One of the biggest reasons dentists avoid partial coverage restorations like onlays and veneers are problems related to how to temporize or provisionalize preparations without mechanical retention or axial walls.

One of the biggest reasons dentists avoid partial coverage restorations like onlays and veneers is problems related to how to temporize or provisionalize preparations without mechanical retention or axial walls. A new cement from VOCO, Bifix Temp, could be a great help in overcoming this obstacle.
Crown preparation with subgingival margins are part of the history and fabric of dentistry. Crowns are often preferred to partial coverage restorations because of their perceived simplicity. Many times it’s just because crowns are easier to temporize!
With the proper use of new materials like Bifix Temp (VOCO) and supra-gingival adhesive restorative techniques, crowns with subgingival margins should be the exception, and not the rule. Utilizing supra-gingival, minimally invasive adhesive restorative techniques, to intentionally keep restorative margins supra-gingival, can render traditional mechanically retained restorations like full crowns virtually obsolete. The greatest benefit adhesive dentistry can bring to a patient is periodontal health, in addition to many other attributes, as well as making dentistry easier and more predictable.
Disadvantages of axial walls and mechanical retention

The lack of trust in adhesion, the perceived need for mechanical retention and the need for an axial wall with minimum heights of 3 to 4 mm, often leads to placing the margins subgingivally, as we frequently run out of tooth structure after occlusal reduction and caries removal, especially on short teeth like second molars. Reitemeier concluded in a clinical research study that subgingival crown margins double the chance of periodontal bleeding upon probing. It is well known that calculus and root surface roughness have a very damaging effect on our patients periodontal health and we are swift to eradicate such periodontal enemies. Nevertheless it is at least as damaging, if not more, to have overhangs, open margins, or any subgingival restorative margin, it is permanent tartar.1,2 Additionally axial wall preparation has the significant negative side effect of allowing the diamond rotary cutting instruments close proximity to the pulp, thus increasing the temperature and irritating the pulp.3,4
Preventing subgingival margins

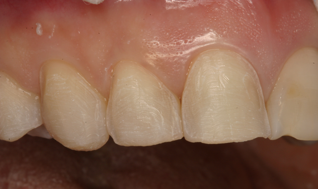
The location of the restorative margins should not be left to luck. Using a supra-gingival protocol, like the five principles of supra-gingival restorative dentistry, helps prevent or minimize subgingival restorative margins. The second principle is to avoid, boxes, axial wall reduction or any other mechanical feature which is counterproductive to staying supra-gingival or to adhesive dentistry. Following this principle means that even after caries removal, old restoration removal and occlusal reduction we end up with a tooth that is flat just above the gum (Fig. 1). No effort will be made to create axial walls, boxes or any retentive feature, as any of this would lead to subgingival margins and would be counterproductive. We must trust in adhesion. In fact unretentive flat preparations are better suited for adhesive dentistry (Fig. 2). They are mechanically better, easier to cement and to prepare. One large problem with unretentive preparations is how to retain temporaries or provisional restorations.
Making temporaries for preparations without mechanical retention

Predictable provisional restorations for onlays and veneers are indispensable, although many find them difficult. Many choose to do leave-in or shrink wrap provisionals, because they lock into place. Leave-ins have the disadvantage of usually leaving too much flash in the gums. This often causes inflammation and bleeding, upon provisional removal, which increases the difficulty of resin cementation. Additionally leave-in temporaries become a mostly doctor procedure, as all the cleanup of the excess provisional material has to be done with a handpiece or a 12 blade, both of which are doctor only procedures. In my practice, provisionals are mostly performed by my assistants. I prefer that they remove the provisionals, trim margins and adjust occlusion extra-orally, and then cement. This technique gives me cleaner margins, which means that at cementation, the gums will be less inflamed, there will be less bleeding, making cementation a snap. It also has the advantage of being mostly assistant work, thereby freeing me up to see other patients.
For an onlay temporary, take a preoperative impression of the tooth using some type of hydrophilic alginate substitute like Silginate (Kettenbach). For veneers make a silicone putty matrix of a suitable wax up. After tooth preparation, fill the silicone matrix with some type of Bis-Acryl temporary material, one of the best on the market is Structur 3 (VOCO). It has excellent translucency, strength and with a top surface so smooth it makes polishing unnecessary. Removal of flash can be done in seconds using a Sof-lex Disk (3M ESPE).

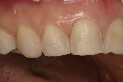
The problem has always been that most provisional cements are too weak to support flat preparations without mechanical retention. Enter Bifix Temp; this is resin cement, which shrinks like any composite while curing. It is strong and stiff, so it locks on to any undercuts, interproximal spaces, etc. (Fig. 3). If necessary I may spot etch and bond, Bifix Temp, being a resin, it will adhere to the bonded spot very well. I have been using resin temporary cements for many years, but I find Bifix Temp superior because it is dual-cure making the procedure much faster. It also has great translucency allowing for excellent blending of the temporary restoration (Fig. 4), which is very important for veneer cases, and cleanup is easy. It is important to mention that Bifix Temp as a resin cement can bond to resin buildups, so a layer of Vaseline should be placed over the buildup before cementation to avoid complications.
Using Bifix Temp, can take away one of the biggest excuses to cut full crowns, and hopefully will encourage more dentists to start using supra-gingival minimally invasive adhesively retained restorations like veneers and onlays more often.
References:
1 Reitemeier B, Hänsel K, Walter MH, Kastner C, Toutenburg H. Effect of posterior crown margin placement on gingival health. J Prosthet Dent. 2002 Feb;87(2):167-72
2 Lareto D. Effects of cervical margins on gingival. J Cal Dent Assc, 1969; 45; 19
3 Thomas MS, Kundabala M. Pulp hyperthermia during tooth preparation:the effect of rotatory instruments, laser, ultrasonic devices and airborn particle abrasion. CDA Journal 2012;40(9):721-731
4 Davis GR, Tayeb RA, Seymour KG, et al. Quantification of residual dentine thickness following crown preparation. Journal of Dentistry 2012; 40( 7): 571–576