Cercon® ht Shaded Zirconia combines high strength with color accuracy and multiple applications.

All-ceramic restorations are increasingly popular due to their excellent esthetics and biocompatibility. Among the available dental ceramics, Yttria-stabilized tetragonal zirconia polycrystals (Y-TZP) exhibit the highest fracture strength and have been used for both anterior and posterior crowns and fixed partial dentures (FPDs).
Although the strength of the core material in Y-TZP is outstanding and the survival rates are high, clinical trials report fractures of the veneering material. To optimize the performance of these restorations, slow cooling and reduced numbers of firings may be used. Also, a modification of the crown design has decreased the risk of fracture, particularly by improving porcelain support and consequently increasing the reliability of the restoration. Clinical trials have demonstrated that the veneering ceramic fracture rate of fully veneered Cercon® ht Shaded Zirconia restorations produced with a pronounced anatomical core design and slow cooling after the ceramic firing isn’t different from porcelain-fused-to-metal restorations.
Another way to decrease the risk of technical complications is the exclusion of the veneering material in so-called monolithic restorations. However, legacy Y-TZP materials displayed only limited esthetic properties with low translucency and availability in opaque white color only. Recently, Y-TZP materials with improved translucency and color spectrum (e.g., Cercon® ht Shaded Zirconia, DENTSPLY Prosthetics, York, PA) have been introduced, making the monolithic Y-TZP restoration a viable treatment alternative.
Trending article: 4 ways to improve your practice's infection control in 2019
Monolithic crowns offer additional advantages such as a reduced production time and improved cost effectiveness. Another clinically relevant aspect of monolithic restorations is the less invasive preparation design compared to fully veneered crowns and FPDs. As Y-TZP is featured with high strength, the required thickness of the restorations can be reduced. The recommended minimum wall thickness for monolithic crowns and FPD abutments ranges between 0.4 and 0.7 mm.


Fig. 1 Fig. 2
A further step to improve efficiency in the production of monolithic or partially veneered all-ceramic restorations has been made by introducing high-translucent Y-TZP ceramics that are preshaded in the full color range of the VITA® classic shade guide. Cercon® ht Shaded Zirconia reproduces the complete array of all 16 classical VITA®A-D shade designations with high color accuracy. Thus, the dental laboratory can use the material very economically and flexibly for the production of fully and partially veneered crowns and FPDs as well as for monolithic restorations in different performance levels.


Fig. 3A Fig. 3B
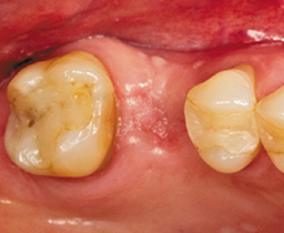
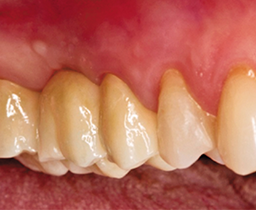
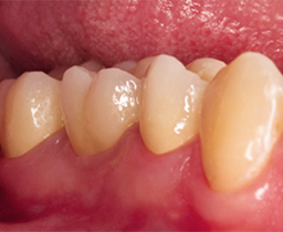
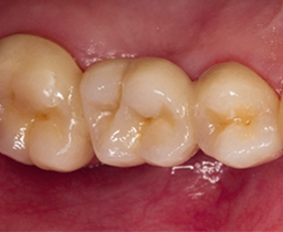
Monolithic restorations fabricated solely by glazing or characterized by staining are a good combination of a cost-effective production technology, high fracture strength and remarkable esthetics. Monolithic Cercon® ht Shaded Zirconia restorations allow minimum invasive preparation design with an occlusal reduction of 0.5–0.7 mmand a cervical reduction of 0.3–0.5 mm. Due to their high fracture strength, they meet the conventional cementation protocol (Figs. 1-4).

Fig. 4
Continue reading on page 2...
Complex esthetic demands can be best fulfilled with partially or fully veneered Cercon®ht Shaded Zirconia restorations. As the framework material is available in all VITA®shade designations, especially partially veneered restorations can be produced in an outstanding esthetic quality that couldn’t be achieved to date. Partially veneered restorations combined with a maximum framework support allow for long-lasting restorations in esthetically relevant areas (buccal and/or occlusal) (Figs. 5–8).
Related reading: How to go byond conventional composites in restorative dentistry
Figure 5: Clinical situation with a missing upper first molar

Figure 6: CAD design for a partially veneered Cercon ht Shaded Zirconia framework

Figure 7A: Partially veneered 3-unit Cercon ht Shaded Zirconia FPD

Figure 7B: Partially veneered 3-unit Cercon ht Shaded Zirconia FPD

Figure 8A: Occlusal and lateral view on the conventionally luted 3-unit FPD

Figure 8B: Occlusal and lateral view on the conventionally luted 3-unit FPD

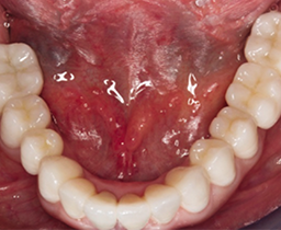
Monolithic designs as well as partially and fully veneered designs can be combined within in one restoration. This is advantageous if the space conditions in the posterior region are unfavorable or a gradient of individual esthetics from the anterior to the posterior region should be implemented to reduce costs (Figs. 9-10).
Figure 9: Virtual design for a complete posterior restoration in the mandible combining monolithic and fully veneered Cercon ht Shaded Zirconia crowns and FPDs

Figure 10: Occlusal view on the Cercon ht Shaded Zirconia crowns and FPDs. Molars are fabricated as monolithic units, and the premolars and the canines are fully veneered

Independent of the design, the Cercon® ht Shaded Zirconia allows the use of only one material for an efficient fabrication of all-ceramic single crowns and FPDs in a wide price range for different esthetic demands - all with a reliable material that has successfully proven its clinical applicability for more than 15 years and has been evaluated in comprehensive clinical studies.
