Using bulk fill resin composites can produce less volumetric polymerization shrinkage. Incremental Layering has been the technique indicated when dealing with light-cured resin composites for many years.

Incremental Layering has been the technique indicated when dealing with light-cured resin composites for many years. The main reasons of this occurrence are because it was observed that resin composites lose light energy with increased depth (meaning, the bottom of each layer receives less light when compared to the top)1; and because resin composites suffer from polymerization shrinkage when they are light-cured2,3,4.
However, resin material improvements have led to a different level of strategy, and nowadays, with the use of some newer composites known as bulk fills, the incremental layer is no longer the only option available.
Bulk fill composites are materials with a chemically modified composition in either their fillers, organic matrix, photoinitiators, or a combination of them, allowing them to be light-cured up to 4-5 mm increments, depending on the material used, with reduced volumetric shrinkage and stress2,3,4. Volumetric shrinkage is an unavoidable characteristic of all resin-based materials, due to the reduction of distance between monomer molecules as a result of van der Waals forces when polymerization occurs, producing a reduced free volume densely packed polymer5,6.
Polymerization shrinkage might lead to gaps at the interface, tooth and composite fractures, and postoperative sensitivity, among others7,8.
Besides showing equal or less volumetric shrinkage2,4, bulk fill composites also present the advantage of allowing for a friendlier procedure, simplifying cavity filling, as well as being a time-saving and less sensitive procedure when compared to the incremental technique9, which is known for implementing voids in between layers, and is only completed after several composite resin layers and light-curing cycles.
This case report used a regular consistency bulk fill resin composite (Tetric EvoCeram Bulk Fill, Ivoclar Vivadent), that showed, by micro-computed tomography, to produce less volumetric polymerization shrinkage when compared to conventional resin composites and other bulk fill resin composites2, thus showing good scientific results and validating its safe application in the mouth.
Case report
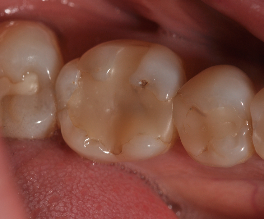
A 36-year-old female patient visited a private office for an annual checkup. Clinical evaluation showed a Class II composite restoration presenting marginal leakage and lack of anatomy and esthetics in tooth #30 (Fig. 1). Due to the patient’s needs and considering the amount of remaining tooth structure, the treatment planned was a direct restoration with resin composite.


Fig. 1 Fig. 2
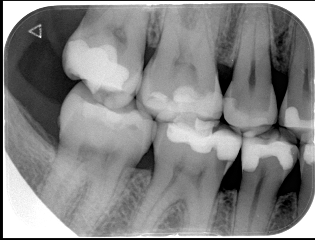
After initial X-ray (Fig. 2) and rubber dam isolation (Fig. 3), the previous restoration was carefully removed with a 1015 diamond bur (KG Sorensen) in order not to compromise the adjacent tooth. A metal matrix was used for protection. The cavity was cleaned with pumice (Fig. 4).


Fig. 3 Fig. 4
Selective enamel etching (30s) was performed, washed and completely air-dried with an oil-free air stream (Fig. 5). A universal adhesive (Adhese Universal, Ivoclar Vivadent) was applied (Fig. 6) by brushing it in the cavity, and excess of solvent was evaporated with oil-free air. The adhesive was light-cured (Bluephase 20i, Ivoclar Vivadent).


Fig. 5 Fig. 6
Mesial and buccal boxes of the Class II cavity were closed using the incremental layer technique with a conventional resin composite (IPS Empress Direct, Ivoclar Vivadent), and with the help of a metallic matrix system (Triodent V3 Ring, Dentsply Sirona), transforming it into a Class I cavity (Figs. 7 and 8).


Fig. 7 Fig. 8
The restorative procedure continued by filling the cavity to the occlusal cavosurface margin with a single layer (Fig. 9) of a regular consistency bulk fill composite (Tetric EvoCeram Bulk Fill). Stain was added to enhance the occlusal pits delimitations and optically give depth to the final restoration (Fig. 10), followed by the application of an enamel bonding agent (Heliobond, Ivoclar Vivadent) to serve as a fissure sealant and prevent abrasion and leaching of the pigments. Each step was followed by light-curing (Bluephase 20i), and a final light-curing protocol was performed with glycerin gel in order to polymerize the composite oxygen-inhibition layer. Final aspect of the restoration was evaluated after removal of the rubber dam (Fig. 11).


