of each disc is based on frequent specifications in popular aligner systems.
Next: A case study


Case study
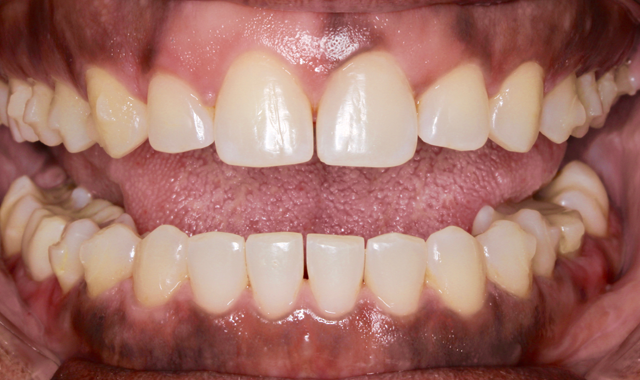
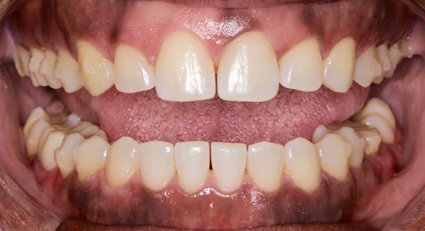
The patient is a 30-year-old female undergoing aligner therapy for mild, generalized spacing. The digital setup indicated that the patient would have black triangles between her maxillary and mandibular central incisors, so 0.2 mm of IPR was planned in both locations. She presented at the midpoint of treatment, with spaces closed, and with the predicted black triangles visible (Figs. 6-7).


Fig. 6 Fig. 7
IPR was undertaken to lengthen the contacts between these incisors and eliminate the black triangles once space closure was completed.
Step 1: To avoid ledging and for best results, always make sure incisors are properly aligned before performing IPR
Step 2: Break initial contact with a medium-grit diamond strip (DS25, Komet USA). This also ensures that rotary diamond discs do not jam (Fig. 8).
Step 3: Place the 0.15-mm disc (RS15FH.HP.200) buccally and guide it slowly through the contact starting at the occlusal-most aspect. Approaching from the buccal will help reduce the likelihood of ledging the teeth.


Fig. 8 Fig. 9
Step 4: To ensure the removal of the appropriate amount of enamel, assess and measure the enamel to be removed with a thickness gauge (Fig. 9). Continue to use the gauge throughout the procedure to confirm the desired amount of interproximal reduction.
Step 5: Follow with the diamond discs incrementally in ascending order of thickness until the required amount of enamel has been removed. In this case, continue with the IPR disc RS20M.HP.200 to achieve the desired substance removal of 0.2 mm. Note: Be sure to cool the area with water during use, and work with a disc guard (Fig. 10).


Fig. 10 Fig. 11
Step 6: Once IPR is complete, finish each contact with an interproximal strip, contour interproximal and incisal edges as necessary with the specially designed mosquito bur (8392.FG.016, Komet USA), and follow up with fluoride treatment to protect the enamel.
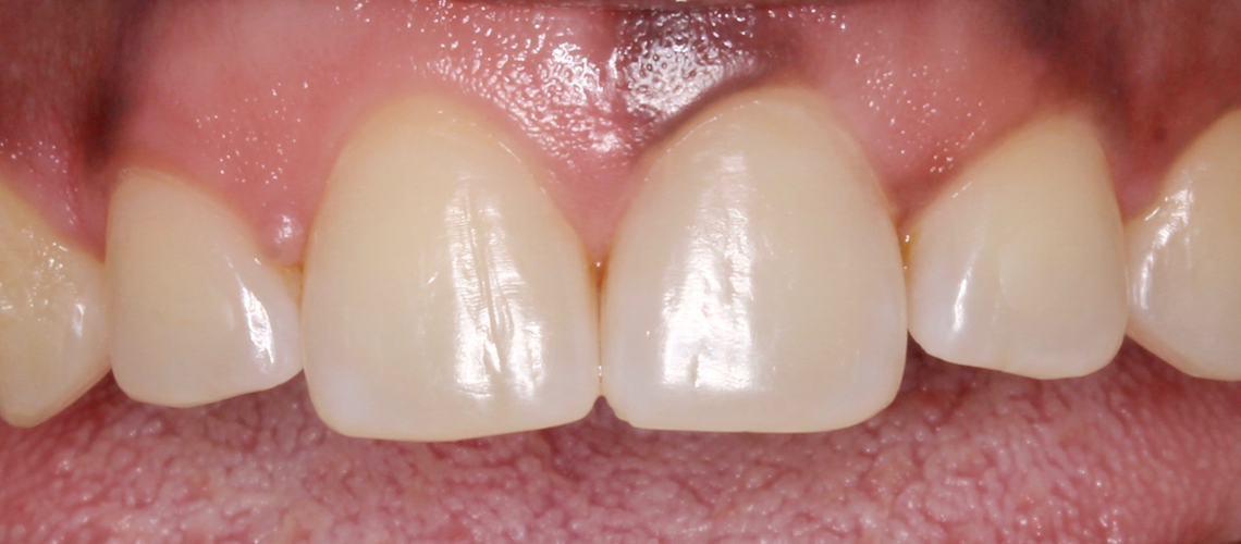
Step 7: Figures 11 and 12 exhibit the final result. Once contacts are closed, black triangles are eliminated.

Fig. 12
Conclusion
Mastering the technique of IPR is often essential in providing patients with the best possible orthodontic outcome. While there are several methods for performing IPR, rotary discs offer the best combination of quality, simplicity, and efficiency. The new DISCtance™ IPR System offers some key improvements above and beyond traditional discs, including a stiffer and more resilient disc that remains durable over time, and the three different thicknesses enhance precision and ease of use.
