Discover how Ivoclar Vivadent’s OptraSculpt Pad modeling instrument makes composite placement less time-consuming and more efficient.
Discover how Ivoclar Vivadent’s OptraSculpt Pad modeling instrument makes composite placement less time-consuming and more efficient.
Customarily, a condenser or plugger is used to place, condense or pack composite filling materials into cavity preparations. However, by using these conventional instruments, dentists may be presented with several challenges.1
For example, the process of using traditional condensers or pluggers can be inefficient and time-consuming because the viscosity of the instrument and composite will likely cause pullback during condensing of composite material, potentially resulting in flaws on the surface of the restoration or air bubbles within.
As a result, the integrity of the layered restoration may be compromised, requiring additional contouring.
Additionally, esthetic issues such as residual indentations or footprints may also occur in anterior restorations or cervical areas, rendering the surface area uneven. These esthetic problems must then be corrected by time-consuming supplementary finishing and polishing.2
Ivoclar Vivadent’s OptraSculpt Pad offers a solution to these problems. This contouring instrument features advanced foam attachments intended for the efficient, non-stick forming and shaping of composite resin restorations. It also facilitates more highly condensed layers to create smooth, even surfaces and highly esthetic results. 3
OptraSculpt Pad
The OptraSculpt Pad is used for the adaptation, modeling and surface shaping of non-polymerized packable composites specifically indicated for Class III, IV and V

restorations. It is also ideal for direct veneers, especially when using highly esthetic, sticky composites.
The OptraSculpt Pad features three unique components-a small spatula, inadhesive pad foam attachments, and reference scales-that set it apart from other modeling instruments (Fig. 1).
The small spatula works in conjunction with the inadhesive pads to place, shape and contour composite material. The disposable pads, which are available in 4 and 6 mm diameters, are comprised of polyethylene foam and EVA for easy composite adaptation and effectively prevents adhesion of the composite material to the instrument.

The highly flexible synthetic foam within the compressible pads physically adjusts to the anatomical form of the tooth preparation for optimal surface contact, enabling the restoration to be smoothly contoured.
Another advantageous feature of the OptraSculpt Pad is the horizontal line and vertical millimeter reference scale, which is located on the instrument handle. The reference scale establishes and compares appropriate symmetries, relative tooth width

proportions, incisal edge lengths, and angular alignments of restorations. This helps dentists to effectively ensure esthetic results (Figs.2 and 3).
See the Clinical Technique on the next page ...
Clinical technique
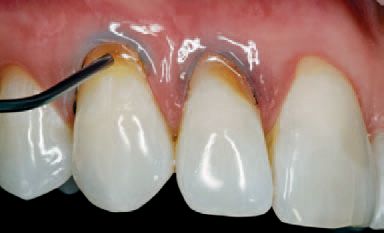
Step 1 The patient presented with Class V lesions on tooth Nos. 6 and 7 (Fig. 4). Each tooth was prepared by removing the decay on the cervical area of the dentin near the gingiva l margin. Etchant was applied to the enamel of the teeth and agitated for 15 seconds, after which the etchant was applied to the dentin and left to penetrate for 10 seconds (Fig. 5).


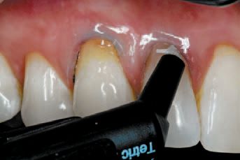
Step 2 The etchant was rinsed off completely and dried leaving the tooth surface slightly wet. Afterward, ExciTE F adhesive bonding agent was applied (Fig. 6) and light cured for 10 seconds.

Step 3 An opaque shade of Tetric EvoFlow composite was applied as a liner on the cervical area of each tooth to mask discoloration (Fig. 7). Then, the liner on each tooth was light cured.

Step 4 Tetric EvoCeram composite was placed on the cervical area of both teeth (Fig. 8).

Step 5 The OptraSculpt Pad was placed onto the modeling instrument and used to shape, contour and form the composite onto both preparations (Fig. 9).

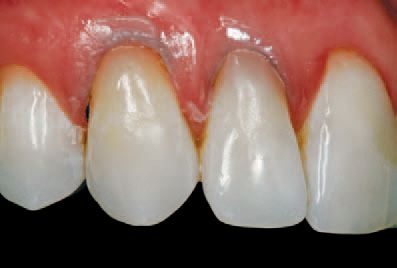
Immediately after modeling, the composite restoration surfaces appeared even (Fig. 10). The composite was then cured for 10 seconds using the Bluephase Style.

Step 6 Finally, OptraPol NG high-gloss polishers were used to polish the restorations at medium contact pressure (approximately 2N) in one step (Fig. 11).

These OptraPol polishers are composed of silicone and filled with micro-fine diamond crystallites (up to 72% wt), producing first-rate polishing that provides a natural-looking luster. The polishers quickly and successfully removed all surface roughness, leaving the restoration surface smooth while also rendering the complete restorations less susceptible to staining and plaque accumulation.
Conclusion
Dentists will enjoy using the OptraSculpt Pad modeling instrument because of its distinctive components- in-adheseive pads, a small spatula, the reference scale, and foam pads that are atraumatic to soft tissue, which is key while working in the Class V cervical margin-that eliminate time-consuming steps for a quicker and more efficient composite placement procedure.
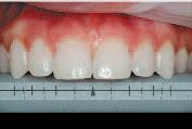
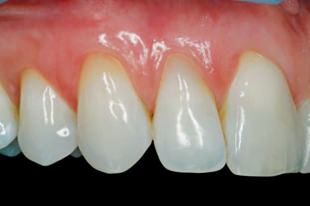
When placing composite for highly esthetic and anatomically correct anterior restorations (Fig. 12), OptraSculpt Pad enables non-stick shaping and contouring of composite material and also prevents pull-back, thereby facilitating the creation of smooth, compact and even restoration surfaces.

The OptraSculpt Pad is a component of the proficient and ergonomic Optra line of clinical dental accessories designed to simplify routine procedures by expanding patient comfort, maximizing operatory use and increasing cost effectiveness.
See References on the next page ...
References
1. Terry DA, Leinfelder KF. An integration of
composites resin with natural tooth structure:
The class IV restoration. Pract Proced
Aesthet Dent. 2004;16(3):235-42.
2. Leni F. Facilitating reproduction of occlusal
anatomy of posterior composite restorations.
The mini-matrix. Pract Proc Aesthet
Dent. 2001;13(7):539-544.
3. Ivoclar Vivadent. OptraSculpt Pad: Modelling
instrument for composite filling materials.
Amherst, NY: Ivoclar Vivadent; 2005:1-2.
4. Ivoclar Vivadent. OptraPol Next Generation.
Amherst, NY: Ivoclar Vivadent;
2005:1-4.