Dr. Ross Nash outlines how delivering esthetic results without causing discomfort is possible - with the right technique.
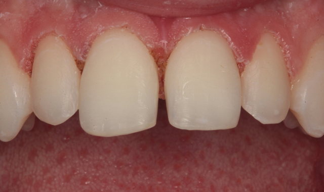
A young man presented with a central diastema, which he desired to close.
The lateral incisors were slightly malformed. Though orthodontic treatment was considered, cosmetic bonding was selected by the patient for its immediate effect. In addition, with cosmetic bonding, tooth contours and shade could be controlled.
My experience tells me that 10 years is a reasonable life expectancy for a direct composite veneer. The patient was happy with the plan to place direct composite resin veneers for the maxillary central and lateral incisors.


Fig. 1 Fig. 2
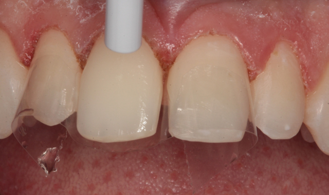
Figure 1 shows the patient’s four maxillary anterior teeth before treatment. To improve tissue heights, tissue contouring was achieved using a diode laser (Picasso dental laser, AMD Lasers) as shown in Figure 2.


Fig. 3 Fig. 4
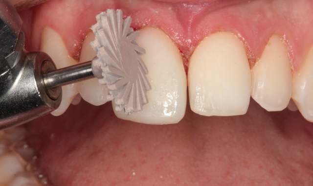
Facial contouring to correct for slight rotation of the right central incisor was accomplished with a fine diamond bur (878KF012, Alpen) (Fig. 3). Incisal contouring was also accomplished with the same bur (Fig. 4). The minimally-prepared teeth are shown in Figure 5.
I chose BRILLIANT EverGlow®, a universal composite of the latest generation of nano-hybrid composites by COLTENE. It was developed with a special focus on high, long-lasting gloss, shade esthetics and handling convenience. The shade assortment comprises three opacities: three opaque masking shades, seven universal Duo Shades suitable for single shade restorations and two translucent shades for optimal enamel imitation.


Fig. 5 Fig. 6


Fig. 7 Fig. 8
The right central incisor was isolated using a celluloid strip. Enamel etching gel (Etchant Gel S, COLTENE) was applied for 10 seconds and thoroughly rinsed (Figs. 6-7). The tooth was lightly dried using a water and oil free air/water syringe. The etched surface can be seen in Figure 8.


Fig. 9 Fig. 10
A seventh-generation bonding agent (ONE COAT 7 UNIVERSAL, COLTENE) was liberally applied with an applicator tip and air thinned (Figs. 9-10). The bonding agent was light cured for 10 seconds with an LED curing light (S.P.E.C.® 3, COLTENE), as shown in Figure 11.


Fig. 11 Fig. 12


Fig. 13 Fig. 14
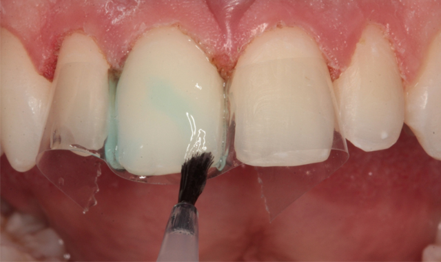
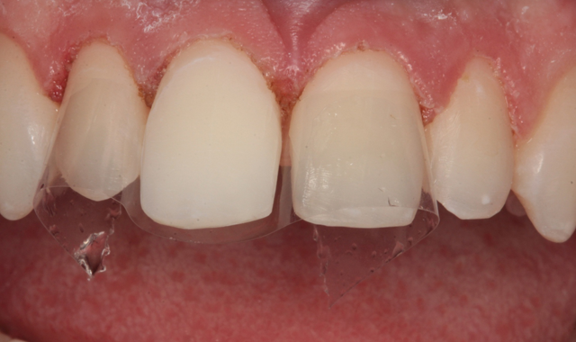
A composite instrument was used to place the composite (shade Bleach) from the lingual to the proximal (Fig. 12). This increment was light cured for 10 seconds with the LED curing light (Fig. 13). The same shade of composite was applied to the facial surface and contoured with a composite instrument (Fig. 14). This increment was light cured for 20 seconds (Fig. 15). Finally, a translucent shade of composite (Bleach Trans) was applied to the entire facial surface and light cured (Figs. 16-17).
A fine diamond bur (878KF012, Alpen) was used for additional contouring (Fig. 18).


	Fig. 15                                                                                                                 Fig. 16


Fig. 17 Fig. 18
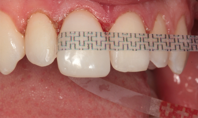
Aluminum oxide discs (Alpen® SwissFlex™, COLTENE) were used to help complete the contouring (Fig. 19). Alpen ShapeGaurd polishers - diamond impregnated polishers that are strong in polishing yet gentle on surfaces - were used to finish the polish. These polishers are engineered to adapt to any surface and distribute uniform pressure for fast, easy finishing and polishing. They are autoclavable for enhanced lifespan. The pink disc is used first (Fig. 20) and then the blue disc (Fig. 21) leaves a high gloss. Proximal surfaces were highly polished using aluminum oxide strips (Alpen SwissFlex, COLTENE) as shown in Figure 22.


	Fig. 19                                                                                                                Fig. 20


	Fig. 21                                                                                                                Fig. 22
The second central incisor was built in the same fashion. Since the proximal surfaces of the first direct veneer were highly polished, I was able to build the adjacent composite veneer directly against it.
After contouring, a composite spatula was used to “torque” the teeth slightly apart and the new composite was released from the previously polished surface. With this technique, a tight contact was achieved. After complete polishing was achieved for the left central incisor in the same fashion as the right central, the lateral incisors were completed (Fig. 23).


	Fig. 23                                                                                                                Fig. 24
Conclusion
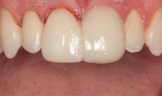
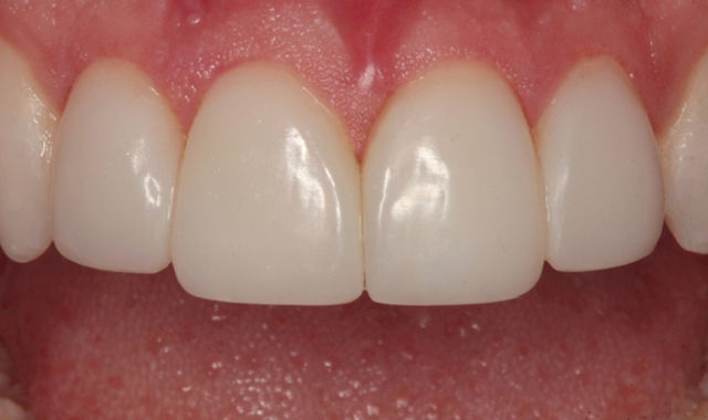
In Figure 24, you can see the finished case at the post-op appointment. The patient was extremely happy with the result and told me it had made a positive change in his life.