Fig. 9 Fig. 10
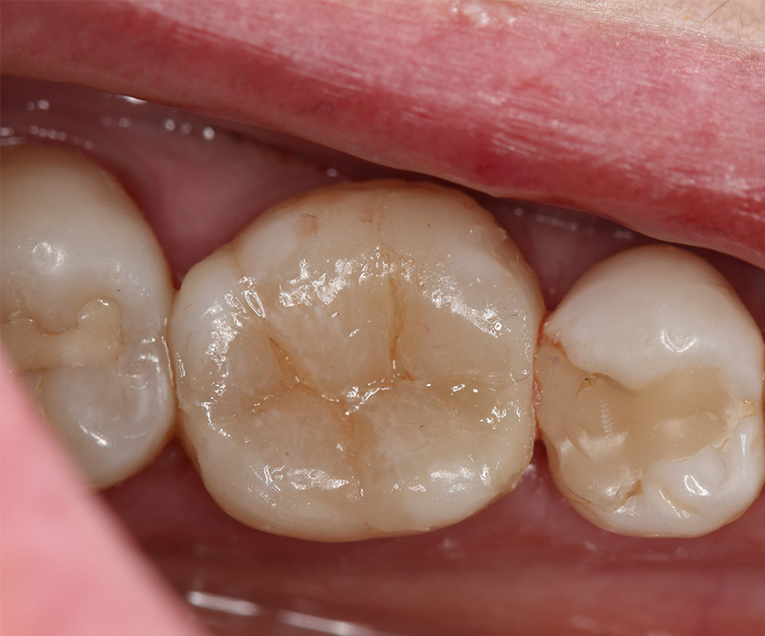
Final occlusion was checked, followed by finishing and polishing (Astropol, Ivoclar Vivadent). The restoration was once again checked for function and esthetic.
Conclusion
Bulk fill resin composites are a successful alternative to restore dental cavities in one single layer when their consistency is favorable and indicated for this objective. This technique can decrease chair time as well as the sensitivity of the incremental layer procedure, providing acceptable function, anatomy definition and esthetic for the restoration.
References
1. Sampaio CS, Atria PJ, Rueggeberg FA, Yamaguchi S, Giannini M, Coelho PG, et al. Effect of blue and violet light on polymerization shrinkage vectors of a CQ/TPO-containing composite. Dental Materials 2017.
2. Algamaiah H, Sampaio CS, Rigo LC, Janal MN, Giannini M, Bonfante EA, et al. Microcomputed Tomography Evaluation of Volumetric Shrinkage of Bulk-Fill Composites in Class II Cavities. Journal of Esthetic and Restorative Dentistry 2016.
3. Hirata R, Clozza E, Giannini M, Farrokhmanesh E, Janal M, Tovar N, et al. Shrinkage assessment of low shrinkage composites using micro–computed tomography. Journal of Biomedical Materials Research Part B: Applied Biomaterials 2015;103(4):798-806.
4. Sampaio C, Chiu K, Farrokhmanesh E, Janal M, Puppin-Rontani R, Giannini M, et al. Microcomputed Tomography Evaluation of Polymerization Shrinkage of Class I Flowable Resin Composite Restorations. Operative dentistry 2017;42(1):E16-E23.
5. Ferracane J. Placing dental composites-a stressful experience. Operative dentistry 2008;33(3):247-57.
6. Kleverlaan CJ, Feilzer AJ. Polymerization shrinkage and contraction stress of dental resin composites. Dental Materials 2005;21(12):1150-57.
7. Sampaio C, Rodrigues R, Souza-Junior E, Freitas A, Ambrosano G, Pascon F, et al. Effect of Restorative System and Thermal Cycling on the Tooth-Restoration Interface–OCT Evaluation. Operative dentistry 2016;41(2):162-70.
8. Senawongse P, Pongprueksa P, Tagami J. The effect of the elastic modulus of low-viscosity resins on the microleakage of Class V resin composite restorations under occlusal loading. Dental materials journal 2010;29(3):324-29.
9. Hirata R, Kabbach W, Andrade OS, Bonfante EA, Giannini M, Coelho PG. Bulk Fill composites: an anatomic sculpting technique. Journal of Esthetic and Restorative Dentistry 2015;27(6):335-43.