Why 3M™ Filtek™ One Bulk Fill Restorative can simplify direct restorations.

As all clinicians know, time is money. Products that produce successful results while allowing for quicker procedures will continue to gain admirers in the industry.
Bulk fill composites are steadily growing in popularity as more clinicians learn about their time-saving capabilities when it comes to posterior restorations. Instead of placing the material in incremental layers, bulk fill composites allow for one-step placement, typically up to 5 mm.
Since the demand for bulk fill composites continues to grow, the materials that are available on the market are consistently improving and can now provide esthetic restorations that impress both clinicians and their patients.
In the following case, a 35-year-old female patient came into the dental clinic with significant pain in the upper premolar and molar teeth caused by primary and secondary caries.
When performing direct restorations such as these, it is critical to have excellent adaptation to ensure good marginal contact. Good handling and sculptability are important when shaping the material. 3M’s Filtek™ One Bulk Fill Restorative is a bulk fill material that features excellent adaptation and handling, while also providing improved esthetics by increasing opacity without sacrificing depth of cure.
The following case will explain how a successful procedure was performed by establishing good marginal contact, which ensured the final result was an esthetic and high-quality restoration.
Case study


Fig. 1 Fig. 2
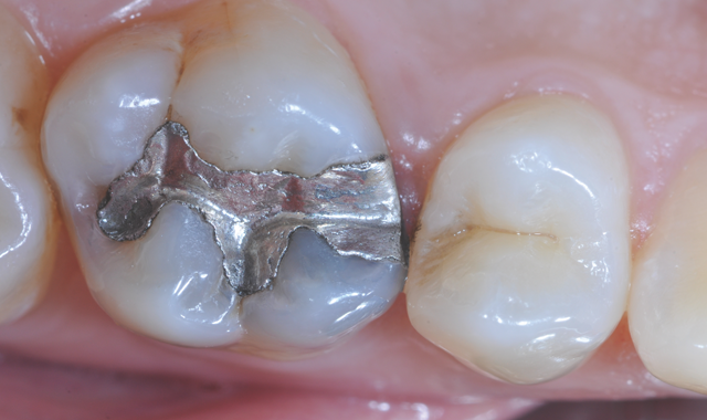
The initial situation: This case involved the replacement of an insufficient amalgam restoration of first upper molar and treatment of carious lesion on premolar. The patient was experiencing pain (Fig. 1).
First, the amalgam and carious tissue was removed. Next, the sectional matrix was placed and adapted to the tooth (Fig. 2).


Fig. 3 Fig. 4
The enamel was etched for 15 seconds using 3M™ Scotchbond™ Universal Etchant for a selective etch approach, followed by rinsing and lightly drying (Fig. 3).
3M™ Scotchbond™ Universal Adhesive was applied and scrubbed into the surface for 20 seconds. After air drying for approximately five seconds, the adhesive was light cured for 10 seconds with 3M™ Elipar™ DeepCure-S LED Curing Light (Fig. 4).
3M™ Filtek™ One Bulk Fill Restorative in shade A2 was directly placed into the cavity in a single increment and then cured according to the Instructions for Use (Fig. 5).
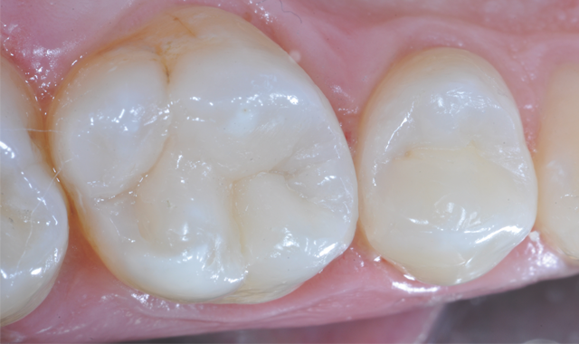
Figure 6 shows 3M™ Filtek™ One Bulk Fill Restorative immediately following the contouring and finishing of the restoration.


Fig. 5 Fig. 6
After using the 3M™ Sof-Lex™ Pre-Polishing Spiral, a final high-gloss polish is created using the 3M™ Sof-Lex™ Diamond Polishing Spiral on a moist surface (Fig. 7).
Figure 8 shows the final restoration, which is very natural looking and esthetic.


Fig. 7 Fig. 8
Conclusion
For large posterior restorations, incremental layering can be time-consuming and lead to poor marginal adaptation. With its easy handling and excellent adaptation, 3M™ Filtek™ One Bulk Fill Restorative enables one-step placement up to 5 mm. Additionally, its increased opacity results in more esthetic restorations. By saving time while providing successful and natural-looking results, bulk fill composites, such as Filtek One Bulk Fill, will most likely continue growing in popularity because of the variety of benefits they contribute to posterior restorations.